本节内容
适应症--检查前准备--扫描定位--序列说明--注意事项
适应症:
1.临床怀疑子宫及附件的病变,进一步的诊断和鉴别。
2.临床确诊的子宫病变,明确病变范围,对其 分期,确定诊疗方案。
3.术前、术后的随访复查、疗效的 评估及辅助方案的制定等。
检查前准备:
1.无MRI禁忌症,检查前去除受检者身上的金属异物。。
2.扫描盆腔需禁食4小时以上,如不需观察膀胱病变则不需憋尿,膀胱 适当的充盈 (1/2左右),避免过度充盈(1.挤压;2.运动伪影;3.检查中憋不住了!)。
3.对于肠蠕动伪影,酌情考虑抗蠕动的药物(丁溴东莨菪碱、胰高血糖素等)。
4.子宫检查前应 特别询问 :
1.有无节育器、金属植入物。
2.有无手术史、放化疗史等。
3.有无服用激素类药物、避孕药等。
4.绝经前、绝经后;月经状况等(1. 子宫内膜会随着生理周期的变化而变化 。2. 月经早期血块会对图像造成相应的伪影。),应在月经干净后的3-7天进行MRI检查为宜(建议)。
线圈: 腹部相控阵线圈。
体位: 仰卧位,足/头先进,身体与床体保持一致,使扫描部位尽量靠近主磁场及线圈的中心,线圈中心至于耻骨联合,下腹部用海绵垫压迫可有效减轻呼吸运动伪影。双手上举,两手臂交叉抱头(注双手不要交叉为环路)。
如前腹引起的呼吸伪影较大,可以考虑使用门控触发或屏气方式扫描。门控安置方法:观察患者胸前肋下区域呼吸幅度最明显的位置,安置呼吸门控,使其显示的呼吸幅度波形超过上下位置的30%。
定位位置: 耻骨联合上缘2CM
常规扫描方位: 横断位,矢状位,冠状位。

由于个体差异,其子宫的形态和在骨盆内的位置均不同,在女性的盆腔扫描时,很多人对于定位线如何放置比较迷茫,你需要做就是:
1.熟悉的解剖组织结构及形态特征。
2.仔细阅读受检者的申请单,明确 临床医生的目的,了解的重点在哪里。
3.在小范围的定位之前,先扫描1-2个大FOV的序列,评估整个盆腔的情况,明确病变在哪里。

以横轴为例,如宫体的病变,定位就应该以宫体为基准定位;宫颈的病变,定位就应该以宫颈管为基准定位;阴道的病变,定位就应该以阴道为基准定位;所以应根据不同的需求去合理的定位扫描,明确是重点扫描宫腔?宫颈?还是附件?还是盆腔大范围扫描?

对于前位或后位子宫,如子宫的曲度过大,很多人可能会纠结以子宫为基准定的冠状位相对于人体来说似乎是横轴位;定的横轴位相对于人体来说似乎是冠状位。这一点不必纠结,以子宫为基准定位即可。
横断面: AX T1WI FSE 横断面T1加权序列
子宫MRI扫描前应先行1-2个大范围的 全盆腔 扫描序列,通常为大范围的T1WI和T2WI 压脂序列;在冠状位和矢状位上定位,按照常规的横轴位扫描即可。

行大范围扫描的目的:
1.了解盆腔内病变的大体情况。
2.观察盆腔内出血、转移、周围侵犯等情况。
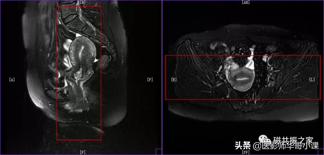
矢状面: SAG T2 FS FSE 矢状面T2脂肪抑制序列
在横轴位和冠状位上定位。在横轴位上找到显示子宫体最大的层面,使定位线垂直于当前子宫内膜长轴,在冠状位上调整角度使定位线平行于子宫全长长轴(平行于子宫颈和子宫底中点的连线);如是宫颈病变,应以宫颈管为基准定位。左右扫描范围包括整个子宫,需包括整个病变范围。

添加上下饱和带,减小血管搏动伪影。
FOV不宜过大,采用FS(频率选择饱和法)技术时需添加局部匀场。
相位编码为上下,使用过采样技术。如由于胃肠道引起的伪影较重时,可以尝试将编码方向放置于前后。

