
文/蓝沧泽
本文由喵星蓝沧泽原创首发,任何个人及机构转载时请标注作者,谢谢。
全文约:2700字,阅读时间为:180秒
@头条号 @头条宠物 @青云计划
科学养宠每一天,跟着蓝沧泽学知识,大家好,好好养猫第5期现在开始。
俗话说得好,活人还能被尿憋死?
(啪,打脸声。)
还真的有人被尿憋死,这就是伟大的丹麦天文学家第谷·布拉赫

这位发现了超新星和编绘出恒星运行表的大神,因为在一次贵族酒会上大吃大喝太多而又懒得去上厕所,最后憋得膀胱爆裂而死...........(真·为吃生,为吃死)
大师你的尊严呢???挽不回来了啊??
咳咳,好,我们言归正传。人类被尿憋死的概率还是很少的,但是,憋尿对于猫咪或者主人来说,可谓是一生之敌!
据美国有关机构统计,对猫咪威胁最大的十大疾病中,为首的就是泌尿系统疾病。而泌尿系统疾病中最显目的就是下泌尿道综合征。(诶,今天的主角终于登场~)
啥是下泌尿道综合征?
下泌尿道综合征,那肯定是和泌尿道有关的呗。
(啪~,好好说话!)
咳咳,好,下泌尿道综合征(FLUTD)是指对于猫咪泌尿道的综合性的症状,并非单一指某一种疾病。
主要的表现形式有:尿频、尿痛、尿淋漓、尿血,严重时会引发尿路阻塞甚至肾衰、尿毒症等疾病的发生,常见的下泌尿道综合征类型有:尿结石、尿路感染、尿路阻塞、自发性膀胱炎等。
其中炎症和结石(晶)是下泌尿道综合征绝大部分的表现形式。

那么,下泌尿道综合征是怎么引起的呢?
很简单,心情不好,喝水少,尿不出。
(啪~你丫的还写不写了?怎么凑字数??)
为什么老是下泌尿道这个地方中招捏?
这个嘛,我们要从宇宙大爆炸、盘古开天地说起。
停!你别打,我自己来。
猫咪作为地球六十多亿年的独特宠儿,也承受着生命不能承受之重。其相对于其他动物而言,更易患上下泌尿道综合征。
因为猫咪的独特生理结构和饮食习性决定的:猫咪是生活在沙漠中的动物,沙漠啊,缺水啊!所以猫咪本身对水的需求并不明显,甚至是到了经济适用型模式。
猫咪最主要的水的来源是肉食中的水分,猫咪不爱喝水导致其尿液浓度、矿物质含量很高(矿物质,我忽然有了个新想法),所以也加大了患上结石诱发膀胱炎的概率。

公猫相对于母猫来说,患上下泌尿道综合征的概率更高!那是因为公猫独特的泌尿道结构——丁丁,公猫因为有丁丁,所以其泌尿道十分的又窄又长。(你看这个丁丁又窄又长,就像这碗面又大又宽。)所以在同等的结石数量时候,公猫更容易尿道堵塞。
男人好难,做人好难(做公猫更难。)

所以啊,不仅是男人,公猫也一样,要好好保护自己的腰子(肾)和前列腺啊。
病例分析
好,我们说了一堆理论之后,相信已经把大家说的一愣一愣的了,那么就成功了。
我们接下来看一个典型病例。
病例简介:十三,英国短毛猫,11月龄,体重4.4kg。公猫未去势,免疫良好。
主述:起初反复干呕,两天前吐出未消化的猫粮,改换湿粮后猫咪拒绝进食。主人曾自己在家灌服过菜籽油、益生菌均未见效,仍见呕吐。大便正常,频繁蹲猫砂但未见小便,精神萎靡。
实验室检查:
1、血常规(CBC):

2、生化:

3、血气:

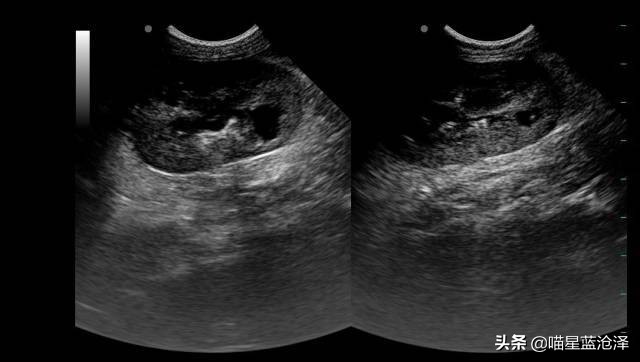
腹部超声:

