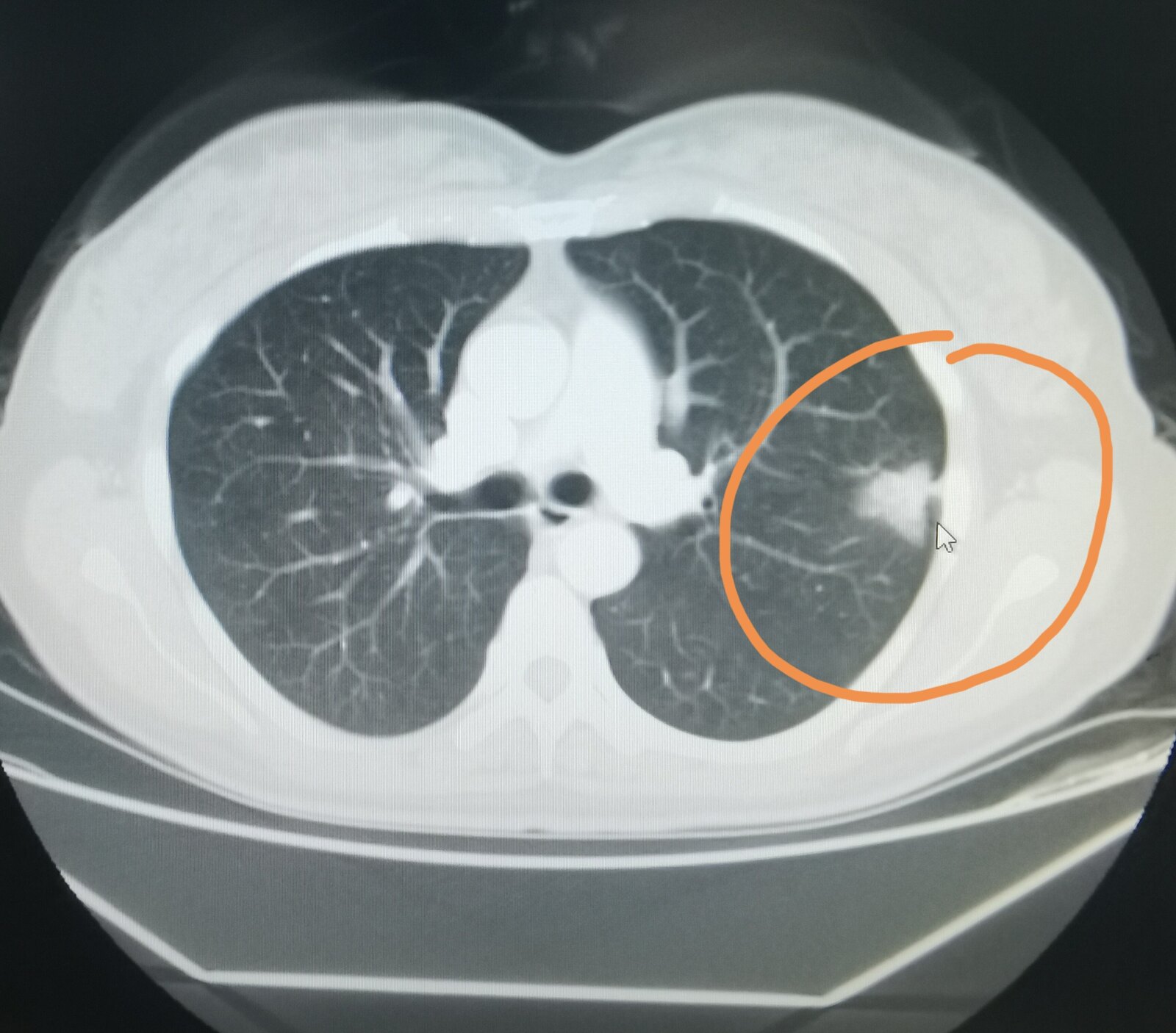
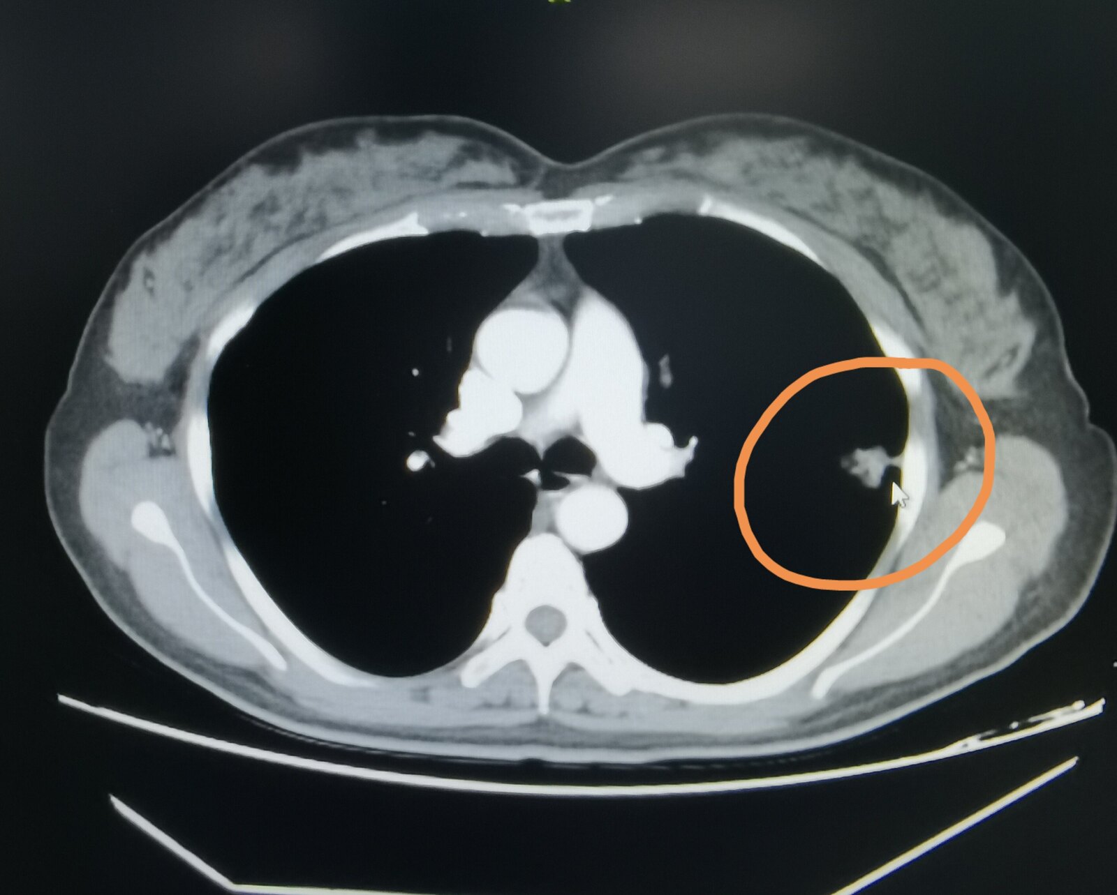
前段时间有一位45岁的女士在丈夫的陪伴下找我看病,她参加了学校组织的体检,刚开始做了一个胸片,胸片显示左肺有阴影,于是她到当地医院又拍了一个CT ,CT发现左上肺有一个结节。
我看到了她当地医院的片子,觉得这个病变首先考虑是肺癌,符合肺癌的CT影像学特征。我建议她住院,系统检查,如果没有禁忌症,这个病变应该手术切除。她回去商量好,给我留言,打算在我这里治疗。我给她安排好床位后,住了进来。经过系统检查,全身没有发现有转移,45岁身体状态肯定也是不错的,于是给她做了手术,手术病理就是显示是一个肺腺癌,其中支气管旁淋巴结有一个已经转移了。
这个女士之前也参加过单位体检,拍的都是胸片,没有发现肺部有问题,我也详细问了这位女士,她是教师,自己不抽烟也没有接触二手烟,也没有肺癌病史的亲人,这么看起来,她并不属于肺癌高危人群。 按照指南推荐,她不需要每年查胸部CT排查肺癌,但就是这样一个没有肺癌高危因素的人,恰恰得了肺癌。 她的病灶不是一两年内长起来的,我觉得要提前三、四年拍CT,就能看到当时比较小的磨玻璃结节, 只不过她之前的从来没有拍过CT而已。通过这个病例给大家一个提示,即便自己不属于肺癌高危人群,如果以前从来没有照过CT,我觉得还是拍个CT留个底儿好一点。 如果肺癌在磨玻璃阶段就把这东西切掉,那治疗效果肯定会很好,不会影响寿命。

图片描述

图片描述

图片描述