点击「神经介入在线」可快速关注
作者:殷聪国、蒋琳、黄焕、夏文卿
单位:杭州市第一人民医院
病情信息
男性,79岁,因“意识不清伴右侧肢体活动不利4小时余”收住入院。
既往有“高血压、脑梗死”病史,不规律服用药物治疗,有髋关节钢板植入术病史,否认糖尿病、冠心病病史。
患者16:30发病,至当地医院就诊,考虑为“脑梗死”,予以rtPA 54 mg静脉溶栓,症状未见明显好转,为求进一步诊治转至我院。
体格检查:昏睡,失语,双侧瞳孔 0.25 cm,对光反射存在,右侧鼻唇沟变浅,伸舌不能配合,右上肢肌力1级,欧下肢肌力0级,右侧痛觉减退,右侧巴氏征(+),NIHSS评分15分,心律绝对不齐,脉搏短绌。
辅助检查:血常规、生化、凝血功能未见明显异常,心电图:心房颤动,ST-T改变;头颅CT平扫未见明显出血。
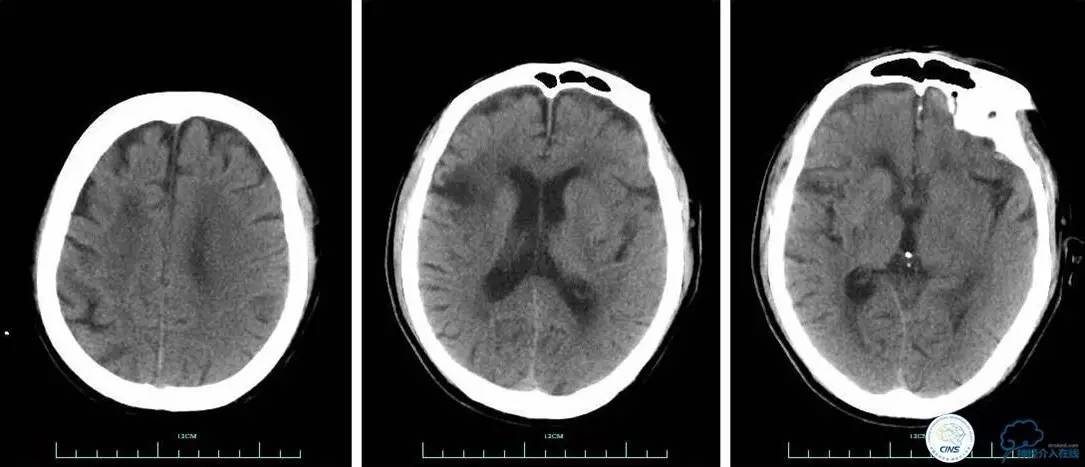
▼术前头颅CT平扫:

临床诊断及治疗计划
★ 临床诊断
1. 脑梗死定位左侧前循环,定性心源性栓塞
2. 原发性高血压3级(极高危)
3. 心房颤动
4. 右侧髋关节内固定术后
★ 治疗计划
患者当地已行静脉溶栓,效果不佳,转我院行桥接治疗,血管内介入干预。
麻醉方式:局麻+静脉镇静。
治疗过程(DSA)
▼21:27穿刺成功,TOT 297min。左侧颈总动脉末端、颈内动脉起始部及颈外动脉起始部长条状血栓形成,随血流晃动,同侧大脑中动脉、大脑前动脉显影良好。


▼选用NAV 6 7.2 mm远端保护装置置于左侧颈内动脉C1段末端,将8F Gulding先后置于颈总动脉及颈内动脉开口部,50 ml注射器反复抽吸,抽出大量血栓。

▼颈总动脉及颈内动脉血栓抽吸完全,远端血流较前好转,TICI 3级。

▼血栓:

术后
▼术后头颅CT复查:未见明显出血,左侧脑室旁可见少许低密度病灶。

▼术后复查颈部CTA。

★ 术后转归
术后第二天患者意识清,言语不清,右侧肌力恢复至3级,NIHSS评分2分,2周后右侧肌力5-级,NIHSS评分0分,行走出院。
体会
◆该病例为心源性栓塞所致的急性脑梗死,当地医院行静脉溶栓效果不佳,转我院行血管内介入治疗,本中心目前与周边医院建立的急性脑梗死双向转诊方案切实可行,能显著改善患者功能性预后。
◆该病例血栓负荷量大,常规支架取栓效果差,容易导致血栓逃逸,由于招标原因在缺乏抽吸导管及近端保护装置的情况下,尝试在远端保护装置保护下采用Gulding于血栓近端抽吸,很好的达到了血管再通的目的。
◆远端保护装置保护下于血栓近端抽吸的治疗方法存在一定局限性,对于血管扭曲的患者,指引导管及中间导管难以到位,很好的达到抽吸目的,同时远端装置与近端保护装置及抽吸导管相比仍存在栓子逃逸风险。
神经介入中心展示

欢迎广大医生积极投稿,分享经典病例。
投稿邮箱:sjjrzx@hh-medic.com