
文 | 华商韬略 王寒
中国有多少人因为缺牙,不敢张大嘴巴说话?
根据第四次全国口腔流行病学调查结果,65—74岁老人是缺牙重灾区,平均存留牙数为22.5颗,全口无牙的比例为4.5%。而令人惊讶的是,35—44岁的中青年,缺牙率也达到了36.4%。
他们的缺牙问题,往往与小时候家长的口腔健康意识淡薄有密切的联系。等到自己逐渐产生独立意识,牙齿问题早已错过人工干预的黄金时期,到了非弃不可的地步。
不仅不美观,牙槽骨随着缺牙时间延长不断萎缩,三、四十岁的年龄,情况竟和八十多岁的老人差不多。再想拥有一副好牙口,种植牙可能是最好的选择。
然而,面对各种品牌、各种设计、各种型号的种植体,没有专业知识的消费者很容易犯难,既担心做错决定,影响日后使用,又担心遇人不淑,花了冤枉钱。
事实上,种植体的选择只需认准一个标准——谁用起来更像自己的牙,谁的效果就更好。
人的牙齿由露在牙槽骨外的牙冠、长在牙槽骨内的牙根,以及连接两者的牙颈组成,而种植体基台充当的就是牙根和牙颈的角色。
所以,让种植体稳稳地“长”在牙槽骨上就是问题的关键。
1952年,毕业于瑞典隆德大学的Brånemark在实验中意外发现,骨和钛金属能发生结合。随后,他立刻开始投入研究,希望能将成果应用于人体。

现代口腔种植学之父Brånemark教授
通过刻苦的钻研,Brånemark不仅在这里获得了医学博士学位,还在34岁就成为了哥德堡大学的解剖学教授。
一次,他在领导团队进行骨髓腔内微血管血流状态研究时,首次提出使用高纯度的钛金属替代以往的黄金贵金属作为口腔植入体。而随后的动物实验也表明,动物骨组织与植入的纯钛种植体结合得异常牢固,形成了一个完美的整体。
基于实验结果,Brånemark教授创立了全新的“骨结合”理论,正是这一理论,奠定了现代口腔种植学的基础,而Brånemark教授也被誉为现代口腔种植学之父。
在他的影响下,目前市面上大多数种植体都是纯钛。世界领先的牙科方案解决公司登士柏西诺德还在此基础上,开发了Astra Tech生物管理综合系统,用氟化物修饰种植体表面,增加骨结合面积,持续维护骨结合环境。
该公司通过研究发现,种植体受力后压力峰值会集中在螺纹部分,开始使用颈部微螺纹代替宽大螺纹,减少对皮质骨的磨损,而更加细密的螺纹分布也带来了更强的稳定性。

研究表明,最好的微螺纹设计比例是宽螺纹的1/3
两者相结合,有利于实现种植体早期负重,对不便长时间缺牙的患者来说是一个福音。与此同时,登士柏西诺德在连接方式和结缔组织等方面,也力求达到自然牙的效果。
一般来说,牙冠与基台通常采用对接方式连接。由于无法避免内在缝隙的存在,人在咀嚼时,一些食物残渣或细菌很容易通过细口进入,污染种植牙内部环境,甚至还会引起口臭等问题。
Astra Tech则通过锥形连接,实现了无间隙封闭的连接。

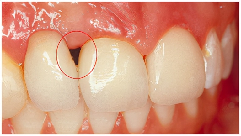
普通种植体在使用后周围骨逐渐发生吸收,导致牙肉缺乏支撑,形成难看的“黑三角”
与此同时,为了避免牙龈萎缩带来“黑三角”,Astra Tech的造型设计增加了软组织接触区面积和软组织量,既能能有效保护边缘骨,进一步增强稳定性,也更加美观。
可以说,整个Astra Tech生物管理综合系统的目标就是,在使用和观感上都要与自然牙别无二致。而不论是实验还是临床应用,都验证了它的优越性。
以平均骨吸收量(Average bone level reduction指较低应力下,骨组织体积和密度逐渐发生下降的生理现象)这一指标为例,数据表明,Astra Tech的平均骨吸收量为0.3mm,而行业标准为1.5mm。

值得一提的是,除了常规种植体外,登士柏西诺德还研发了一系列窄植体、宽植体、短植体,为骨量不足、缺牙空间太宽或太窄的患者,提供手术外的替代选择。
事实上,种植牙只是登士柏西诺德产品体系中的一环。
作为全球型牙科产品和服务供应商,多年以来,该公司持续为牙科专家、医疗机构等提供牙科技工产品、口腔综合治疗台、感控系统、治疗器械等产品,满足客户一站式的采购需求。
如此尖端而完备的产品能力,来自于登士柏西诺德超过百年的发展历史。2016年,两家于19世纪末成立的牙科巨头DENTSPLY International 和Sirona Dental Systems强强联合,通过整合技术、资源和产业链,实现定位升级,跃升为如今的全球专业牙科解决方案提供者。

其在全世界拥有 16,000 名员工,业务遍及全球 40 多个国家,产品行销 120 多个国家。
据了解,每年登士柏西诺德为超过 600000 名牙科专业人员提供产品和解决方案,为超过 6000000 名患者提供治疗。
对于这个全球牙科巨头来说,通过创造创新性的解决方案,帮助数以百万的客户绽放健康笑容,就是企业发展的最大愿景。
参考资料:
1、东方网《牙病患者呈年轻化趋势 中青年缺牙率增高》
2、中国网《卫生计生委就第四次全国口腔健康流行病学调查等情况举行发布会》
3、丁香园《种植牙之父:Brånemark 教授生平故事》
——END——
欢迎关注【华商韬略】,识风云人物,读韬略传奇。
版权所有,禁止私自转载!
部分图片来源于网络
如涉及侵权,请联系删除