本期解读:1 什么是胃上皮内瘤变?2 胃上皮内瘤变临床特征和自然史。3 胃低级别上皮内瘤变内镜活检和内镜切除术的组织学差异。4 胃低级别上皮内瘤变治疗指南。5为什么说有必要对胃低级别上皮内瘤变行内镜切除?
很多患有胃病的患者,在医院做内镜活检后发现病理检查报告写有“胃低级别上皮内瘤变” 或“胃高级别上皮内瘤变”。因为大多数人没有学过医学,特别是病理学,于是有些患者一看到“瘤变“字样,就惊慌不已,以为自己得了胃癌;也有些患者觉得没事。那么到底有事没事呢?
1 什么是胃上皮内瘤变?
2006年世界卫生组织正式提议用胃上皮内瘤变替代不典型增生。
胃上皮内瘤变是由慢性胃黏膜萎缩和肠上皮化生进展而来的,是一种肿瘤性病变,是胃癌发生的最后也是最直接的癌前病变。胃黏膜上皮内瘤变分为低级别上皮内瘤变和高级别上皮内瘤变,前者相当于轻度和中度不典型增生,后者相当于重度不典型增生和原位癌。
2 胃上皮内瘤变临床特征和自然史:
在全球范围内,胃上皮内瘤变的患病率差异很大,在西方世界,在0.5%~3.75%之间;而在胃癌患病率较高的地区如亚洲和南美洲,在9%~20%之间。胃上皮内瘤变可于胃的任何部位,但最常见于胃窦,大多数是在内窥镜检查筛查中偶然发现的。
胃上皮内瘤变是指胃黏膜上皮组织细胞或结构异常,未累及固有层(粘膜内癌), 也就是说上皮内瘤变具有肿瘤的细胞学特征但无浸润表现。然而,很多人并不认为上皮内瘤变是具有肿瘤性质的病变,这种想法可能解释了为什么当一些胃低级别上皮内瘤变患者被发现患有癌症时,人们经常感到惊讶。
胃上皮内瘤变有进展为胃癌的可能性,这些病变对预测恶性转化的风险很重要。恶性变化的风险随着胃上皮内瘤变的组织学等级而增加。胃高级别上皮内瘤变进展为胃癌的风险高,其自然消退率为5%,15%持续不变,80%~85%进展到胃癌。相反,胃低级别上皮内瘤变进展为胃癌的风险较低,其自然消退率为38%~75%, 19%~50%持续存在,0%~23%进展到高级别上皮内瘤变或胃癌。

3 胃低级别上皮内瘤变内镜活检和内镜切除术的组织学差异:
关于胃低级别上皮内瘤变的准确诊断的一个问题是内镜活检标本不能代表整个病变。因此,活检的组织学诊断与切除的标本之间,存在明显差异。活检对低级别上皮内瘤变的诊断在切除后可以升级为高级别上皮内瘤变或胃癌。经活检证实的25%的胃低级别不典型增生被低估,实际上应该是高级别上皮内瘤变甚至是胃癌。这么高的漏诊率表明,仅内镜随访不足以治疗胃低级别上皮内瘤变。
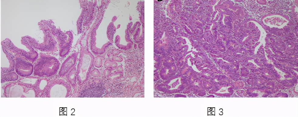
图2为内镜活检标本诊断为低度不典型增生,图3为内镜黏膜下剥离术切除标本诊断为高分化胃腺癌。表明活检对低级别上皮内瘤变的诊断在内镜黏膜下剥离术切除后被诊断为高分化胃腺癌。

4 胃低级别上皮内瘤变治疗指南:
毫无疑问,胃高级别上皮内瘤变是一种明显的癌前病变,需要积极的治疗,如内镜切除或手术治疗。对于是否需要对胃低级别上皮内瘤变治疗,一直存在争议。
目前很少有关于胃低级别上皮内瘤变监测或治疗的明确指南。鉴于胃低级别上皮内瘤变恶性转化的风险较低,一些研究人员建议每年进行内镜检查并进行活检即可,而其他研究人员则建议有必要切除。
下面是关于胃上皮内瘤变内镜切除的几项指南:
⑴欧洲指南推荐,如果发现胃低级别上皮内瘤变应切除,以获得合适的标本做更准确的病理诊断。
⑵美国胃肠内镜学会和英国胃肠病学学会指南推荐,如果条件允许的话,内镜下切除任何大小的胃黏膜上皮内瘤变。
⑶在韩国,除非由于年龄大或有其它疾病而无法切除,否则可以进行内镜下切除。
在我国,按照世界卫生组织/维也纳分类推荐治疗胃低级别上皮内瘤变,以药物治疗结合定期内镜随访为主,或必要时行内镜治疗。
5为什么说有必要对胃低级别上皮内瘤变行内镜切除?
因为存在以下可能的风险:
⑴ 我国慢性萎缩性胃炎的发病率还没有统一数据,有研究统计其发病率约20%,
平均在10%-30%。慢性萎缩性胃炎常伴发有肠上皮化生和上皮内瘤变。在接受胃镜检查的患者中,高达7.3%的患者被诊断为胃上皮内瘤变,这其中又以低级别上皮内瘤变的发病人数居多。
⑵胃低级别上皮内瘤变可以进展为胃癌,其10年癌变率为2.5%~11%。数据看起来不高,但落到个人身上,则是100%。
⑶低级别上皮内瘤变的自然消退率为38%~75%, 持续存在者占19%~50%。进展到高级别上皮内瘤变或胃癌为0%~23%。在某些情况下,在长时间的明显消退后会再次出现。另外,根据内镜和活检所评估的低级别上皮内瘤变的消失,并不能排除它其实已发展为浸润性癌的可能。
⑷内镜活检样本小,不能代表整个病变。存在手术前内镜活检与术后病理诊断不一致的情况。因此,内镜活检胃癌可能被低估为低级别上皮内瘤变或高级别上皮内瘤变。12.1%-63%的低级别上皮内瘤变病变在内镜切除后被诊断为高级别上皮内瘤变或胃癌。因此内镜活检检查的诊断并不一定准确,需要术后病理诊断加以确认或纠正。
⑸肿瘤有时隐藏在病变的其他部位,如活检取材较浅,有可能没有取到癌细胞。也就是说,黏膜层活检诊断为低级别上皮内瘤变,黏膜下层可能已经癌变了。
⑹目前尚无办法确定哪些患者是具有低癌症风险(无需定期检查)人群、中风险人群(需要定期内镜随访)和高风险人群(需要内镜治疗)。这样容易造成应该内镜随访的变成了内镜治疗,造成了不必要的手术;同样,也容易造成应该内镜治疗的变成了内镜随访,从而延误了病情。
⑺重复内镜活检可能会给患者带来身体,心理和经济负担。给身体带来的痛苦不言而喻,经济负担也是一个问题。另外,这种做法会造成严重的“心理创伤”,例如,难道让一位60岁的患者(预期寿命为80岁)在今后20年内每6个月至1年进行一次内镜活检,而每次活检就是为了检查是否有胃癌?