不作死就不会死,看看这些被人类搞进身体里的异物

现在社会上的好多人喜欢没事在自己的体内放一些什么东西玩,或者出现各种意外残留在体内,反正不管是什么,这里有各种X光下的异物盘点,大家看看可千万小心了

不作死就不会死看看你中了几条,不作死就不会死让人看的头皮发麻

这里面装的*品毒**

不作死就不会死看看你中了几条,不作死就不会死让人看的头皮发麻

这是儿童用的玻璃杯,也能塞里面

不作死就不会死看看你中了几条,不作死就不会死让人看的头皮发麻

一支圆珠笔,话说这么细会舒服么?

不作死就不会死看看你中了几条,不作死就不会死让人看的头皮发麻

恐怖分子走投入路的时候想要吞下*雷手**同归于尽,结果发现吞下去不能拉环了

不作死就不会死看看你中了几条,不作死就不会死让人看的头皮发麻

酒吧里面打架被人插得刀子

不作死就不会死看看你中了几条,不作死就不会死让人看的头皮发麻

*弹子**壳

不作死就不会死看看你中了几条,不作死就不会死让人看的头皮发麻

这个工人老说自己牙疼,检查后才发现这玩意儿

不作死就不会死看看你中了几条,不作死就不会死让人看的头皮发麻

自杀吞入了很多钉子,大夫也不用救了

不作死就不会死看看你中了几条,不作死就不会死让人看的头皮发麻

一只混在蛋糕里面的戒指被一起吃下去了

不作死就不会死看看你中了几条,不作死就不会死让人看的头皮发麻

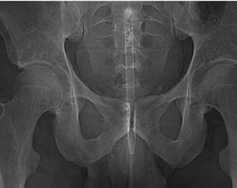
这玩意儿是自己插进去的

不作死就不会死看看你中了几条,不作死就不会死让人看的头皮发麻

又是打架时候干的,不过这人现在康复了

不作死就不会死看看你中了几条,不作死就不会死让人看的头皮发麻

这是剔牙时候掉进去的,还有这操作

不作死就不会死看看你中了几条,不作死就不会死让人看的头皮发麻

有时候大夫也会留下点什么东西在里面

不作死就不会死看看你中了几条,不作死就不会死让人看的头皮发麻

这是机器人在玩探险游戏吗?

不作死就不会死看看你中了几条,不作死就不会死让人看的头皮发麻

外国人体内的棒棒糖,真会玩

不作死就不会死看看你中了几条,不作死就不会死让人看的头皮发麻

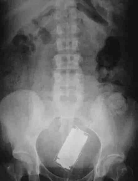
手机也可以塞进去

不作死就不会死看看你中了几条,不作死就不会死让人看的头皮发麻

手机不够了,录音带也可以

不作死就不会死看看你中了几条,不作死就不会死让人看的头皮发麻

吃个饭连假牙一起吞

不作死就不会死看看你中了几条,不作死就不会死让人看的头皮发麻

千万别把勺子放在地板上

不作死就不会死看看你中了几条,不作死就不会死让人看的头皮发麻

一把钥匙

不作死就不会死看看你中了几条,不作死就不会死让人看的头皮发麻

没有头的芭比娃娃探险记

不作死就不会死看看你中了几条,不作死就不会死让人看的头皮发麻

这是个吞别针自杀的

不作死就不会死看看你中了几条,不作死就不会死让人看的头皮发麻

这个刀片是混在面包里的

不作死就不会死看看你中了几条,不作死就不会死让人看的头皮发麻

一把搅拌器

不作死就不会死看看你中了几条,不作死就不会死让人看的头皮发麻

海绵宝宝?

本片及图片来源于网络,如有侵权请联系删除