人体一共有多少个器官?教科书上的答案是 78 个。不过爱尔兰医学专家最新的一项研究结果颠覆了这个传统认知,因为我们身体里还有一个未被发现的器官 —— 肠系膜。2016 年,全球最著名的医学教科书《格式解剖学》也已经更新了这一最新定义。近期的研究表明肠系膜是具有独立解剖结构和功能特性的器官。肠系膜是悬吊、固定肠管腹膜的一部分,生在躯体左右两侧的腹膜在肠的背侧和腹侧相合,分别形成背侧肠系膜和腹侧肠系膜,又可分为小肠系膜、横结肠系膜、乙状结肠系膜、右结肠系膜和直肠系膜。



肠系膜 CT 表现

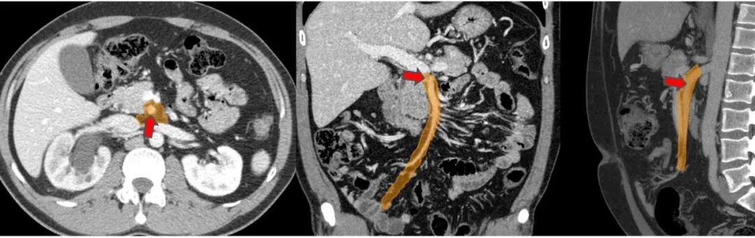
肠系膜根(橙色)。小肠系膜在肠系膜上动脉(SMA,红色箭头)的起始处有一个「肠系膜根」:小肠系膜从根区扇出,SMA 将其悬挂在后腹壁至回肠末端。

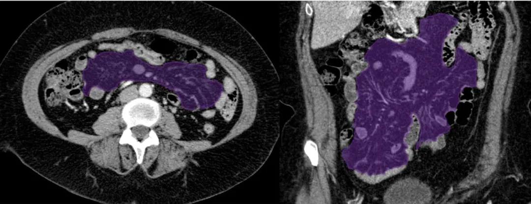
含肠系膜上动脉分支的小肠系膜(紫色)。

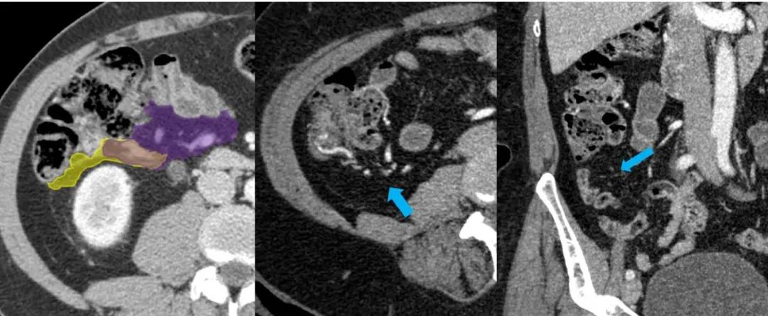
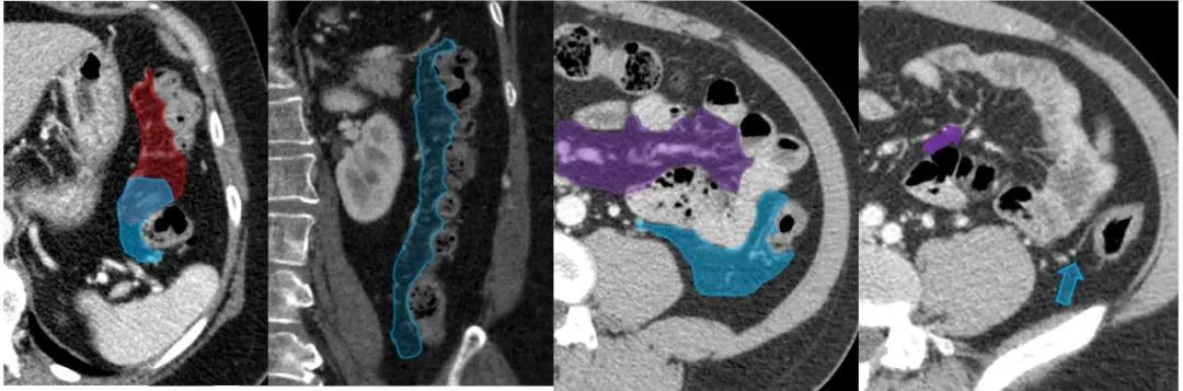
回盲部:小肠系膜(紫色)和右侧结肠系膜(黄色)与回结肠血管(蓝箭头)的汇合处。

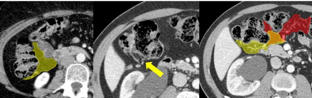
右侧结肠系膜(黄色)和横结肠系膜(红色)间的汇合。

横结肠系膜(红色)和横结肠动脉(箭头)。

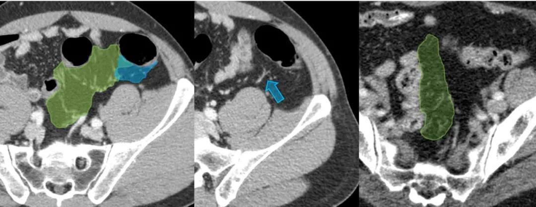
左侧结肠系膜(蓝色)与横结肠系膜的汇合处(红色)。小肠系膜(紫色)和小肠动脉(紫色箭头)和左结肠动脉(蓝色箭头)。

乙状结肠系膜(绿色)与左侧结肠系膜的汇合处(蓝色),降结肠动脉(蓝色箭头)。

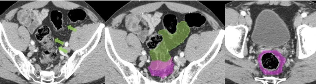
直肠系膜(粉红色)与乙状结肠系膜(绿色)的汇合处。乙状结肠动脉(绿箭头)。

来源:影像时间
【版权声明】本平台属公益学习平台,转载系出于传递更多学习信息之目的,且已标明作者和出处,如不希望被传播的老师可与我们联系删除