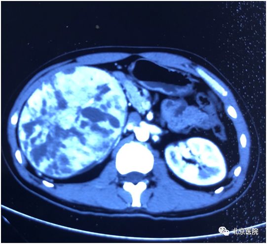
肾细胞癌是泌尿系统最常见的肿瘤之一,约占肾脏恶性肿瘤的80%-90%。近日,北京医院泌尿外科收治一名年轻男性患者,两周前自行摸到其右侧腹部有一包块,无疼痛感。遂到医院检查B超提示:右肾占位,进一步CT增强扫描提示右肾巨大占位,最大径约18cm,体积为正常肾脏8倍之大,考虑恶性,全身评估未见转移病灶,需手术根治切除治疗。但因肿瘤巨大侵犯肾脏包膜,与周围脂肪组织黏连,且肿瘤血供丰富,表面多发迂曲小静脉、质脆,术中不易剥离,容易引发大出血,增加了手术难度和风险。

术前CT显示肾脏肿瘤状态
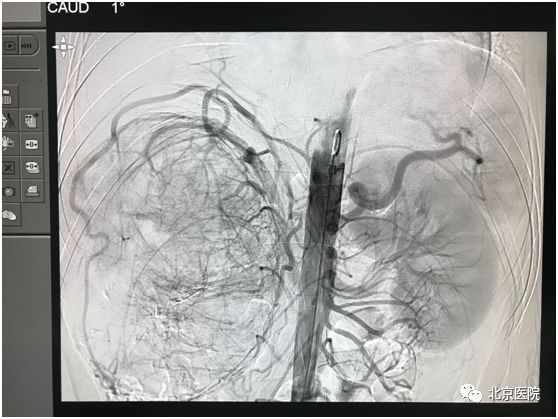
北京医院肿瘤微创治疗中心李晓光团队借助DSA影像技术,经股动脉局麻穿刺置管,利用介入手段对患侧肾动脉选择性造影,证实肿瘤供血动脉、肿瘤生长部位、大小、有无动静脉瘘,再利用超选技术确定目标血管行肾动脉栓塞术。次日该患者如期行“右肾癌根治术”。手术顺利,术中出血量少量,达到预期效果。

肿瘤染色
我国肾肿瘤的发病率及死亡率呈逐年上升趋势,约占全身肿瘤的2%左右,是肾脏最常见的实质性恶性肿瘤。肾癌对放化疗均不敏感,因此根治性肾癌切除术是治疗该病的金标准。尤其是中晚期肾癌患者肿瘤体积较大、侵袭范围大,再加上肾脏本身血管丰富,因此,施行手术难度加大,手术时间延长及出血量增多,有些患者甚至因为肿瘤难以切除而手术失败。

栓塞后可见肿瘤供血主干呈枯树枝样
1970年,Wholey首次将肾动脉栓塞术应用于临床,以控制肾癌术中出血。这一技术具有以下优点:1、减少术中出血,提高手术切除率。2、促进机体肿瘤免疫调控过程,选择性肾动脉栓塞后24~48h,自然*伤杀**(NK)细胞活性明显增强。3、姑息性治疗晚期肾癌,因肿瘤及瘤栓明显缩小,甚至瘤体坏死,增加手术切除的几率。4、提高了患者的生活质量,延长生存期。
北京医院肿瘤微创治疗中心在李晓光主任带领下,将一如既往地为患者提供高质量的医疗保障,与各临床科室携手共进、保驾护航。
作者:肿瘤微创治疗中心 张江旭 郭润碛
编辑制作:宣传处 贺鹏