我们发现同一瘢痕疙瘩病变,不同深度组织的病理学表现不相同,真皮浅层为瘢痕疙瘩生发层,对瘢痕疙瘩的形成更为重要,药物应该注射瘢痕疙瘩真皮浅层,尤其边缘部位的真皮浅层。

病损内注射激素类药物(曲安奈德最常用,俗称封闭针)是瘢痕疙瘩最常用治疗方案,也是一线治疗方案。我们知道有些瘢痕疙瘩体积巨大,在药物安全剂量下,将整个瘢痕疙瘩组织完全均匀注射是不可能的,只能将药物注射在对瘢痕疙瘩增生最重要的部位,目前药物应该注射在病变组织哪一区域尚不清楚。要解决这一疑问首先要明确同一瘢痕疙瘩病变不同区域的组织的病理学变化是否一致。为了解决这一疑问,我们进行了科学研究。我们发现同一瘢痕疙瘩病变,不同深度组织的病理学表现不相同,真皮浅层为瘢痕疙瘩生发层,对瘢痕疙瘩的形成更为重要,药物应该注射瘢痕疙瘩真皮浅层,尤其边缘部位的真皮浅层。之所以这么说我们的证据如下。
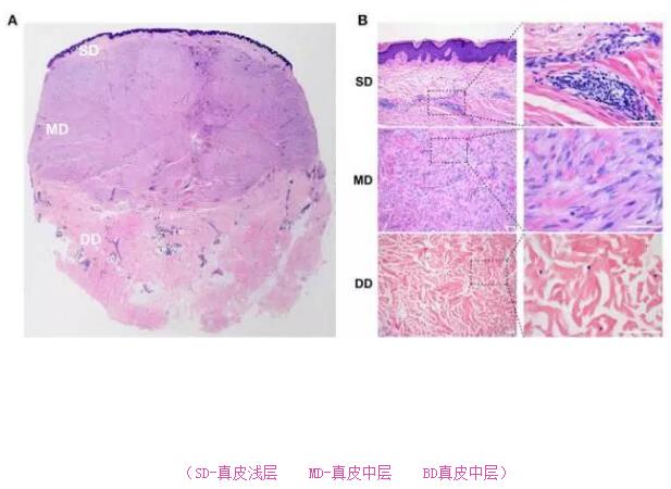
首先对瘢痕疙瘩组织进行了HE染色,显微镜下观察发现真皮层亦明显增厚,可见粗大的胶原纤维束,皮肤附属器消失。从浅至深可以分为三层,浅层的胶原纤维束稍细小一些、分布也稍稀疏,细胞浸润明显增多,大多数是大核的小圆形细胞(后面证实这些是免疫细胞),浅层也可见到一些成纤维细胞。真皮中层总体感觉非常致密、胶原纤维束比浅层明显粗大,可见一些玻璃样变性,有些区域胶原纤维束平行排列,该层细胞浸润最为明显,浸润细胞绝大多数是成纤维细胞。真皮深层的胶原纤维束变性明显,排列无规律,细胞数量非常少。HE染色发现瘢痕疙瘩真皮浅层有大量的小圆型细胞,我们考虑这些细胞是免疫细胞。因此对主要的人体免疫细胞,T淋巴细胞(CD3是其分子标记物)和B淋巴细胞(CD20是其分子标记物)进行了免疫组化染色,结果发现位于瘢痕疙瘩真皮浅层的细胞主要是T淋巴细胞和B淋巴细胞。
为了更好的观察胶原纤维构成,我们对瘢痕疙瘩组织和正常皮肤进行了天狼星红染色(I型胶原纤维显示金黄色,III型胶原纤维显示墨绿色)。正常皮肤纤维束细小,从浅至深胶原纤维构成一致,都是以I型胶原纤维为主,III型胶原纤维为辅。瘢痕疙瘩纤维束粗大,其构成在不同层次有不同表现。在真皮浅层以III型胶原纤维为主,I型胶原纤维非常少;在真皮中层III型胶原纤维含量减少,I型胶原纤维增多。到了深层,以I型胶原纤维为主,III型胶原纤维很少。III型胶原纤维是创伤早期形成的胶原纤维,I型胶原纤维为创伤晚期形成的胶原纤维。这说明瘢痕疙瘩真皮浅层瘢痕组织是新形成的。
我们都知道瘢痕疙瘩会浸润性生长,这和瘢痕疙瘩成纤维细胞的迁移运动有关。我们对瘢痕疙瘩组织进行了体外培养,在显微镜下记录成纤维细胞的迁移速度。结果发现瘢痕疙瘩真皮浅层的成纤维细胞迁移运动最快。
我们都知道瘢痕疙瘩的边缘部位疼痒最为明显。于是我们对瘢痕疙瘩和正常皮肤的交界部位进行了研究。我们发现瘢痕疙瘩边缘部位免疫细胞明显的多于中央部位,更让我们惊奇的是靠近瘢痕疙瘩边缘看似正常的皮肤内也含有大量的免疫细胞。这些现象揭示了为什么瘢痕疙瘩边缘部位疼痒最为明显,另外也提示我们在药物注射时更应该注射在瘢痕疙瘩的边缘部位,同时瘢痕疙瘩边缘的正常皮肤也应该适当注射。
祛除疤痕专家推荐
