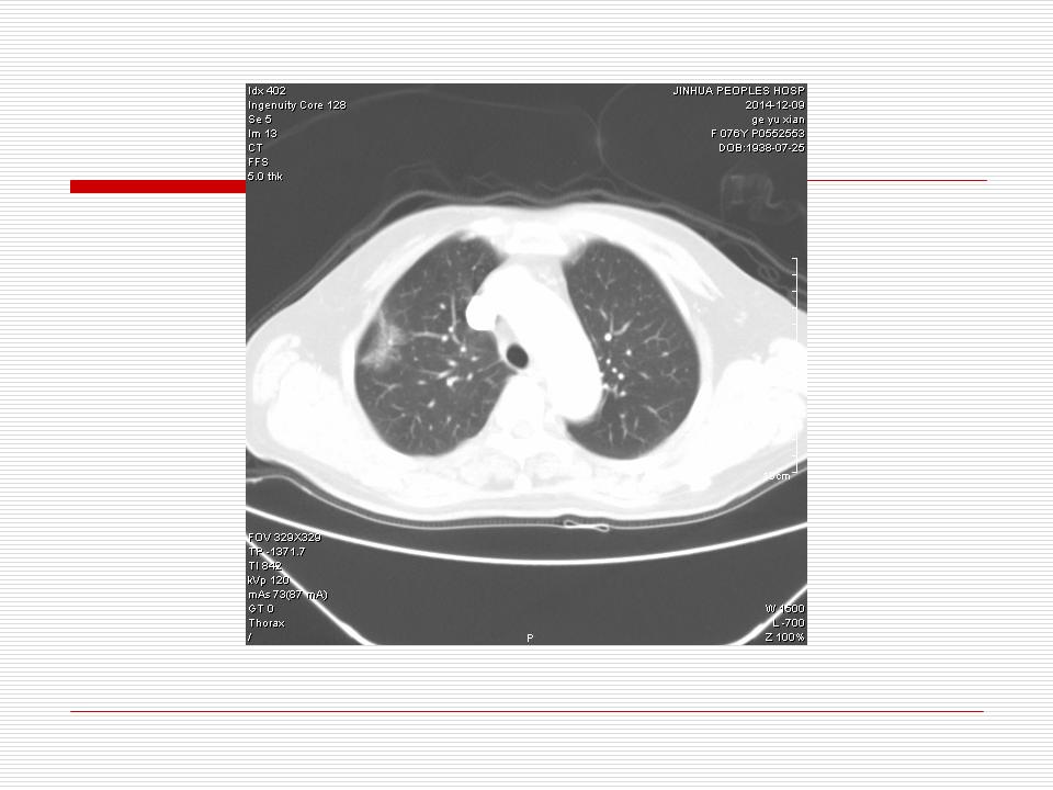
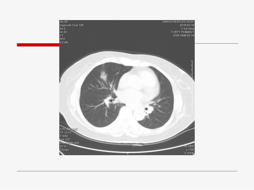
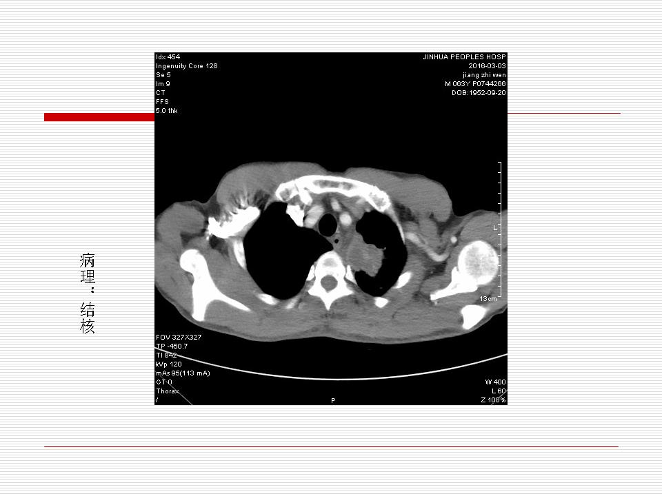
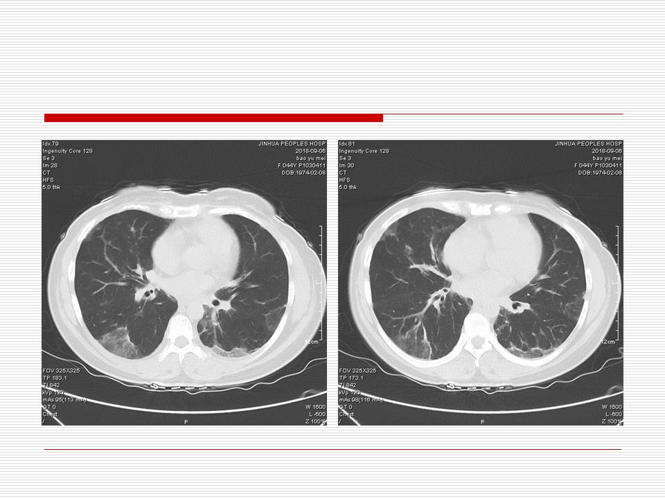
