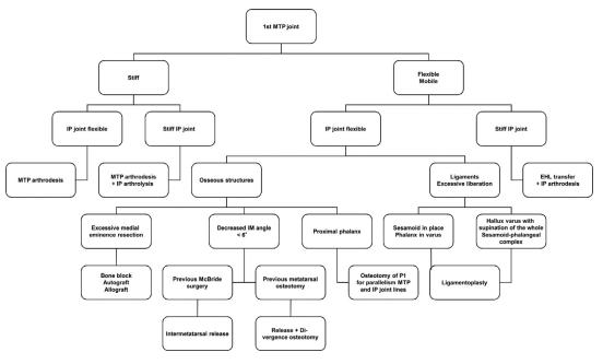
拇内翻治疗方法的选择,主要依据第一跖趾关节和趾间关节的活动度。拇短伸肌和拇短屈肌、拇收肌和拇展肌存在肌力不平衡,会导致畸形出现,早期趾间关节和跖趾关节是柔软的,随着时间推移,会形成趾间关节挛缩,关节僵硬,甚至关节炎出现。

1. 早期拇内翻
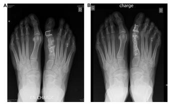
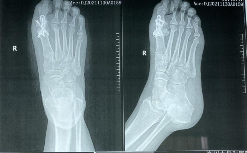
术后即出现拇指内翻,说明内侧关节囊重叠缝合过度,跖骨力线不良引起,通常是关节囊处过度紧缩或是外侧过度松解的结果,可采取踇趾向外位加强包扎8周的方法进行纠正。如果拇内翻仍存在,可能是IMA纠正过度,需再次行跖骨截骨术或跖楔关节融合术,需要尽早做,以减少软组织挛缩导致的相关问题。

2. 晚期拇内翻
如果趾间关节存在畸形,但是柔软的,可进行肌腱转位,保留关节功能。因为踇长屈肌存在挛缩,跖侧关节囊紧张,单纯松解手术并不理想。

如果趾间关节是僵硬的,并位于屈曲位,先行趾间关节融合术,再行跖趾关节间置术和肌腱转位术。
如果行肌腱转位恢复平衡性,前提跖趾关节要有活动度并且存在畸形为柔软。跖趾关节的僵硬性关节炎,是肌腱转位手术的禁忌症。
3. 治疗方法
软组织手术、骨性手术、关节手术

A. 软组织手术
平衡跖趾关节的力量是关键。拇展肌腱需要延长、切断或转位,内侧关节囊切开同时外侧软组织需稳定。拇长伸肌或拇短伸肌转位,包括肌腱固定术和肌腱转位术。由于拇长伸肌劈开,部分转移后,残留的拇长伸肌会被拉长,从而降低踇趾背伸力量。因此当患者跖趾关节和趾间关节存在活动度时,需保持拇长肌腱的完整,采取拇短伸肌移位或行肌腱固定。

动态重建总是优先于肌腱固定术,因为肌腱固定只是用于拇短伸肌断裂,或是长度不足的情况,不能重新缝回自身。完成肌腱固定术后,踇趾应当处于中立位,而不是通过外力推挤到中立位。也可以纠正过度,即轻度外翻位保持2个月。8周内禁止患者进行足趾推进活动及跖趾关节屈伸活动。

如果患者拇长伸肌腱和拇短伸肌腱已经损伤,那么需要拇展肌进行转位。也可采取线扣技术,但是需要同时进行软组织重建,否则有复发风险。

B. 跖骨翻修截骨术
由第一跖骨的畸形引发的拇内翻,是单纯肌腱手术纠正拇内翻的禁忌症。纠正跖骨力线异常需要截骨,并一定要联合应用肌腱转位术。

C. 关节融合术和关节间置成形术
适合于存在关节炎或僵硬性的跖趾关节畸形,这两种手术不需要联合关节软组织的平衡手术。


4. 注意合并的外侧组织内翻畸形
如果踇趾明显内翻,时间长了会牵拉外侧足趾的内翻,踇趾畸形纠正后,外侧足趾不能够恢复正常,需要行关节囊切开和松解内侧副韧带,如果仍不能够纠正畸形,需要短缩跖骨才能达到理想效果,相当于间接延长了内在肌,从而松解了挛缩的组织。

总之,拇内翻的处理难度远远大于拇外翻的治疗,即便外观满意,足趾功能可能也会受影响,降低患者的满意度。因此,正确、合理的术前设计,术中仔细地操作,和术后正确缝合是关键。