本文杉树园口腔频道作者: MJane
很多人都在说洗牙会把牙齿洗松,把牙齿的"保护层"给洗掉等等,洗牙真的可怕吗?可怕的真的只是洗牙?

那么先撇开洗牙不说,洗牙前你的口腔是个什么情况呢?
很多人说我一天刷两次牙,甚至有一天刷四五次的,但是一张口~这牙刷的太假啦.有些人唇侧的牙齿刷的是挺干净的,甚至刷的很卖力呢,把牙颈部都刷出来了齐刷刷的一排洞。这洞怎么来的?

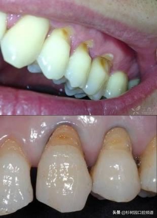
这洞其实就是口
腔医学里叫的楔状缺损:
这种缺损大部分是拉锯式横刷牙导致的(因为牙齿表面有一层人体最坚硬的组织叫牙釉质,它像盔甲一样保护着我们的牙齿,但是它很怕酸,而且恰好牙颈部的牙釉质是相对较薄的,而且尤其是牙列转角处的3.4.5位牙,更容易应力集中,所以大多数人不合理的横刷就很容易导致该牙位形成楔子一样的牙洞啦),还有部分是酸蚀(比如喝可乐那些碳酸饮料导致的,不过这种是有可乐的色素沉淀在上面),还有一小部分是咬合创伤导致的。

楔状缺损图

严重的楔缺需要做根管治疗
再往靠近舌侧的牙看一下,简直不忍直视啊,厚厚的牙结石堆的跟砌墙似的,我想说这面子工程真是可以,看得见的地方就刷的干干净净,看不见的就不管了,毕竟不是门面担当吗?更可怕的是有人以为这厚厚的牙结石是保护层,如果弄掉了会失去这层保护层如果真的是保护层就不会让你把这些牙结石去掉了。

牙结石有什么危害?

就看看堆满牙结石的牙周情况吧,牙龈已经退到牙根部了,拍了片你会发现牙槽骨也吸收到了牙根下,打个比方说,如果你的牙是树,牙周(这里讲的牙龈 牙槽骨)就相当于水土,牙结石很多的人,你的牙齿大多都已经水土流失了,很快牙齿就会松掉了,也许牙结石堆在那里会让人有种稳固的假象,其实内部已经摇摇欲坠,而且牙结石上就相当于细菌的培养基,细菌在此繁殖发酵释放毒素,你的牙周就是这样在一步步地被侵蚀掉的。

还有口腔卫生差的人,牙结石很多的人还可能会有口臭现象

所以,为什么要洗牙(一般清洁就是龈上超声洁治)?严重一些的牙周病要做刮治(对于中度以上牙周炎进行龈下刮治)?因为牙结石是牙周的天敌,你要把它消灭,才能让你的牙齿继续稳固地待在牙槽窝里,让牙周破坏的情况不会继续恶化下去。有些人觉得洗完牙觉得牙齿松了,是因为牙结石给人一种稳固的假象,把牙结石清理后会觉得牙齿像冬天把被子掀掉一样的空虚感,而且因为之前一直被牙结石包裹着,尤其那种牙龈退缩到牙根部的,清理掉牙结石后就会稍微有点不适应,会冷热有些敏感,不过过几天就会有所缓解,还有洗牙时会出血,因为你的牙周有炎症,本身就是充血肿胀的状态,超声波振动牙结石的同时牙龈就很容易出血了,这种有充血肿胀牙龈炎的人平时刷牙也会出血不是吗?有人说不会的,估计压根就怎么刷,囫囵吞枣的就完事了。此外,告知爱美人士,洗牙不具真正的美白功能,相当于给牙齿洗澡,是洗干净,恒牙本身就是呈淡黄色的,不必过度追求牙齿的美白,明星那些亮瞎人眼的牙是做出来的,大多不是牙齿天然的色泽。

还有洗完牙为什么要抛光?因为洗完牙后牙齿表面是比较粗糙的,而且还有牙结石那些残痕在上面,抛光的工具就可以使牙齿表面变得光洁而不易黏附脏东西,还有超声波和抛光器械是没法把牙齿摸掉的,不然我们还要专门的磨牙车针干啥。

洗了牙之后一周内不要吃过冷过烫的东西,刷牙也是用温水比较好,继续保持好口腔卫生,认真刷牙,如果有需要配上漱口水含漱也是可以的,牙刷可以定期换。一般口腔卫生状况一般的可以一年两次洗牙,口腔卫生较差的可以增加次数,一年三到四次都是没问题的,而且洗牙的同时也是可以顺便给自己检查一下口腔的了。