有些老年人一走路就会出现膝盖的剧烈疼痛,所以每走一步都会非常小心,慢慢地,会发现双腿变完了,甚至连地都下不了,可以用寸步难行来形容。这很可能是患上了严重的骨性关节炎。如何能让畸形的双腿行动自如?都说人老腿先老,老年人如何拥有健康的双腿,告别腿疼的困扰?
案例:
杜女士是一个热爱生活的人,退休后的她本来有一个完美的计划,那就是环游世界。可是她的梦想还没开始就破灭了。因为她的腿出现了问题。
自从杜女士退休后,她的两条腿也跟着*工罢**了,别说是上下楼梯,就连平时走路都比别人费好大劲。膝盖像被针扎一样,传来阵阵钻心的疼痛。于是她只能待在家里。杜女士本来以为少走路就能减轻疼痛,可是腿疼的情况并没有得到缓解,而是在一天天加重,最后甚至到了难以下地的程度。就这样她不得不来到医院寻求医生的帮助。当时接诊的医生为她做了初步的检查,发现她的腿已经变形,而且无法像正常人那样自由地弯曲,已经严重影响到了日常生活。为了对杜女士的病情有更直观的了解,医生建议她去拍个X线摄影,当检查结果出来之后,在场的医生们都为之一惊。
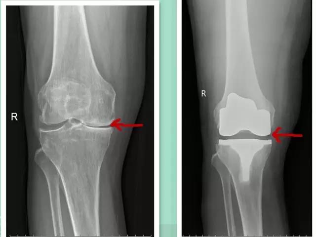
杜女士主要是膝关节内部产生大量的增生,内翻,而且伴脱位。这是老年热最常见的骨病,叫做骨性关节炎。很多人经常拖着不治,其实到医院做个X线摄影,即可确诊。
Q1:哪些人容易出现骨性关节炎?
第一,有没有过运动损伤?即过去运动时摔倒了没有,腿肿了没有,或者扭伤了没有。
第二,是不是从事经常走路或站立的职业。
第三,是不是体重超重,一般来说体重除以身高的平方,得出体重指数,若超过25,即为超重,若超过30属于肥胖。
第四,是不是女性,有没有骨质疏松。
第五,家里有没有骨性关节炎的患者。
第六,是否出现末节手指头鼓起来的情况。
符合其中一条,即为骨性关节炎的高危人群。
Q2:晚期骨性关节炎如何治疗?
晚期骨性关节炎患者可选择人工关节置换

膝关节置换手术,是在对患者实施全身麻醉的情况下,在膝盖处做一个切口,将髌骨切除,并且把股骨和胫骨上面的骨刺和粗糙的地方刮除,然后置入人工关节,用特殊的骨水泥将假关节套牢在骨头表面。术后患者经过几周的康复便能行动自如。
膝关节病要早治疗 莫要耽误到晚期
膝关节骨性关节炎是最容易发现的。第一,疼痛。当患者突然感觉到疼的时候,而且这个疼不是暂时的,而是反复出现,或者出现持续性疼痛,此时应去医院检查。第二,肿胀。患者膝关节原来正常,但现在肿起来。第三,功能受限。包括打弯、下蹲、上下楼受限,或者或者走路的距离变短。当患者发现有这三点变化时应尽早去找医生帮你诊断,切勿随意用药。
(陕中大附院 关节骨科)

陕西中医药大学附属医院关节骨科(骨三科)是以骨关节病为主要治疗、研究方向,集教、学、研为一体的国家级重点建设专科。尤其在髋、膝关节置换及关节镜手术方面达到较高的技术水平。并不断与国际前沿膝关节置换技术进行交流学习。