
隐形牙套
牙齿矫正后反弹了怎么办?
牙齿矫正完成后并不能因此松懈,一些患者朋友发现牙齿矫正之后会出现反弹的情况,会以为是牙齿矫正不成功,不由地慌了手脚。其实在做完矫正牙齿后应继续佩戴牙齿保持器以维持牙齿的现状,在矫正后期起到巩固的作用。

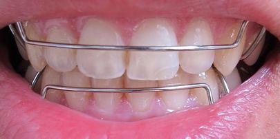
牙齿钢丝保持器
▐ 什么是牙齿保持器?
牙齿保持器是在牙齿矫正完成,摘下矫正器后,佩戴在牙齿上,起到保持、巩固的作用,帮助牙齿长久地保持整齐。
保持器和隐形矫正的外形很相似,它很轻便、又透明,不用担心会给自己造成什么负担、影响。
保持器一般需要佩戴半年到一年的时间,每天需要佩戴的时间也不用像矫正器那么长,不会到影响正常吃饭、刷牙。
很多人可能觉得保持器可有可无,甚至有人不知道它的存在,其实它的作用就跟看病是一样的,病看好了,也一样需要再巩固几天,才能保证病根全除。

牙齿钢丝保持器
▐ 牙齿矫正期间的注意事项
发现问题及时找矫正医生,不要随意摘戴矫正器,以免影响到矫正效果。
不要做有损矫正器的行为,如果是隐形矫正器,注意不要戴着它吃东西。
不要吃粘牙的食物,它们容易粘到牙套和牙齿上。
使用正确的方法清洁矫正器,还要牢记定期复查。
牙齿不齐的矫正本身就是一个较为长期的过程,如果不能认真配合,或者矫正工作缺失,那也就不会得到理想的效果。
其实矫正牙齿也好,就跟做任何事情一样,是要一步一个脚印的稳扎稳打,最终达到成功,中间缺失任何一步,最后一步没做好,事情就不能圆满。
免责声明:
1.本网页图片部分来自网络,如无意中侵犯了媒体或个人的知识产权,请及时通知我们,以迅速采取适当措施,或立即予以删除,避免给双方造成不必要的经济损失。
2.无法对所有内容的验证和鉴别,不对因任何展示、复制、*载下**本网站内容负责。