
9月12日是中国预防出生缺陷日,今年的主题是“同心抗疫,护佑新生”。

重视孕前、孕期及产后检查,做好一、二、三级预防是孕育健康宝宝的有力保障,而产前进行系统的超声检查就是这些保障措施中重要的一项。它不仅能让准妈妈提前看到宝宝,更能为医生提供相关信息,通过分析宝宝在子宫内的情况,来帮助医生评估胎儿的健康和生长发育情况,是孕期的重要辅助检查手段。
可是,在拿到超声检查报告单的时候,不少孕妈却是一脸懵圈:这么多数值,它们认识我,我不认识它。好想知道每一个数据是什么意思,难道只能一个一个地问医生吗?别着急,今天小编就带大家一起解读超声报告单上的奥秘!
早孕期(孕13周前)
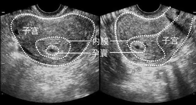
1.GS-胚囊
也称孕囊,月经规则的妇女,停经35天左右就可以观察到胚囊。随着停经时间的增加,胚囊的形状和尺寸也会变化。停经38 天左右,胚囊内可见到叫做「卵黄囊」的结构,这时我们就可以确定这是胚囊。怀孕6周左右胎囊直径约2厘米,孕10周时可达到约5厘米。

2.FE-胚芽
孕6-7周,胚囊内卵黄囊旁可以观察到胚芽。胚芽就是以后发育为胎儿的原始结构,一般来说观察到胚芽就可以见到原始心管搏动,即心跳。一般建议孕50天左右做首次超声检查,确认胚胎着床位置、胚芽和心搏等状态,排除宫外孕等情况。

中孕期(孕13-28周)
1.NT-胎儿颈项透明层厚度
NT检查是唐氏筛查的一种,又叫颈项透明层检查,俗称为“早唐筛查”,用于评估胎儿是否有可能患有染色体异常和心脏问题,通常在孕11-13周+6天进行。
● 妊娠11周,NT厚度应≦2mm;
● 妊娠13周+6天,NT厚度应≦2.7mm;
● 当NT厚度≧6.5mm时,染色体异常的发生率为65%;
● 如果彩超提示NT厚度≧2-3mm时,一定要看产科医生、优生遗传科医生,帮助您了解背后可能存在的风险。

2.AMN-羊水
3.MVP-最大羊水池垂直羊水深度
MVP在3-7厘米之间为正常,超过7厘米为羊水增多,少于3厘米为羊水减少。
4.AFI-羊水指数
以孕妇的脐部为中心,分上、下、左、右4个区域,将4个区域的羊水深度相加,就可得到羊水指数,孕晚期羊水指数的正常值是8-18厘米。超过18厘米为羊水增多,少于8厘米为羊水减少。
5.Cord-脐带
脐带是连接胎盘和宝宝之间的一个重要的条索样器官,正常情况下,脐带一端连于胎盘的胎儿面,另一端连于宝宝的脐部。
正常脐带内部有三根血管,包括两个脐动脉和一个脐静脉。在测量脐动脉血流时,可见PI、RI和S/D等测量值,这些测量值都表示血流阻力情况。PI为搏动指数,RI为阻力指数,S/D为S/D比值。
正常情况下,脐带应漂浮在羊水中,如在胎儿颈部见到脐带影像,可能为脐带绕颈。「U」形或「W」形或「锯齿形」切迹的描述,代表胎儿脐带绕颈一圈、两圈或三圈。
6.CR-头臀长
即胎儿头与臀之间的距离,表示胎体纵轴平行测量最大的长轴。一般在6-13周之间估计孕龄(周)=头臀长+6.5(cm)。
7.FH-胎头
轮廓完整为正常,缺损、变形为异常,脑中线无移位和无脑积水为正常。
8.BDP-胎头双顶径
胎儿头部左右两侧之间最宽部位的长度,又称为“头部大横径”。孕足月时应达到9.3厘米或以上。
9.H-胎心
B超于怀孕7-8周、最早孕6周末可见胎心跳动。胎心跳动的频率正常为每分钟120-160次之间。
10.FL-股骨长度
即胎儿大腿骨的长度,又称为“大腿骨长、股骨长”。指胎儿大腿根部到膝部间股骨的长度。它的正常值与相应的怀孕月份的BPD值差2-3厘米左右,比如BPD为9.3厘米,股骨长度应为7.3厘米;BPD为8.9厘米,股骨长度应为6.9厘米等。一般在妊娠20周左右,通过测量FL来检查胎儿的发育状况。

11.SP-脊椎
孕12周后可见胎儿脊柱,孕20周则清晰可辨。胎儿脊柱连续为正常,缺损为异常,可能脊柱有畸形。

12.FM-胎动
B超在孕8-9周就可见到胎动。有、强为正常,无、弱可能胎儿在睡眠中,也可能为异常情况,应综合评估。
13.PL-胎盘
胎盘可能在子宫壁任何位置,正常足月胎盘的厚度应在2.5-5cm之间。若胎盘附着于子宫下段,甚至胎盘下缘达到或覆盖宫颈内口,其位置低于胎先露部,则为前置胎盘,需格外注意。
14.GP-胎盘分级
一般胎盘分为0,I,II,III级:
● Ⅰ级为胎盘成熟的早期阶段,回声均匀,在孕30-32周可见到此种变化;
● Ⅱ级表示胎盘接近成熟;
● Ⅲ级提示胎盘已经成熟,胎盘内有很多钙化点,表现为小砂粒状,一般不对胎儿生命构成威胁,但应引起重视。越接近足月,胎盘越成熟,回声越不均匀。
15.AC-腹围
16.HC-头围
17.HL-肱骨长(即上臂骨长度)
晚孕期(孕29-40周)
1.胎位
胎位是指胎儿最低点与准妈妈骨盆的关系,一般由三个大写字母组成:
● 胎儿最低点在母体骨盆的左侧(L)或右侧(R);
●胎儿最低点,如果头朝下就是「O」,屁股朝下就是「S」,肩膀位置最低就是「Sc」;
●最低点在母体骨盆的前(A)、后(P)或横(T)。所以,我们经常在报告单上见到的「LOA」「ROA」就是常说的「头位」,「LSA」就是常说的「臀位」。
2.胎心
早中孕期胎儿心率偏快,可达到180次/分,以后逐渐下降,至中晚孕期稳定在120-160次/分。发现低于或高于这个数字达十分钟以上,建议及时到产科就诊为宜。
来源:湖北省妇幼保健院
