

颞骨解剖


耳解剖关系示意图


血供

外耳
耳廓


鼓膜正常结构

鼓膜(右侧)

中耳
包括鼓室、咽鼓管、乳突窦和乳突小房。
1.鼓室
鼓室为位于颞骨岩部的不规则含气腔隙。

鼓室全貌(右耳)
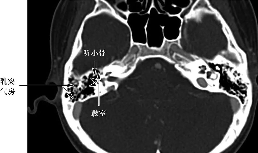
鼓室内含3块听小骨——锤骨、砧骨、镫骨。

听小骨链
3块听小骨相连接形成听骨链,两端分别连接鼓膜与前庭窗。鼓室周围有6个壁:
记忆口诀 外有鼓膜内两窗,前动咽管后窦房,上鼓室盖下静脉,岩内六壁含气腔。
①上壁:鼓室盖,为分隔鼓室与颅中窝的薄层骨板,中耳病变可侵犯此壁,向上进入颅内,引起耳源性颅内并发症;
②下壁:颈静脉窝,为一薄层骨板与颈静脉起始部分分隔;
③外侧壁:大部分为鼓膜,鼓膜上方为上鼓室的外侧壁;
④内侧壁:内耳的外侧壁,也称迷路壁;
⑤前壁:颈内动脉的后壁,上部有咽鼓管;
⑥后壁:乳突壁,上部有乳突窦入口,连接上鼓室与乳突窦。鼓室根据鼓膜紧张部上、下缘分为三部分:上鼓室位于鼓膜紧张部上缘以上;下鼓室位于鼓膜紧张部下缘以下;中间部分为中鼓室。鼓室恶性肿瘤多位于中、下鼓室。

模式图
鼓室窦的变异
A型:表浅的鼓室窦,鼓室窦不超过面部神经垂直部前缘;
B型:中等深度的鼓室窦,鼓室窦后界位于面部神经垂直部前缘与后缘之间;
C型:深的鼓室窦,鼓室窦后界越过面部神经垂直段后缘并继续向后扩展。


鼓峡
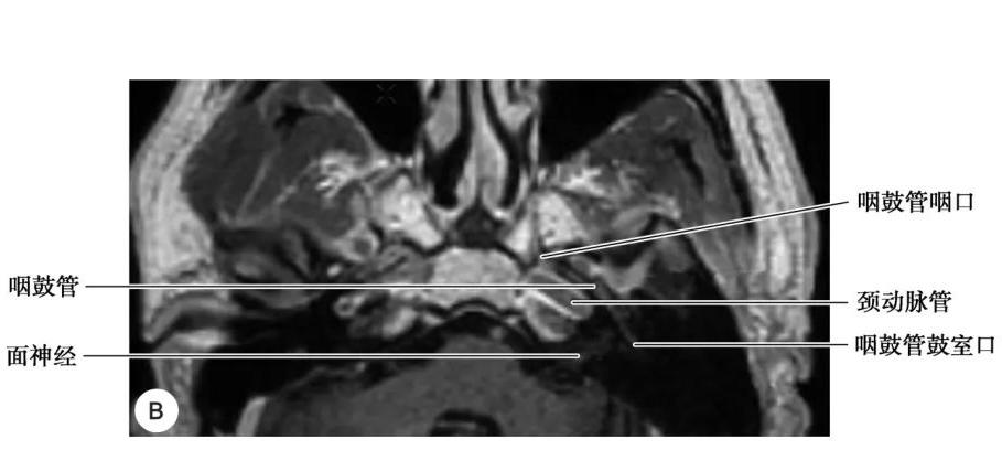
2.咽鼓管
咽鼓管为连接鼻咽腔与鼓室的通道,向内通鼻咽腔,开口于咽鼓管咽口,向外通鼓室前壁,开口于咽鼓管鼓口,鼻咽癌可经咽鼓管侵入中耳。

幼儿与成长咽鼓管比较模式图
3.乳突窦
乳突窦向前经乳突入口与上鼓室相通,向后与乳突小房相通,中耳病变可经乳突窦侵入乳突小房。
内耳
内耳为位于颞骨岩部的迷路结构,形状不规则,结构复杂。主要作用是接受声波及位觉刺激。迷路包括外层的骨迷路和内层的膜迷路。

