造成对骨的损伤性不同的骨髓炎跟骨不连之间的关系,人们对它们之间的关系总是弄不太明白,甚至有人说骨不连就是骨髓炎,,而这时骨不连的症状也是实际存在的。但对于这种说法,难免有些牵强。

在骨折治疗中出现延迟不愈合或骨不连的原因很多,但并不一定由于骨髓炎引起的,重要的是跟医源性因素有关系,最常见的就是在进行开放性骨折手术中将粉碎的骨片不适当的切除造成骨质的损伤,或是在进行完手术后进行内外固定的不合理,再往后就是在病人进行锻炼时,由于不恰当的锻炼而引起的。

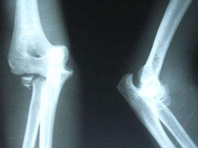
骨不连是属于骨折后的并发症,骨折端位不好,受到药物的刺激,过度的牵引,严重开放性骨折,软组织损伤较大,血管受损伤挤压造成患部血运不良,骨组织感染,内固定材料过敏等,只要达到一定的时间强度的刺激,都会产生一系列的神经、内分泌、免疫功能的改变而引发骨不连。

骨不连只是骨髓炎发生时的一种情况,但是不是同一种疾病,骨不连在治疗不及时会转变成骨髓炎,这时需要引起人们的重视的。再骨折手术治疗的过程中,如果出现延迟愈合或是骨不连时,就要好好研究一下真正的病因所在。

这里不得不提的是手术因素,因手术本身就具有创伤性,会造成骨折周围软组织破坏,由于本身的抵抗力下降,加上手术过程中不注意防止细菌性感染,造成骨折端易受感染的因素更大,如果正好是由于细菌引起的骨不连,就会出现骨髓炎跟骨不连同时发生,如果不是由于细菌感染引起的骨不连,而是术后呈现骨不连的情况,由于时间长,周围组织形不成很好的防御功能,在治疗上不及时而转变成慢性骨髓炎。
一旦发觉有不适的地方,要及早进行检查,预防骨不连的发生!