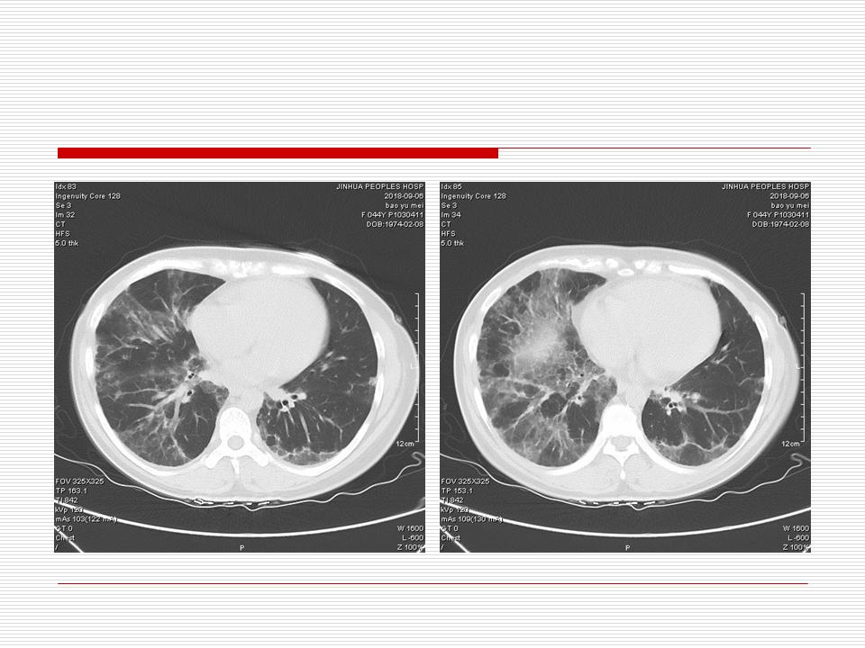
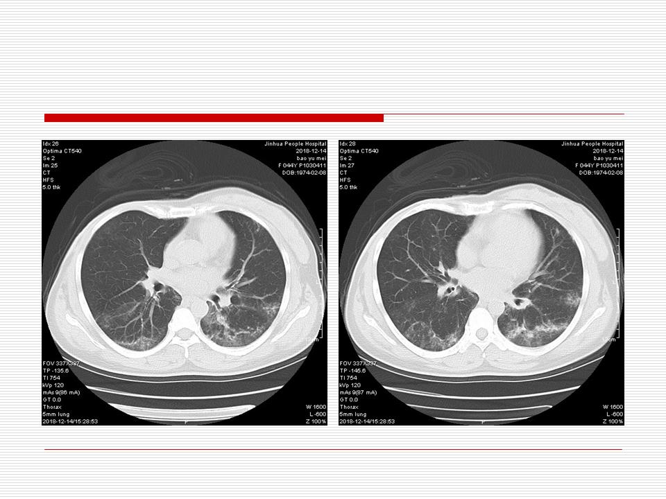
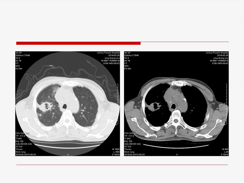
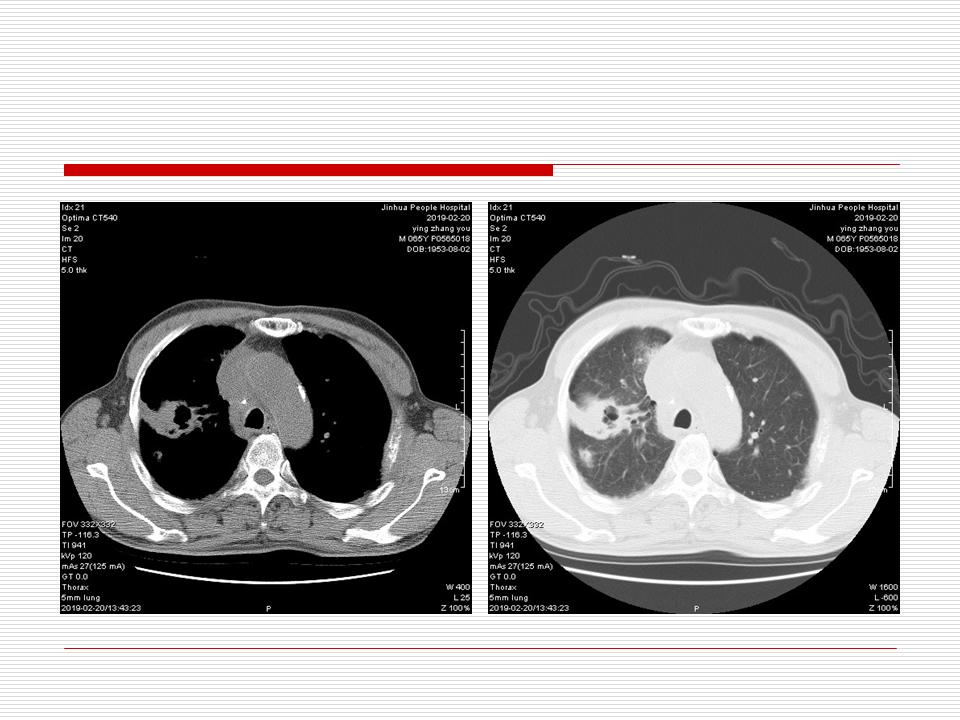