内耳模式图
1.骨迷路
骨迷路为位于岩部的不规则骨质隧道,包括 耳蜗、前庭、骨半规管 ,三者沿颞骨岩部长轴从前内向后外依次排列,并相互连通。前庭位于骨迷路中部,前部与耳蜗相连,后部与3个半规管相通。骨半规管包括3个半圆形互成直角排列的小管,分别为前骨半规管、后骨半规管和外骨半规管。前骨半规管与颞骨岩部长轴垂直,后骨半规管与颞骨岩部长轴平行。
关于三个半规管的记忆口诀:
记忆口诀 三半规管前外后,前垂后顺岩长轴,外管最短位水平,五个垂直尽感受。

内耳在颞骨岩部的投影

耳蜗
2.膜迷路
膜迷路为骨迷路内封闭的膜性囊,包括 椭圆囊、球囊、膜半规管和蜗管 4个部分。内充满内淋巴液,膜迷路与骨迷路之间充满外淋巴液,内、外淋巴不相通。

声音的传导 蜗管下壁由骨螺旋板和基底膜组成,并与鼓阶相隔。基底膜(螺旋膜)上有螺旋器(又称 Corti器 ),是 听觉感受器 。
声音的传导: 声波传入内耳的听觉感受器有两条途径,即空气传导、骨传导。正常情况下以空气传导为主。
(1) 空气传导 :声波→外耳道→鼓膜→听小骨链→前庭窗→前庭阶的外淋巴→蜗管内淋巴→基底膜上的螺旋器→蜗神经→听觉传导通路→大脑颞叶听觉中枢。(2) 骨传导 :颅骨→蜗管内淋巴→基底膜上的螺旋器→蜗神经→听觉传导通路→大脑颞叶听觉中枢。
3.内耳道
内听道从颞骨岩部后面的内耳门开始,向外侧进入颞骨。内耳道内含有面神经、前庭蜗神经和迷路动脉。
耳部及其周围的重要解剖结构 (CT横断面)




