猫子宫蓄脓疗程 (子宫蓄脓猫)

关注公众号【寻真猫科】→ 专业的猫咪疾病/养护查询工具

温馨提示:文章仅作为医疗参考资料使用,由于医学复杂多变,猫咪生病时请在专业医生的指导下用药,万万不可自行用药,切记!切记!

第一部分 了解猫子宫蓄脓

1、猫咪正常受孕的过程

猫子宫蓄脓会造成白细胞偏低吗,猫子宫蓄脓用不用戴头套

2、猫子宫蓄脓发病过程

猫咪发情,因为某种原因,体内分泌孕激素,但是没有猫宝宝可以培育,反而有细菌(常见的是大肠杆菌)进入,把细菌当宝宝养大了,从而导致了子宫蓄脓。

猫子宫蓄脓会造成白细胞偏低吗,猫子宫蓄脓用不用戴头套

3、子宫蓄脓的类型

(1)开放型:子宫颈口是打开的,会排出脓性分泌物,肉眼可看到

(2)封闭型:子宫颈口是关闭的,不会流脓

4、这里着重吐槽一下,某度曾流行一个说法:猫咪发情的时候用棉签满足一下母猫就可以停止发情了,实际上,棉签*法大**是容易引起子宫蓄脓的,千万不要尝试。

5、大多数子宫蓄脓发生在4岁以上的母猫。

第二部分 猫子宫蓄脓的三层次

1、病根:孕激素+细菌

2、病变:子宫蓄脓

3、病症

(1)发病初期:无症状

(2)发病中期

  • 封闭型的子宫蓄脓:只有厌食、嗜睡,可能发现腹围增大,但是这些症状指向性很差,很多病都是这个症状,所以封闭型的更难早诊断早治疗;
  • 开放型的子宫蓄脓:厌食、嗜睡,可能发现腹围增大+阴道有排脓性分泌物(有这个症状就基本可以判定为子宫蓄脓了,但是分泌物常常会被猫咪舔食掉,不注意观察的话常常会被忽略);

猫子宫蓄脓会造成白细胞偏低吗,猫子宫蓄脓用不用戴头套

阴道口的排脓性分泌物

(3)发病后期:很严重,可能会引起败血症,急性肝/肾损伤甚至器官衰竭,如果发生子宫破裂,则会发生腹膜炎和感染性休克,若不及时治疗,可能存活时间不到24-48h。

第三部分 猫子宫蓄脓的诊断

1、病症分析

结合上文的临床症状进行分析

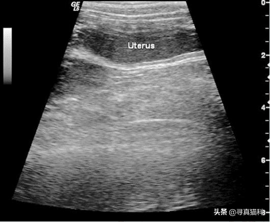
2、临床检查

猫子宫蓄脓会造成白细胞偏低吗,猫子宫蓄脓用不用戴头套

猫子宫蓄脓会造成白细胞偏低吗,猫子宫蓄脓用不用戴头套

B超结果

3、诊断总结

(1)开放型子宫蓄脓阴道可见排脓性分泌物,有这个症状基本就是子宫蓄脓了;

(2)核心检查项目:B超、阴道分泌物抹片、血常规、生化,其中,B超的检查最为重要,常常需要靠B超来确诊。

第四部分 猫子宫蓄脓的治疗

1、对症治疗:无

2、支持治疗:具体情况具体支持

3、对根治疗

方案1:手术切除掉子宫与卵巢(跟绝育手术一样)+术后抗生素控制细菌感染

→优点:简单、彻底、不复发

→缺点:以后无法生育

方案2:前列腺素F2α(促进子宫脓液的排除) +抗生素控制细菌感染的保守方案

→优点:以后还可以生育

→缺点:复杂、效果不确定、可能复发

→注意事项

  • 只适合处于早期或中期的子宫蓄脓,后期的子宫蓄脓或者猫咪状态已经不稳定时,还是得赶紧准备手术;
  • 只适合开放型的子宫蓄脓,封闭型的子宫蓄脓使用该方案很可能导致子宫破裂从而危及生命;
  • 医院一般没有前列腺素F2α 这个药;
  • 前列腺素F2α副作用较多,可能会导致呕吐、烦躁不安、气喘、流涎、排便(通常腹泻与里急后重)、排尿,用药后15分钟内开始出现副作用,一般是1-2小时内消退,所以用药时至少得留院观察几个小时。

综上所述,如果没有强烈的生育需求的话则直接选择方案1。

第五部分 猫子宫蓄脓的预后

1、如果在治疗前没有发生败血症并且进行卵巢子宫切除术,则预后通常是良好的。

2、如果发生败血症、肝肾严重损伤、子宫破裂,无论采取何种治疗方案都有较高的生命风险。

3、采取保守治疗(非手术)的可能会复发。

参考资料:国际顶尖的权威猫科网站和书籍

猫子宫蓄脓会造成白细胞偏低吗,猫子宫蓄脓用不用戴头套