随着正畸技术的发展,和人们生活水平的提高,牙齿的健康问题越来越多人重视起来。
如果没有良好的咬合和稳定的牙列,必定会给我们的牙周健康带来隐患。今天,我就一种较为常见的错颌畸形———反颌,来讲下正畸是如何改善我们的错颌畸形。

反颌是一种较为常见的错颌畸形。其通常伴有牙、颌、面结构在长度、宽度、高度三维方向的异常,使得这类患者治疗起来复杂,难度大。

其中反颌又分为三种类型,分别是:
1、牙性反颌:单纯性前牙反合,反覆盖较小,磨牙关系为中性或开始近中合。
2、功能性反颌:下颌功能性过度前伸和前牙反合,下颌大小和形态正常,下颌能后退至前牙切对切关系。
3、骨性反颌:前牙反合外,反覆盖大,磨牙为近中合,并有颌骨畸形,表现为下颌体长,下颌支短和下颌角钝,上颌发育不足,额部明显前突,下颌不能自行后退,面部呈凹面型,有时还伴有开颌畸形。也就是所谓的“地包天”,下门牙在上门牙的外面。
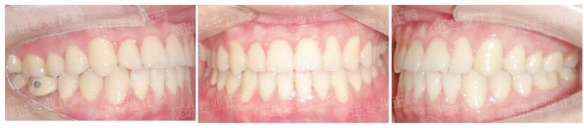
下面就我的患者一位患者详细说明下。
面诊检查后发现她前牙反颌,下颌散在间隙,牙列较为整齐,46可见冠修复。

考虑到患者是一名老师,平日需要讲课教书,对于美观性也有一定的需求,所以我为她设计的是不拔牙的隐形矫正。
上颌通过扩弓平整牙列并达到适当唇倾,同时下颌采用支抗钉,配合牙齿内收,需要做好前牙转矩的控制,精准控制牙齿移动的距离,以防出现控制不好导致上颌过度唇倾,影响面型,也不利于矫正后牙齿的稳定和健康。

矫正后,患者解除反颌,恢复正常咬合关系。达到功能性、美观性和稳定性统一的矫正目标。
我是蔡进医生,美国隐适美认证医生,华中科技大学口腔正畸学硕士,从事正畸临床工作14年,完成正畸病例千余例。