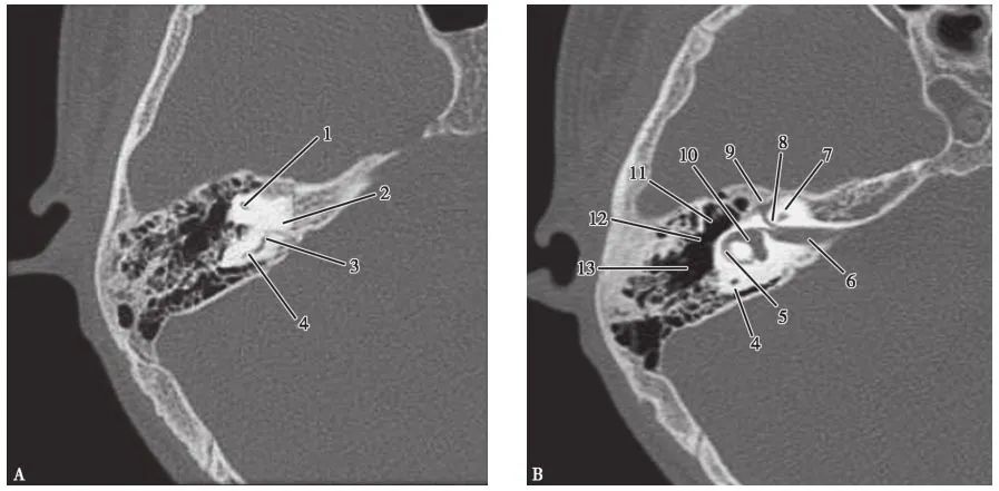
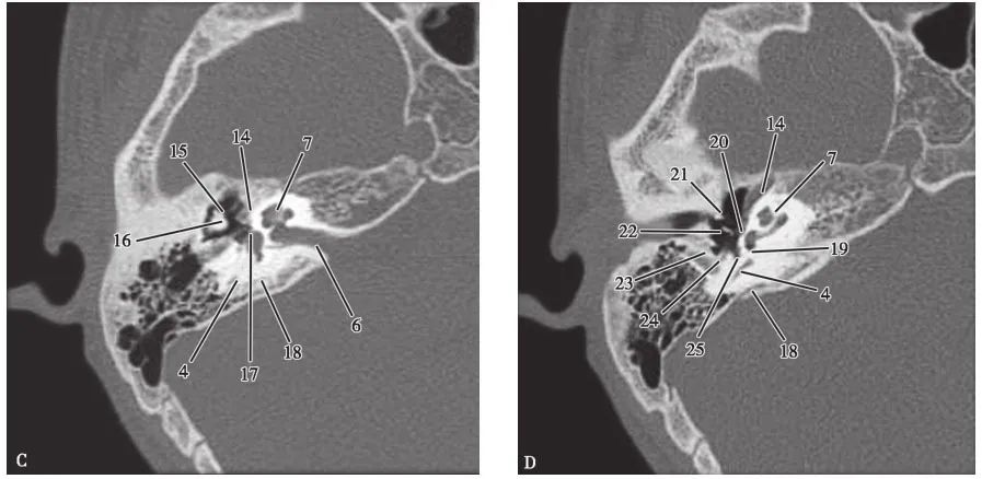
A.上骨半规管层面;B.外骨半规管层面;C.前庭窗层面;D.耳蜗层面;E.颈动脉管层面1.上骨半规管;2.弓形下窝;3.总骨脚;4.后骨半规管;5.外骨半规管;6.内耳道;7.耳蜗;8.面神经管迷路段;9.膝状神经节;10.前庭;11.上鼓室;12.乳突窦入口;13.乳突窦;14.鼓膜张肌;15.锤骨头;16.砧骨体;17.前庭窗;18.前庭导水管;19.