因为经常有朋友们问我,医生,我这情况是不是大脚骨呢?其实虽然多数都是拇外翻,但是也有部分情况并不是拇外翻,所以今天我就和大家分享一下如何自己的分辨自己是不是有拇外翻大脚骨。
文章中提到的大脚骨,也就是拇外翻,我可能会经常混用,还请大家理解。因为各处称呼不同而已。

典型的大脚骨拇外翻
大脚骨是指脚大拇趾关节部位凸起,然后大拇趾向外翻偏斜,其早期主要是两个症状:关节部位凸起,拇趾向外偏斜;随着拇外翻的进一步发展,还会出现其余多个症状:拇趾挤压其余趾头出现的各种并发症,包含且不局限于与其余多个趾头向外侧偏斜,以第二趾为主的趾关节蜷曲等症状,多趾呈吹风样改变,甚至锤状趾、跖趾关节脱位等症状;然后还有一些会出现足底前足并发症:足横弓塌陷,前足第二三跖趾关节下方长茧子等。

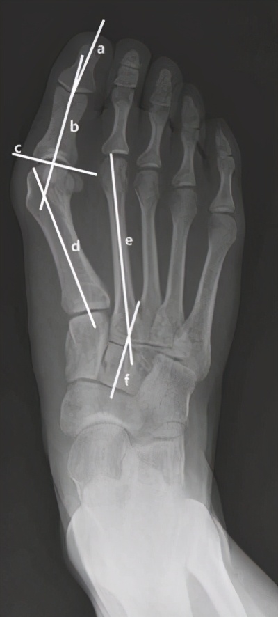
大脚骨X线
除外大脚骨拇外翻会出现大脚骨的凸起之外,还有两个疾病需要与拇外翻鉴别:
第一个就是痛风,许多痛风患者会在第一跖趾关节部位出现痛风石结晶的堆积,痛风的患者伴有尿酸增高,痛风诱发因素导致的短期的剧烈疼痛、伴有全身发热的症状、痛风石结晶除沉积在第一跖趾关节部位,还可沉积在全身多部位。血液检查尿酸超标等症状。
第二个需要注意的就是类风湿性关节炎,我从2004年起的拇外翻手术过程中,遇到很多严重的有拇外翻症状的人,都是类风湿性关节炎患者。类风湿和拇外翻也一样,多见于女性,除外有严重的拇外翻症状外,还会出现严重的多跖趾关节病变,多跖趾关节半脱位、脱位等症状。

类风湿导致的拇外翻
我在以前的文章和视频中有介绍:拇外翻的发展呢,和两个主要因素有关,第一是遗传,第二是不当穿鞋,年龄小的时候穿过紧的鞋子,成长过程中或者成年后常年穿高跟鞋等均可加剧和诱发拇外翻。
拇外翻和上述两个疾病有不同,其多有家族遗传基因,家族遗传包含父辈遗传或祖辈遗传等,有的是父亲一边的遗传,也有是来自母系遗传。

足底茧子
做拇外翻的临床辅助检查很简单,就是拍个DR,我们通过脚的X线可以清楚看出来拇外翻的情况以及轻重程度。为了清除看到双脚骨头分布情况,我建议拍正位片的时候需要拍双足负重正位片,以便为后续手术做良好的指导。
大家对照一下您的双脚,看您的大拇趾关节处有无凸起,凸起是否明显,然后拇趾是不是有明显的偏斜,如果您有大脚骨的相关问题,可以私信或者给我评论留言,把脚拍照发给我看看。