今天分享一个病例,不是我自己的病人,是个36岁的女性,检查发现右上叶占位。肿瘤筛查指标正常。先来看其CT片的肺窗:

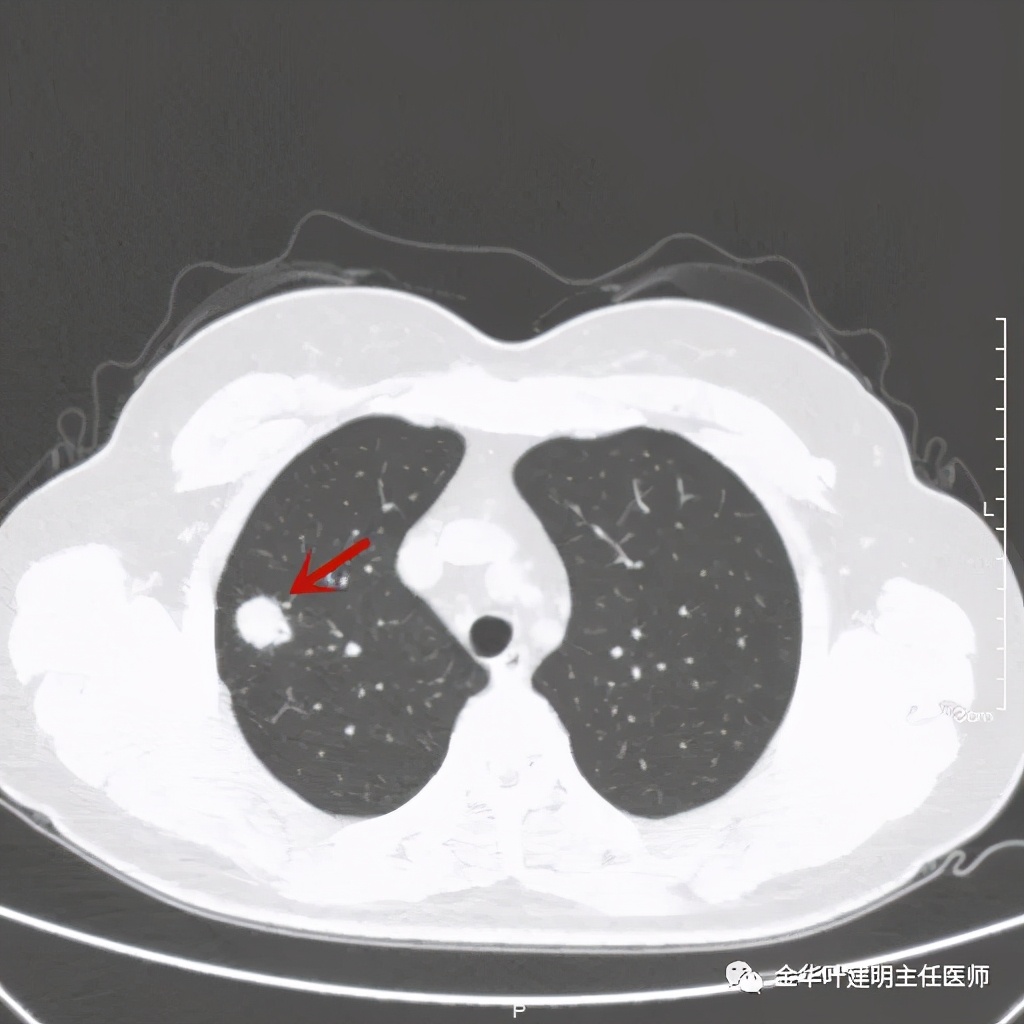
右上叶开始出现病灶,是实性的

病灶比较光滑,密度高,旁边有小的卫星灶,不清爽

绿色箭头示主病灶边有小的实性微小结节,主病灶边缘非常光滑,没有毛刺、分叶等征

主病灶光滑,旁边有不清爽的小斑点状病灶

紫色箭头示病灶与胸膜很近,但无牵拉凹陷,绿色箭头示附近有微小其他病灶

主病灶非常光滑

上图同样示与胸膜近,但无牵拉




上图示病灶内侧有个小的空泡




绿色箭头示病粉旁边有卫星灶,而且密度都高,主病灶也是实性

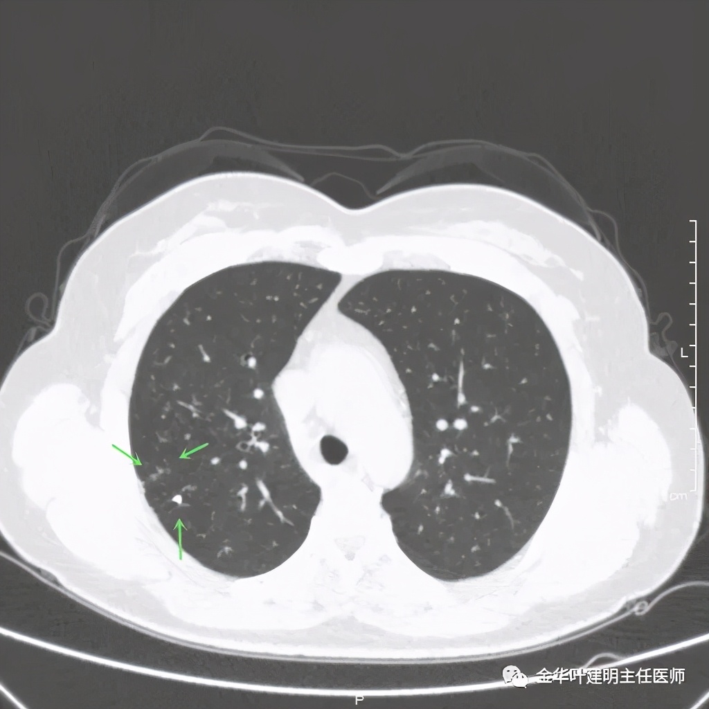
病灶边散在多发微小实性与似磨玻璃的微小结节

病灶附近不清爽

距主病灶一段距离的地方,也有小的实性微结节
总体感觉病灶较大,但边缘过于光滑,缺乏收缩力,没有毛刺征、分叶征、胸膜凹陷征;旁边却有多发微小实性或似磨玻璃结节,周围不清爽。让人感觉非肿瘤性质,炎性可能性大些,比如结核等。那么纵隔窗又是如何呢?我们选两个层面来看:

粉色箭头示病灶边缘光滑,没有毛刺,距胸膜近,但无牵拉凹陷。桔色箭头示病灶内有局部强化(血管?)

上图粉色箭头示病灶一侧非常靠边的地方居然有个小空泡:是结节内坏死形成的吗?这样大小的不符合呀,而且太靠边上了;是扩张的支气管吗?有可能,若病灶是肺癌,应该有破坏才比较符合,我们看它空泡比较光滑,没有堵塞或破坏。就是说,感觉与恶性是不太符合的。所以它应该是个良性的病灶!当然直径达2厘米的实性病灶,又这么靠外周部位,楔切非常简单,既可去除病灶,又可明确诊断,手术是可以考虑的。下面是术后病理结果:

(此处已添加医疗卡片,请到*今条头日**客户端查看)