圆窗;20.鼓岬;21.锤骨颈;22.砧骨长脚;23.面神经隐窝;24.锥隆起;25.鼓室窦;26.颈动脉管;27.咽鼓管;28.耳蜗导水管;29.颈静脉球
中耳、内耳结构
(CT横断面自上而下)

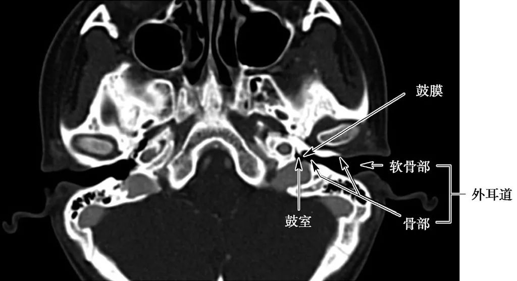
外耳道结构
(CT横断面)

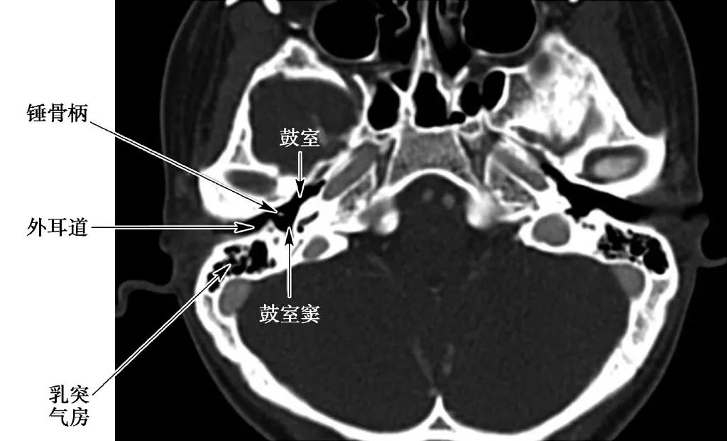
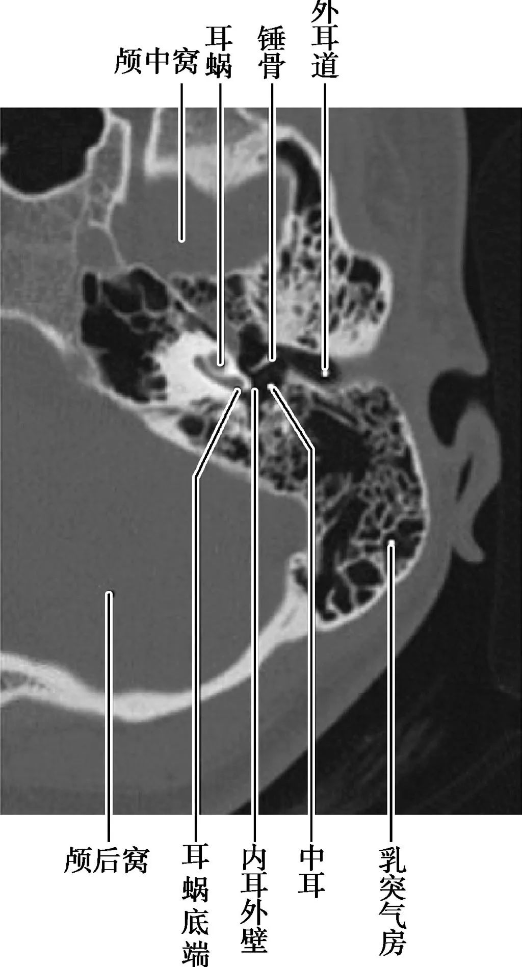
中耳结构
(CT横断面自下至上两个层面)


