(声明:本文仅用于科普用途,为了保护患者隐私,以下内容里的相关信息已进行处理)
刚刚上班,科里就来了一位八十多岁的男性患者(科室同事的父亲),由家属扶入病房,表情痛苦,手里拿着一叠以前的检查报告单,“医生,赶紧帮我打消炎针,我的胆结石(40余年病史且有胆囊结石家族史)、胆囊炎又发了!”
一、初识患者
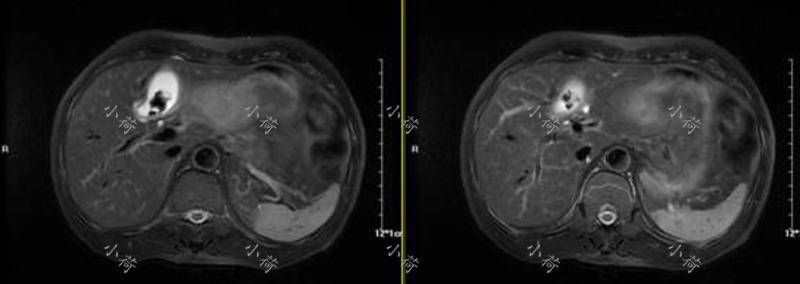
这是5个月前第一次见到患者时的情景,患者带着以前检查的结果,一再肯定地说自己胆囊炎发作了,让我们赶紧给他输抗生素治疗,患者2年前的腹部MRI示:胆囊内见多发不规则充盈缺损影,胆囊体积增大,肝内、外胆管未见扩张,其内未见充盈缺损影,余未见明确异常(图1)。肿瘤标志物结果回报:CA-199:1428.0 U/mL、AFP+CEA+CA153+CA125:均正常。CA-199如此之高,绝不是胆囊炎这么简单,看来要摊上大事了!

图1 腹部MRI提示胆囊多发结石、胆囊炎
二、患者的治疗过程
入院后,考虑患者CA19-9如此之高,我选择给患者行腹部CT检查,全腹部CT扫描结果显示:肝内多发稍低密度结节,胆囊壁不规则增厚,考虑胆囊癌并肝转移,建议增强扫描;胆囊结石;腹膜后占位伴周围淋巴结转移;胆总管小结石,胆总管扩张。考虑患者已经为肿瘤晚期,虽然身体素质较好,但年龄较大,我选择行吉西他滨单药化疗6周期,患者未见明显不良反应。
【科普知识点】CA19-9的临床意义
CA-199是一种低聚糖蛋白类肿瘤标记物,是胆胰系统恶性肿瘤中常用的血清学和组织学肿瘤标志物。作为肿瘤标记物,其诊断胰腺癌的敏感性为79%~81%,诊断胆囊癌的敏感性为50%~79%。但CA-199可受肝、胆、胰良性疾病的影响,在肝硬化腹水、胆道感染、胆道梗阻、胆石症、胰腺炎等患者中也有可能升高。
另外CA-199是血型抗原Lewis A的组成部分,有些肿瘤患者缺少这种基因,不表达CA19-9,因此血清CA-199可表现为假阴性。因此CA-199对胰腺癌及胆囊癌的诊断价值有限,大多数情况下主要依靠影像学检查进行诊断。影像学检查对胰腺癌及胆囊癌的诊断价值更大,是目前最有价值的临床诊断手段。

三、患者在治疗中注意事项
1.部分患者应用吉西他滨后会出现类流感样症状(发热、流鼻涕)。
2.患者下床活动或如厕时均需有人陪伴,以免摔伤。
3.应用吉西他滨容易引起血小板偏低,患者血小板低于100╳109/L时活动时应注意,防止碰伤。不能用力擤鼻子,如出现鼻出血等现象,及时通知医护人员。避免情绪激动,保持大便通畅,防止颅内出血。
4.病人呕吐时应坐起,以免将呕吐物吸入气管内发生危险。
5.输液期间不要随意调整输液速度,以免给病人造成不必要的损害。
.....
未完,见下篇
点击下方“了解更多”继续阅读该文章下篇
《小胆囊也能造成大危害——高龄胆囊癌患者的治疗经历(下)》
⇩⇩⇩