膀胱可见大量泥沙结石

已存在肾积水
B超可见膀胱明显充盈、膀胱壁增厚,有大量泥沙,典型的膀胱结石诱发的膀胱炎。
肾肾盂光带分离,综合考虑为下泌尿道综合征。
处理方案:进行导尿结合输液治疗,若频繁复发则需要考虑尿道造口手术。
猫为啥会患上下泌尿道综合征捏?
相信大家看了十三的病例之后,肯定会深吸一口气,认识到了问题的严重性!
那么我们的猫咪为什么会患上下泌尿道综合征呢?
我们从最主要的两点来说吧,分别是自发性膀胱炎和尿路结石。
自发性膀胱炎
这个名字挺有趣的,猫咪还会自己引发膀胱炎嘛?没错!会的。
相信一直关注蓝沧泽的同学们肯定都知道,蓝沧泽一直在文章中强调猫咪是一种特别敏感的生物,极度容易因为外界的环境、压力、主人的责骂导致应激。
自发性膀胱炎即是猫咪应激产生的一种心理引起的生理疾病。(想了很久我觉得这个措辞比较好。)
当猫咪处于压力下、环境改变、心情不舒爽,都有可能引发自发性膀胱炎,尤其是公猫,所以主子们需要做好猫咪的心理疏导哦~
带猫咪出去尽量选择安全、隐蔽的猫包(可详见上篇文章。)

尿结石
1、喂食含镁量超标,盐分超标的干粮,是引起尿结石的一个重要因素。
因为镁和碱性尿液容易生成磷酸铵镁结晶——鸟粪石。

显微镜下尿检中的鸟粪石结晶
鸟粪石是猫结石中比较常见的一种形态,是直接由于镁的摄入过量所导致。所以优质猫粮!湿粮、肉类,很重要!
2、喝水量的减少,上面我们说过了,猫咪本身就不爱喝水。尤其是喂食干粮的猫咪,本身水摄入会很少,加上干粮中没有水分。日常中无法达到猫咪应该摄取的水量。
尿液浓稠,导致尿液中结晶的形成与增大,最后导致尿结石,阻塞尿道。
其他还有比如过度肥胖、疾病诱发、尿路感染等,不做过多赘述。
你的猫可能离下泌尿道综合征只相隔一碗水的距离
据不完全统计,48%的猫咪曾经患上过下泌尿道综合征。62%的猫咪面临下泌尿道综合征的威胁。
所以,下泌尿道综合征可谓是最常见也是最危险的一种疾病。
我们日常中常常会觉得自己的猫咪很正常,吃得好,喝的好,但是,下泌尿道综合征来临前基本上是很少有人察觉。
当您的猫咪出现以下症状,您可以考虑一下下泌尿道综合征可能来了!
1、您的猫咪最近一段时间喝水逐渐减少,水碗的水平线渐渐上涨。
2、您的猫咪经常进出猫砂盆做小便姿势,但是猫砂盆内没有小便或者只有点滴状小便甚至血便。
3、您的猫咪最近焦躁不安或者无精打采,饮食减少,拒绝人类抚摸腹部。

有时候,您的猫咪距离下泌尿道综合征,真的只相隔一碗水的距离。
怎么预防下泌尿道综合征?
有的同学看到这里肯定要问了,哇!下泌尿道综合征那么恐怖?那么我们该如何预防呢?
最实用的,也是最困难的,就是多!喝!水!
1、供给清洁、新鲜的饮水,经常更换,不要一次性给与大量的水,可以少量,喝完之后再添加。
因为猫咪喜欢新鲜的水,最好夏天给与凉水,冬天给与温水,而且猫咪有捕猎心态,对于活水猫咪的饮水率会更高一些哦~
2、经常清理猫砂盆!不要让猫砂盆经常处于满负荷状态,有的猫咪特别爱干净,如果猫砂盆满了,会拒绝小便,以至于憋尿。
3、让猫咪处于一个安全、安静、无压力的环境,日常养护中不要体罚猫咪,出门时减少对猫咪的应激。
4、喂食优质的猫粮,含镁率低,含盐少。(少量的盐其实可以促进猫咪喝水)
5、鼓励猫咪运动玩耍。经常陪猫咪运动,促进健康体重以及喝水的欲望。
6、改干粮为罐头、肉类等湿粮,增加食物中摄取的水分。
必杀技:必要时刻,比如有下泌尿道综合征病史的猫咪,需要人工灌喂饮水。

下泌尿道综合征,是时刻悬在猫咪及猫咪主人头顶上的一把达摩克斯之剑,但是只要科学护理,保证饮水以及猫咪的情绪正常稳定。
其实是不用担心的呢!
任何疾病,预防永远大于治疗,要记住,您的猫咪离下泌尿道综合征,永远只隔着一碗水的距离。
我是蓝沧泽,一个临床兽医。
一个有温度的宠物从业者。
欢迎大家点赞、收藏、投稿哦~!!!
谢谢大家观看。
我们下期再见。