咽鼓管结构


A. CT;B. MRI
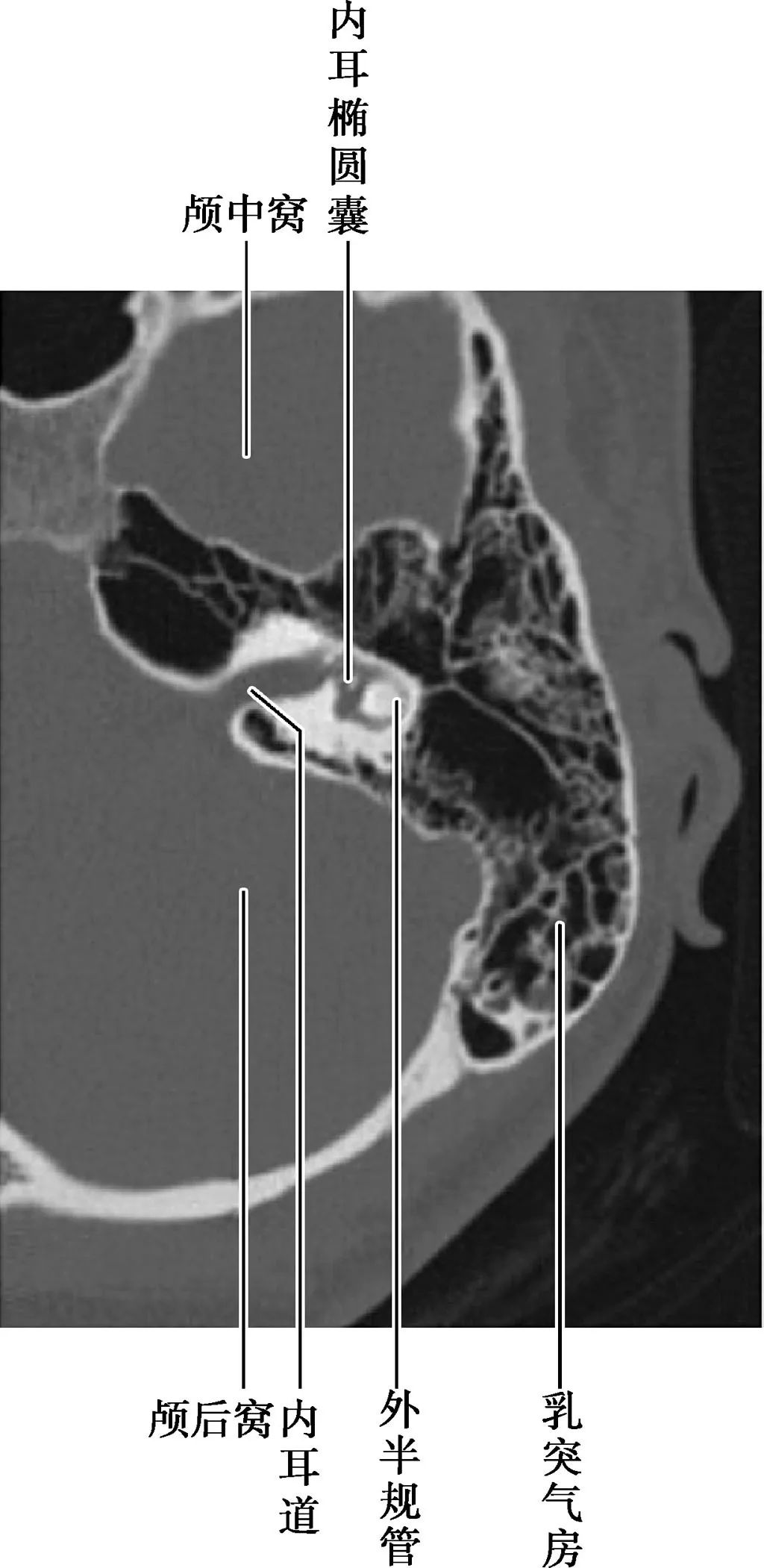
内耳

(CT横断面)



局部结构
(薄层CT)

