病史
夏**,女性,58岁
【主诉】
发热伴咳嗽咳痰20余天
【现病史】
患者20余天前因“胆总管结石”在当地人民医院住院行胆囊切除术,手术过程顺利,术后予舒普深针抗感染治疗。术后一周左右患者出现发热,最高体温39.4℃,发热前有畏寒及进食呛咳,伴有阵发性咳嗽,咳黄白痰,痰液时有拉丝状,伴大汗淋漓,无夜间盗汗,无胸闷气急,无胸痛咯血,无恶心呕吐,无腹痛腹泻等不适。查肺CT示:两肺散在炎性改变,部分实变,右肺为甚。遂予改用阿奇霉素针及哌拉西林他唑巴坦针抗感染治疗,患者上述症状无明显缓解,复查肺部CT提示病灶无明显改善。痰培养提示阴沟肠杆菌及少量霉菌孢子。遂改用替考拉宁针和美罗培南针抗感染治疗,患者出现全身皮疹,遂予以停药,改用左氧氟沙星及氟康唑抗感染治疗,咳嗽咳痰仍明显。经我科会诊后,遂转至我院,为求进一步明确诊断及治疗,拟“肺部感染,胆囊切除术后,脑梗后遗症”收住入院。
【既往史】
患者30余年前有血吸虫性肝硬化病史。
患者今年四月及六月份在当地医院均发现“脑梗塞”,阿司匹林片100mgqd抗血小板聚集
【体格检查】
神志清,精神软。颜面部发红,全身皮肤大片皮疹,部分脱屑。皮肤粘膜未见出血点。皮肤巩膜无黄染。浅表淋巴结未及肿大。目前患者伸舌左偏,左鼻唇沟变浅双肺呼吸音粗,右上肺闻及痰鸣音,未闻及干湿性罗音。心律齐,未闻及病理性杂音。腹平软,无压痛反跳痛。肝脾肋下未及。腹部可见一长约250px手术切口,部分未愈合,右季肋区留置T管,在位通畅,接引流袋,内见墨绿色液体。移动性浊音阴性。双下肢不肿。
【辅助检查】


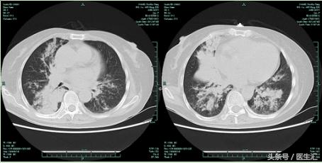
肺部CT检查

【 诊断 】
1.吸入性肺炎
2.胆囊切除术后
3.脑梗塞
4.血吸虫性肝硬化
5.药物性皮炎
【治疗】
鼻饲,留置胃管
拜复乐+大扶康治疗
【诊治过程】
3天后仍有发热,咳嗽咳痰无明显改善
血培养、痰培养阴性
复查实验室检查


需要抗菌药物升级
我们的选择: 舒普深 2.0 q8h
【提示】
吸入综合征的治疗
一般治疗:
1.纤维支气管镜行气管支气管和肺泡灌洗:早期、充分;
2.放置胃管,进行鼻饲;对神经系统疾病引起吞咽和声门功能长期障碍者,建议胃造瘘;
3.体位的保持:对食道、胃反流性应保持床头30-45度,对吞咽和声门功能障碍者应保持侧卧或半俯卧位;
4.口腔清洁:目前国内外非常重视和研究的热点;
5.吸氧或机械通气;
6.重症肺炎时糖皮质激素的应用;
7.水电解质和酸碱平衡的维持;
8.营养的保证。
9.抗生素的选择

改用舒普深治疗后体温变化
临床症状明显好转

10天后复查肺CT:肺部病灶略有吸收

1月 后复查肺CT 肺部病灶明显吸收
【提示】
在脑梗塞患者中非常容易继发肺炎,主要是吸入性肺炎。在吸入性肺炎的治疗过程中禁食和留置胃管非常重要。同时在抗生素的选择中需要覆盖多次病原体,尤其是革兰阴性杆菌和厌氧菌,碳青霉烯类抗生素和酶复合制剂能覆盖大多数病原体。如果患者病情不是非常严重,酶复合制剂如舒普深和特治星对这类患者有相当不错的疗效。