我带牙套已经一年了,分享下我带牙套后的经历,希望能帮助哪些想带牙套或者刚带牙套的朋友。
我这两天断更事实是我复诊调整牙套钢丝疼痛导致我没有多余精力写东西,现在的我扛着疼痛在打字#牙疼的经历#

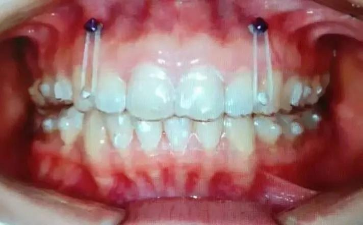
戴了牙套后,负责任的医生会特地花一些时间,讲围正畸期的口腔护理。
这里说一下我个人给在选择金属套或隐形牙套的姐妹的建议
1:如果是自律性比较差和不那么需要美观的姐妹我个人推荐金属牙套,原因是带牙确实会有一定的疼痛,这个疼跟牙套种类没有关系,有的姐妹可能没办法坚持。还有就是清洁的原因,金属牙套清洁这块个人觉得相对麻烦一些,毕竟是托槽,刷牙一定要仔细,吃完饭需要刷牙,如果不想刷牙起码也是要冲牙器冲一下。每天最少保证两次的刷牙。金属牙套也有多种外形,比较不挂嘴的是半球形状的。

半球形状牙套
如果是容易口腔溃疡的姐妹这个我是强烈安利的,不过会比方形的贵。
真牙需要每天2次刷牙,牙套同样需要清洁。
2:如果是需要美观的姐妹,首选可能就是隐形牙套。我当初没有选择隐形牙套的原因除了他贵还有别的原因,那就是异味和矫正时间相对较长。真的姐妹们,光是想想就够yue了。吃饭拿下来,吃饭后刷牙再带上去。不过隐形牙套还有一个好处,那就是没有戴金属牙套疼痛来得强烈,而且也不挂嘴。缺点就是贵时间很长,而且矫正难度比较大的姐妹可能没办法选择隐形牙套。难度大的听医生建议。

牙疼躺平中
接下来说一组数据:
67%的口腔矫治器中存在细菌和真菌;
牙套佩戴期间清洁不当会增加牙齿表面的牙菌斑,从而导致牙龈炎,龋齿和白斑病等。
设想刚刚刷干净牙,口齿留香,却带上一副充满异味和牙菌斑的牙套,岂不是牙都白刷了?除了会引起口腔疾病,变色和充满气味的牙套,也让本就爱美的牙套人士反而离美越来越远了。
你需要特别对牙套进行清洁,以下几种清洁方式帮你一一分析:
1、单纯用清水冲洗,无法去除牙菌斑、软垢和色素;
2、如果加上牙刷的物理摩擦,又会对牙套材质造成损伤,刮痕反而更容易嵌塞进细菌;
3、那牙膏行不行呢?牙膏中含有摩擦剂,再细腻的摩擦剂也会损伤牙套,牙套的密度要远远小于真牙。
4、漱口水:能够有效地控制牙龈炎症并减少牙齿菌斑形成,但不适用于共聚酯材质的牙套,会影响这类牙套的矫治力。
5、牙套清洁片:这个可以重点考虑。
还有就是疼痛的问题。这个其实根据个人矫正难度和承受度有关,一般情况其实都可以承受这个疼痛。很多姐妹会有刚带牙套不适应难受的不行的情况。个人建议刚带牙套的3个月,晚上刷牙后用好易康漱#好易康#口水漱口后睡觉,有效减少口腔溃疡的情况,姐妹我真实经验分享。一般带牙套两周就能适应了,太怕疼的姐妹要跟医生说,先只戴上或者只戴下,不要一起戴。还有就是咬合不好的姐妹,橡皮筋骨钉可能都会上。其实个人戴牙套的过程和经验说的话,带牙套不可怕。不过不建议去医院戴,建议去大型连锁的私人口腔医院戴,原因的服务好一些,医生有耐心一些。很多人包括我自己,嘴巴张开给人看都会有一种莫名的恐惧,所以我联系是大型连锁私人口腔医院比较好。

以上,就是作为一个合格的牙套星人,需要知道的清洁小知识。希望对你有帮助。