病例一
病史:男 73岁,主诉:查体发现腹腔占位半月余,高血压20年
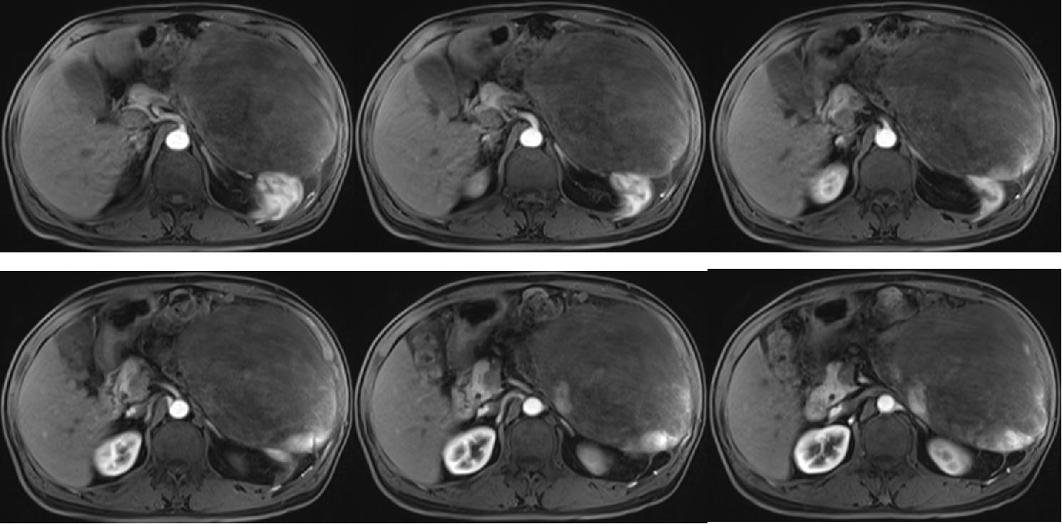
图像:


影像描述:
左侧腹腔内脾肾间隙内见巨大等长T1 混杂长T2异常信号,其内信号欠均匀,增强扫描边缘及内部可见明显延迟强化,病变大小约为22.2x15.9x12.2cm,DWI与ADC 部分可见扩散受限,脾脏被向上推移,左肾被向下推压,病灶与胰腺分界尚可,胰腺被推压。动脉期可见左侧肋间动脉分支血管进入肿块。肝内见多发类圆形长T1长T2信号灶,增强扫描未见明显强化,大者截面约1.9x1.3cm。肝内外胆管未见明显扩张,90min 延迟期可见造影剂排泄双肾内见小类圆形无强化液性信号灶,未见明显强化,大者居右肾,直径约1.4cm,边界清双侧肾上腺显示尚可,未见明显异常信号。腹腔及腹膜后未见明显增大淋巴结。腹盆腔见液性信号。
影像诊断:
左侧腹腔巨大占位性病变,符合肿瘤 MR 表现,间叶源性肿瘤不除外,请结合临床。
学生发言:
A:一看就是定位呗,脾脏往后压,给的图没看到胰腺,但是胰头感觉在后面,所以考虑腹腔的,T2里面低信号,并呈漩涡状改变,并且渐进性强化,考虑胶原纤维,要么纤维肉瘤,要么去分化脂肪肉瘤,当然了腹腔胃肠道间质瘤也是很多见的;
B:看结肠,往前往右侧推,考虑腹膜后,肿瘤间叶源性肉瘤,问题肯定不大,具体是啥就不知道了,所以还是看定位。间叶源性有:脂肪啊,淋巴啊,纤维啊,血管啊,神经啊,原始胚胎啊等等
病例二
病史:女 52岁;主诉:查体发现左侧肾上腺区肿瘤3天入院
图像:

影像描述:
左侧腹膜后见巨大团块状异常信号灶,呈等长 T1 等长 T2 混杂信号,大小约10.0x10.5x9.6cm,边界尚清,边缘分叶,左侧肾上腺显示不清,增强扫描病灶呈渐进性不均匀强化, DWI ( b =800) 及 ADC 示明显弥散受限。胃腔及脾脏左肾受压,胃及脾静脉向前推移。右侧肾上腺、双肾未见明显异常信号及强化;腹腔及腹膜后未见明显增大淋巴结,腹腔见少许明显液体信号影。
影像诊断:左侧腹膜后占位性病变,考虑间叶源性肿瘤,恶性可能性大,建议病理学检查;
学生发言:
A:这个在胰腺后就没啥纠结的了吧,腹膜后间叶源性肿瘤,肾上腺也看不见,不知道是不是起源肾上腺的,那就这么报(腹膜后间叶源性肿瘤)问题应该不大。鉴别诊断再细分也没啥意思了,毕竟也都手术。
老师总结:
①:第一例病例梭形细胞瘤,符合间叶源性肿瘤,具体位置尚有争议,倾向腹膜内,第二例是肾上腺神经鞘瘤。
②:
