颈静脉球瘤(glomus jugular tumor)是一种原发于颈静脉球外膜的副神经节细胞的肿瘤,又称化学感受器瘤、副神经节细胞瘤。病理上该肿瘤为富血管性良性肿瘤,有包膜,表面光滑,略呈结节状或分叶状,易出血。临床上,颈静脉球瘤较少见,好发于30岁以上女性,男女之比为1:3。主要症状为单侧搏动性耳鸣、听力下降、耳漏、面瘫,肿瘤发展可破坏颈静脉孔,并由此入颅,向上生长到桥小脑角,也可向下长入颈部,出现颈静脉窝综合征,表现为第IX~XI对脑神经麻痹症状和体征。
影像学表现:
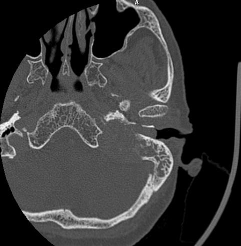
1.CT平扫呈等或略高密度,颈静脉孔扩大,邻近骨质破坏。肿瘤经颈静脉孔入颅生长时,可累及桥小脑角、中耳、脑干和第四脑室,肿瘤累及乙状窦并不少见;向颅外生长可进入颈部咽旁间隙。增强后扫描病灶呈均匀明显强化。
2.MRI MRI平扫T1WI呈等信号,T2WI呈高信号,肿瘤内可见曲线状、点状血管流空影;增强后扫描病灶明显强化,其内仍可见血管流空影。


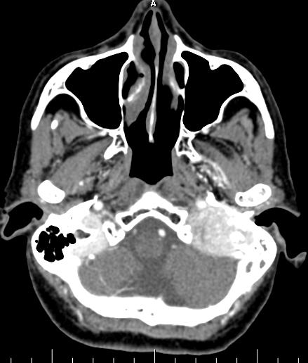
左颈静脉孔可见一个明显强化病灶,大小约为3.5 x 3.5 x 3.5 cm。病变导致颈静脉孔破坏和扩大。
在内侧,病变在后颅窝有颅内硬膜外延伸,使小脑皮质凹陷。
在外侧,病变延伸到中耳腔(上鼓室、中鼓室和下鼓室)和外耳道。砧骨长突、下半规管、耳蜗底回和面神经鼓室段外侧壁均有侵蚀。
病变浸润颈静脉球,并向近端颈静脉延伸。在后方,枕骨基底部和枕骨大孔的外侧被破坏。