矢状位是显示子宫全景较为理想的方位,该序列采用压脂或不压脂均可,但最好能做到小视野的高分辨率扫描。在T2WI上能清楚的显示子宫(绝经前)的四层结构。
子宫内膜:高信号
结合带:低信号
子宫肌层:中等信号
浆膜层:低信号
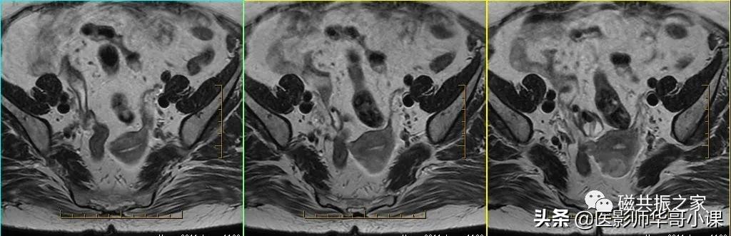
横断面: AX T2WI FSE 横断面T2加权序列
在冠状位和矢状位上定位,在矢状位上找到显示子宫全景最好的层面,如需了解宫颈病变,使定位线垂直于宫颈管长轴(图A),如需了解子宫内膜病变,使定位线垂直于子宫内膜长轴(图B)。在冠状位调整角度使两侧对称扫描,扫描范围上至子宫上缘下至耻骨联合,需包括整个病变范围,如观察转移性病变需加大扫描范围。

相位编码方向为左右方向,采用过采样技术。
添加上下饱和带,减小血管搏动伪影。
该序列是建议扫描子宫必须要有的序列。

T2WI是评估子宫肌层浸润深度的关键序列。 序列常采用小视野的高分辨率扫描。
横断面: AX DWI,横断面扩散加权序列
复制AX T2WI FSE的定位线,对于子宫病变也可行矢状面的DWI扫描。

添加上下饱和带,可消除血管的搏动伪影。
B值常选用≥800,盆腔解剖结构复杂,需添加局部匀场。
建议使用并行采集技术减小EPI的变形,在保证信噪比的前提下尽量使用大B值扫描。
相位编码方向为前后方向。
扫描完成后作ADC图分析。
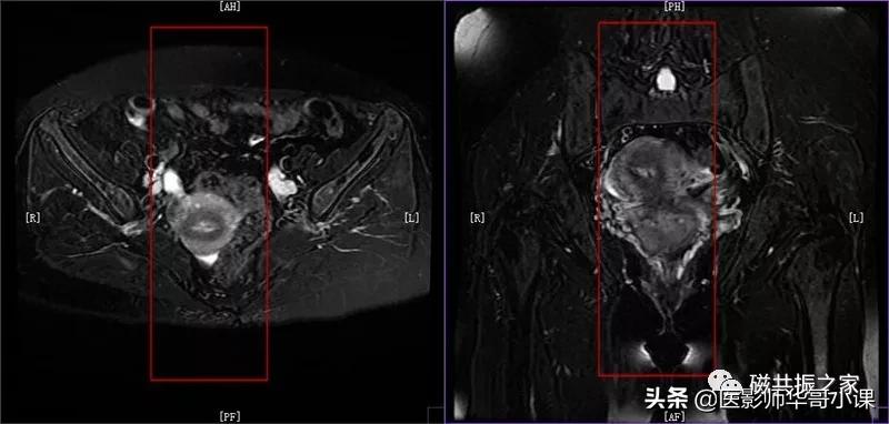
冠状位: COR T2 FS FSE 冠状面T2脂肪抑制序列
在横轴位和矢状位上定位,在矢状位上找到显示子宫全长最好的层面,如需了解宫颈病变,使定位线平行于宫颈管长轴(图A),如需了解子宫内膜病变,使定位线平行于子宫内膜长轴。在横轴位上找到显示子宫最大的层面,使定位线平行于当前子宫内膜长轴,扫描范围包括整个子宫及两侧附件,需包括整个病变范围。

添加上下饱和带,减小血管搏动伪影。
FOV不宜过大,采用FS(频率选择饱和法)技术时需添加局部匀场。
使用过采样技术,相位编码为左右。
冠状位是显示卵巢及子宫附件较为理想的方位。
增强扫描
横断面: AX 3D (LAVA、VIBE、THRIVE)(动态),横断面T1加权LAVA多期动态增强扫描序列
在冠状位和矢状位上定位,扫描范围上至子宫上缘下至耻骨联合,需包括整个病变范围,如观察转移性病变需加大扫描范围。第一期蒙片扫描完成后暂停,然后注射造影剂。
在注射药物15S左右开始扫描,连续扫描8~10期。在多期扫描完成后,扫描COR 3D (LAVA、VIBE、THRIVE)及SAG 3D (LAVA、VIBE、THRIVE)序列。

