27岁的周女士与子宫内膜癌擦肩而过,差点错失生育机会,她表示这段经历让她终生难忘,2021年8月份,周女士初次来到医院时,她告诉我:“医生,我已经连续经期出血3个月了”我问她:“以前月经的情况怎么样呢?”她说:“以前一般一个月或者一个多月来一次月经,不太规律”经过一番了解,周女士在近3个月出现月经期间阴道出血的情况,多数在月经干经之后3-5天出现,量少,持续2-3天。周女士告诉我,她没有高血压,糖尿病,高脂血症等慢性疾病史,也没有恶性肿瘤及遗传性疾病家族史,但在2019年早孕通过人工流产过1次。
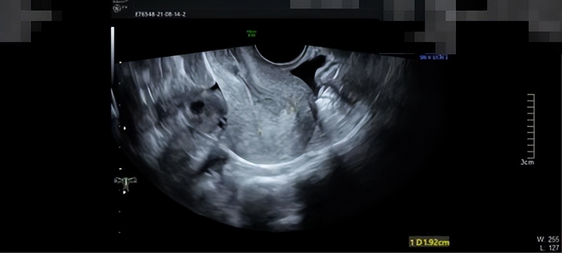
周女士十分焦虑,她问我:“医生,我之前流产过一次,然后现在我又一直出血,我以后不会不能怀孕了吧?我还没有结婚,我还想生个孩子,医生,你一定要帮帮我”我对周女士说:“我们会尽力的”我的内心能够感受到周女士迫切的心情,我想子宫对一个未孕女子的意义重大,我们作为医者,一定要从患者的切身角度去维护好患者最大的意愿。我查阅周女士的病历了解到,周女士在2021年8月初的时候就诊医院B超检查子宫,超声提示内膜厚1.8cm(双层),回声不均,考虑子宫内膜厚,如图1所示,当时给予黄体酮口服12天,情况缓解。在2021年9月,月经第5天时复查,超声提示内膜增厚1.29cm(双层),回声不均,宫腔内见1.1*0.8*0.6cm稍低回声,内见星点状血流,息肉?粘肌?如图2所示。

图1.腹部B超结果显示

图2.复查黄体酮治疗后B超结果
根据周女士的结果显示,宫腔占位,我思考了几种结果,子宫内膜息肉? 子宫黏膜下肌瘤?子宫内膜增生症? 周女士还存在异常子宫出血的情况,“医生,我还没有生育,我不能失去生育的能力啊!请你一定要帮帮我”周女士的话语一直在我脑海中回响,明确诊断才能精准治疗,根据超声结果,需要进行宫腔镜检查及镜下取组织送病检进一步明确诊断。由于目前出血基本停止,我马上安排周女士住院进行宫腔镜检查,镜下可见子宫内膜局限性增厚,后壁可见一枚直径约1公分的息肉样赘生物。因为周女士还未生育,为了保护内膜,避免电切造成的内膜损伤,我们使用冷刀器械,剪除息肉,同时行镜下诊刮术,刮取增厚的内膜送病理。术后周女士恢复很快,出院后回家等待病理结果。

一周后,病理结果出来了,提示:子宫内膜息肉,子宫内膜不典型增生。周女士反复出血的元凶找到了,就是子宫内膜不典型增生。子宫内膜的不典型增生的突出症状是月经异常,常表现为阴道的不规则出血,月经稀少或闭经一段时间后出现有长期大量阴道出血。如能重视到月经异常是本病的常见症状之一,并及早作子宫内膜活检,就可能使患者获得早期治疗。周女士出现的长期反复阴道出血是子宫内膜不典型增生的典型症状。其实阴道出血,针对出血这个词在生活中大家都很熟悉,但是当患上妇科疾病的时候,阴道的出血往往不会被大家所轻易察觉。因为在妇科疾病中,阴道出血可以表现为月经延长或者月经不规律、点滴出血,如果不注意,很容易被忽略!提醒我们大家在日常生活中不要掉以轻心,要多多注意自己的身体健康。
周女士今年27岁,未婚,我十分理解她想要保留子宫的心情,子宫对于一个未孕女子来说也是非常重要的,所以我在对待每一位患者尤其是未孕有生育要求的患者的时候,都会更加加倍的谨慎,在综合全面评估之后我决定对周女士采取了保守治疗的方式,也得到了一定的成效。
一般来说,针对这类子宫内膜非典型增生的疾病,我们会根据患者的意愿,根据有生育要求/强烈保留子宫意愿和无生育要求的患者采取不同的治疗方案,针对无生育要求的患者,可能采取全子宫切除术,推荐同时行双侧输卵管切除术,或是绝经前女性卵巢是否保留个体化处理;针对有生育要求或是有强烈保留子宫意愿的患者,我们会充分告知保守治疗可能的获益及风险,在治疗前全面评估除外子宫内膜浸润癌和可能合并存在得卵巢癌,采取孕激素治疗,治疗期间密切监测效果,如果病情进展也要及时更改方案甚至手术。