(MRI横断面)
面神经迷路段

面神经鼓室段

面神经乳突段

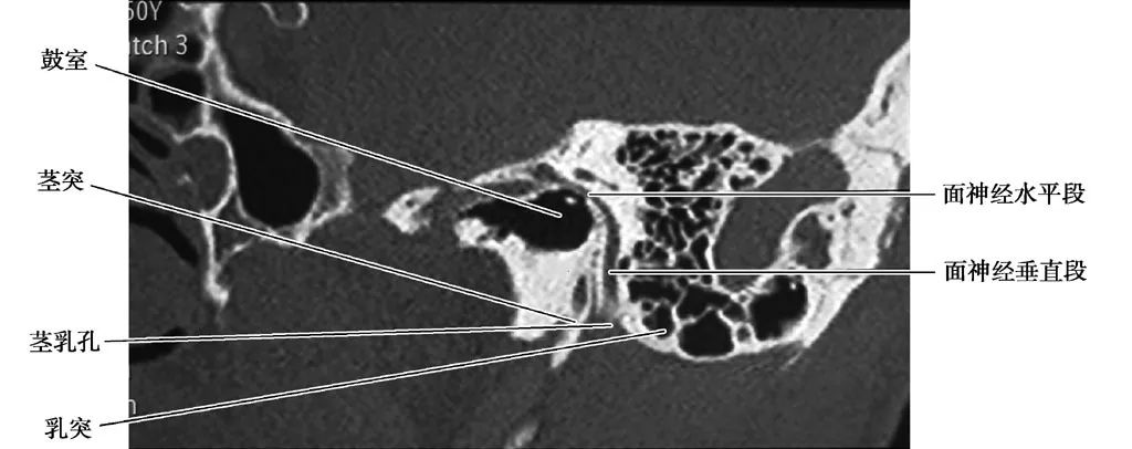
茎乳孔

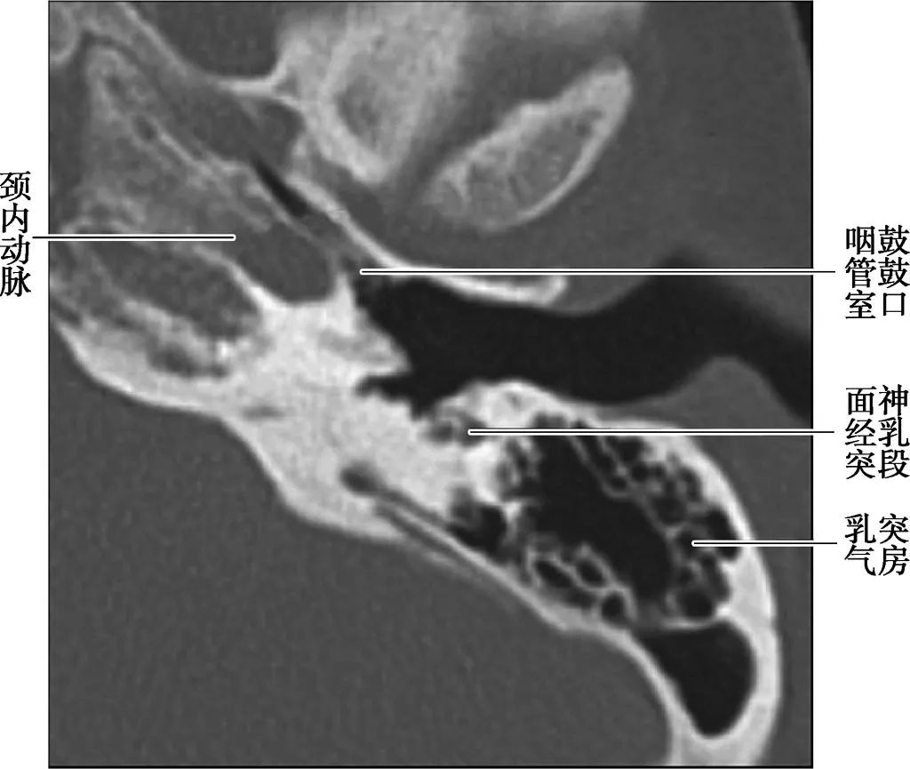
面神经水平段
(鼓室段)和垂直段(乳突段)(CT矢状面)

面神经垂直段
(MRI冠状面)

面神经乳突段及其周围结构
(CT横断面)

(CT冠状面)



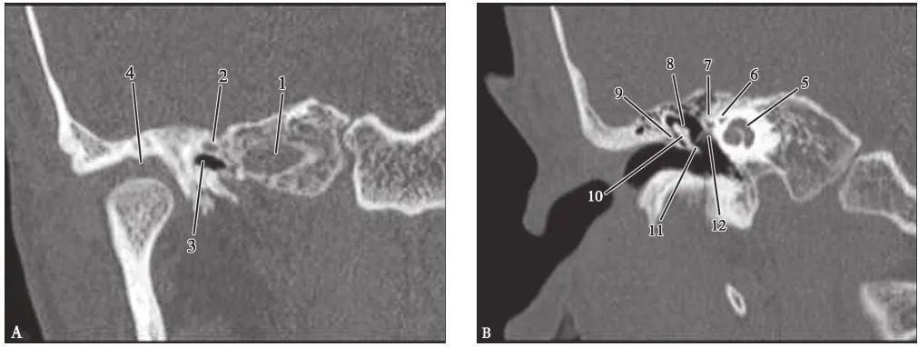
A.岩尖层面;B.耳蜗层面;C.前庭窗层面;D.蜗窗层面;E.总骨脚层面;F.面神经管乳突段层面1.颈动脉管;2.鼓膜张肌;3.咽鼓管;4.颞颌关节;5.耳蜗;6.面神经管迷路段;7.面神经管鼓室段;8.锤骨头;9.盾板;10.锤骨颈;11.锤骨柄;12.鼓膜张肌;13.内耳道;14.前庭;15.上骨半规管;16.外骨半规管;17.前庭窗;18.乳突窦入口;19.圆窗;20.耳蜗导水管;21.总骨脚;22.弓形下窝;23.颈静脉球;24.乙状窦;25.后骨半规管;26.面神经管乳突段
(CT矢状面)


A.耳蜗层面;B.前庭层面;C.面神经管乳突段层面1.颈静脉球;2.内耳道;3.耳蜗;4.前庭导水管;5.后骨半规管;6.总骨脚;7.上骨半规管;8.前庭;9.面神经管迷路段;10.鼓膜张肌;11.圆窗;12.外骨半规管;13.砧骨长脚;14.锤骨颈;15.面神经管乳突段
特殊后处理CT图像


A.面神经管MPR图像;B.鼓室CTVE图像;C.VR图像1.面神经管鼓室段;2.面神经管乳突段;3.锤骨柄;4.锤骨颈;5.砧骨长脚;6.砧骨;7.锤骨;8.半规管;9.耳蜗
转自ent时空,如有侵权有联系我删除