添加上下饱和带,减小血管搏动伪影。
相位编码方向为前后方向。
使用较大的FOV防止卷积伪影(超过解剖的25%),并使用并行采集(加速因子不宜过大)技术可缩短扫描时间。
如扫描时间较长,增加带宽,减少扫描层数,减小相位编码数可缩短扫描时间。
多期扫描完成后作多期扫描动态增强曲线分析。
冠状位: COR 3D (LAVA、VIBE、THRIVE),冠状位T1加权LAVA增强扫描序列
在横轴位及矢状位上定位,范围包括整个子宫及病变范围。

此序列在AX 3D (LAVA、VIBE、THRIVE)扫描完成后扫描
添加上下饱和带,减小血管搏动伪影。
相位编码方向为左右方向。
使用较大的FOV防止卷积伪影(超过解剖的25%),并使用并行采集(加速因子不宜过大)技术,可缩短扫描时间。
如扫描时间较长,增加带宽,减少扫描层数,减小相位编码数可缩短扫描时间。
矢状位: SAG 3D (LAVA、VIBE、THRIVE),矢状位T1加权LAVA增强扫描序列
在横轴位及矢状位上定位,范围包括整个子宫及病变范围。

添加上下饱和带,减小血管搏动伪影。
相位编码方向为前后方向。
使用较大的FOV防止卷积伪影(超过解剖的25%),并使用并行采集(加速因子不宜过大)技术,可缩短扫描时间。
如扫描时间较长,增加带宽,减少扫描层数,减小相位编码数可缩短扫描时间。
子宫MRI常规序列推荐:
|
平扫( 红色部分建议必须有的序列) |
|
|
AX FSE T1WI |
横轴面T1WI序列(大范围) |
|
AX FSE T2WI FS |
横轴面T2WI压脂序列(大范围) |
|
AX FSE T2WI |
横轴面T2WI序列 |
|
AX或SAG DWI(≥800) |
横轴面或矢状位DWI序列 |
|
COR FSE T2WI FS |
冠状面T2WI压脂序列 |
|
SAG FSE T2WI 或T2WI FS |
矢状面T2WI或T2WI压脂序列 |
|
增强对比剂常规剂量0.1mmol/kg ,速率:2-3ml/s |
|
|
AX 3D (LAVA、VIBE、THRIVE 动态) |
横轴面3D容积梯度回波T1WI压脂序列 |
|
COR 3D (LAVA、VIBE、THRIVE) |
冠状面3D容积梯度回波T1WI压脂序列 |
|
SAG 3D (LAVA、VIBE、THRIVE) |
矢状面3D容积梯度回波T1WI压脂序列 |
扫描不仅仅只局限于以上序列,如也可使用DIXON序列扫描,可以同时得到压脂和不压脂的图像;为了减轻其呼吸运动伪影,可以使用Blade/Propeller/Multivane序列(如机型支持该序列在盆腔扫描),使用该序列可以明显的改善图像质量。另外3D成像、功能成像序列也是一个不错的选择。
应充分利用磁共振每个序列的特点和临床优势,合理的 序列组合为临床提供更多的影像学依信息。
注意事项:
1. 如进行大范围盆腔的扫描,按照常规冠、矢、横断位扫描即可;如需观察膀胱病变则需适当的憋尿,显示效果更佳;如需要观察转移性病变,需适当增加FOV。
2.矢状位是子宫扫描最重要的方位,对于女性盆腔的扫描在大范围的扫描1-2个序列后,应首先扫描矢状位,再扫描小视野的横轴位及冠状位,有利于更准确的定位扫描。
3.由于子宫的形态及位置的差异,应根据子宫不同的形态及位置合理定位扫描,小视野的矢状位和横轴位常采用高分辨率扫描。
4.多期动态增强扫描也可行矢状面的多期动态扫描,选择横轴位还是矢状位根据病变的实际情况处理。
5.如机型不具备改善运动伪影(呼吸、血管搏动、肠道、膀胱)的序列,可根据受检者的情况考虑是否使用门控触发采集或屏气采集;也可尝试在腹部使用沙袋压迫的方式改善。
6.子宫内膜会随着生理周期的变化而变化(如增殖期或服用某些药物会引起内膜的增厚,如何判断:绝经前子宫内膜厚度>1.0cm;绝经后子宫内膜厚度>0.5cm;),在行子宫的MRI检查前应明确其经期情况。
来源:MR LiaoY