来源:青岛市市立医院
近日,我院脊柱外科中心主任王德春团队联合多个科室成功诊治一例罕见的食管型颈椎病,凭借丰富的颈椎前路手术经验和精湛的操作技术为患者解除吞咽困难的困扰。
吞不下饭,大爷颈椎影像惊现“鸟嘴”
“大夫,我吃东西的时候咽不下去,必须喝水才能将食物冲下去,太遭罪了!”来我院之前,62岁的钱大爷(化名)已经被吞咽困难整整折磨了4个月。去了青岛多个医院就诊,均未能解决问题,最后来到我院东院神经内科就诊。
为了让钱大爷不再奔波,早日解除吞咽困难,神经内科联合耳鼻喉科、消化内科、胸外科组成MDT团队为其会诊。然而食管镜、喉镜检查均未发现异常,造成吞咽困难的原因到底时什么?
为一探究竟,团队最后决定对患者颈椎进行x光检查,果然有了重要发现:影像清晰地显示患者颈椎第56两节前方有巨大“鸟嘴状”骨赘,它是不是就是造成吞咽困难的罪魁祸首?


△CT与磁共振检查也显示颈椎第56两节前方巨大骨赘,且前方有水肿信号
在康复科的指导下,放射科科团队进一步行钡餐造影检查,发现病人吞咽馒头等固体食物时,在颈56骨赘处果然有食物阻挡及反流。脊柱外科王德春主任综合所有检查和评估,明确诊断为食管型颈椎病。

术前钡餐造影显示患者吞咽食物骨赘处存在食物阻挡及反流
挑战罕见,市立专家量身定制手术方案
“这是一个很罕见的病例,颈椎病最常见的主要有神经根型颈椎病与脊髓型颈椎病,而食管型颈椎病是一种很少见的颈椎病分型,一般的颈椎前方骨赘不会造成吞咽困难,切除骨赘是否能完全解决吞咽困难?是否有食管损伤?有食管损伤该如何处理?单纯切除骨赘还是需要行颈椎融合手术?查阅文献,大多为个案报道,能够参考的经验并不多。”王德春主任表示。
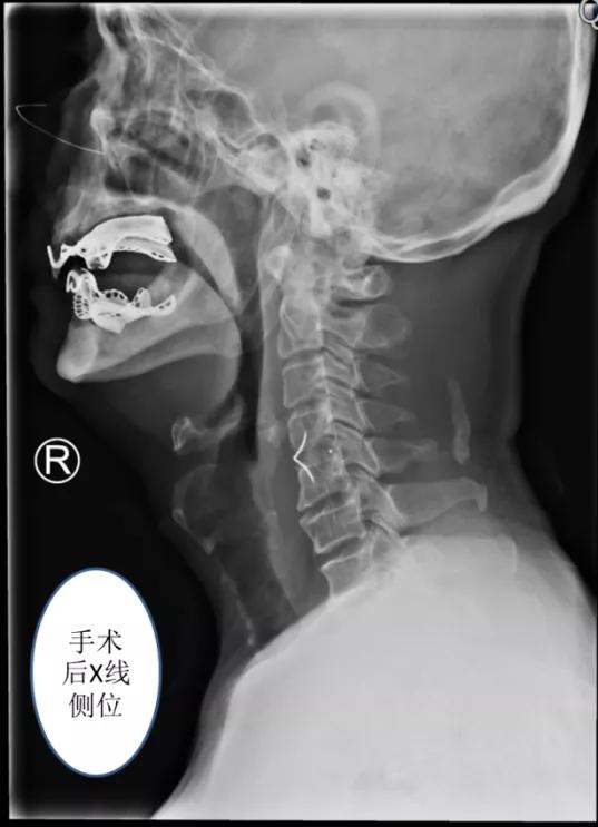
最终凭借丰富的颈椎前路手术经验和娴熟的操作,王德春主任团队根据综合评估,制定了“颈椎前路骨赘切除+零切迹融合器颈椎融合”手术方案。
术中见患者颈椎前方骨赘巨大,凸起处成鸟嘴状,将颈椎前方骨赘磨除干净,然后零切迹融合器行颈56节段融合手术。手术用时仅1个多小时,出血极少,术后第二天病人就佩戴颈托下地活动,恢复正常饮食。
术后第二天,钱大爷吃东西时就感觉吞咽困难明显缓解。术后第3天再次行钡餐造影检查,吞咽固体食物没有明显的阻挡和反流。“我现在吃东西完全跟以前一样了,吃饭都香了,感谢王主任的精湛医术。”
术后3个月随访,钱大爷表示吞咽困难的症状完全消失。

△术后患者吞咽食物时没有明显阻挡和反流