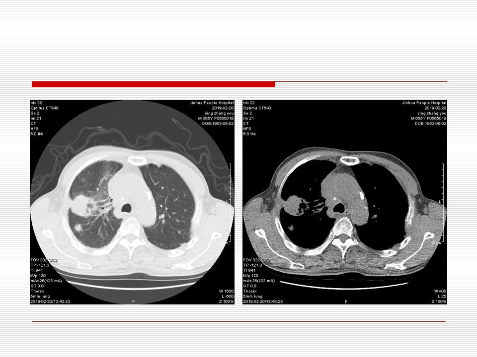
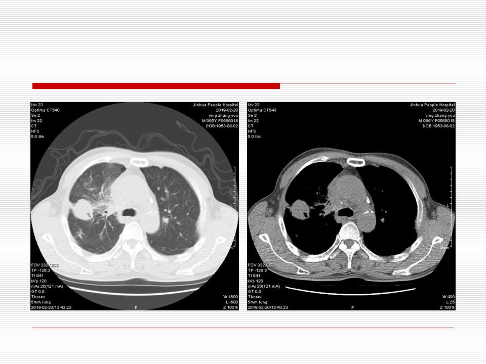
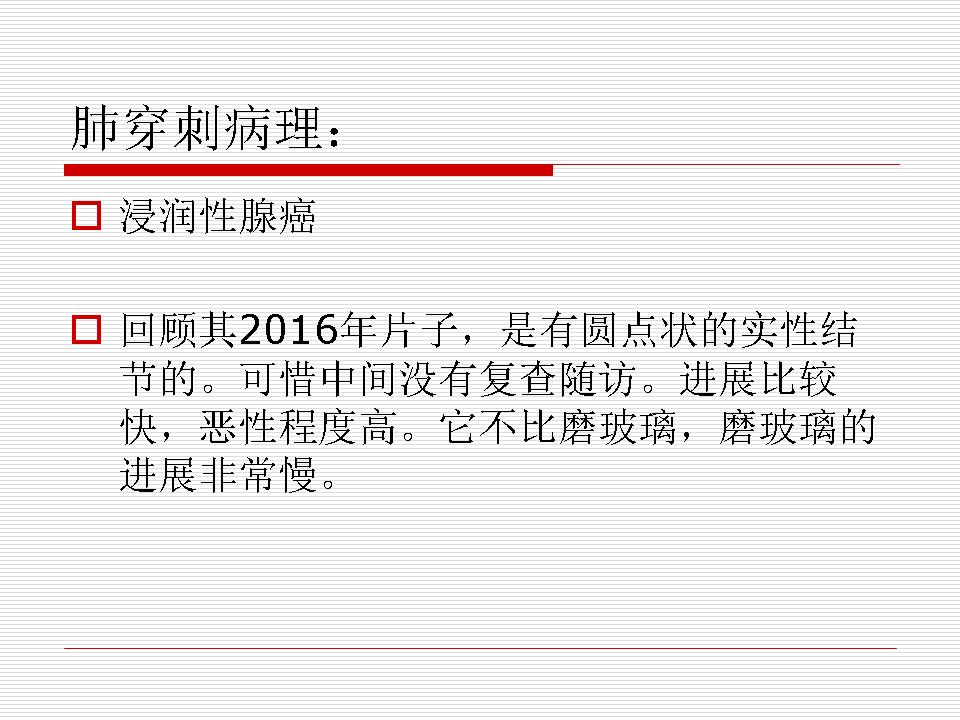
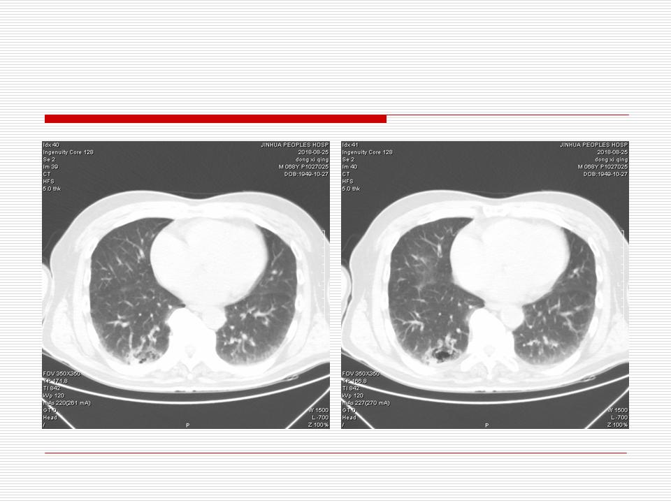
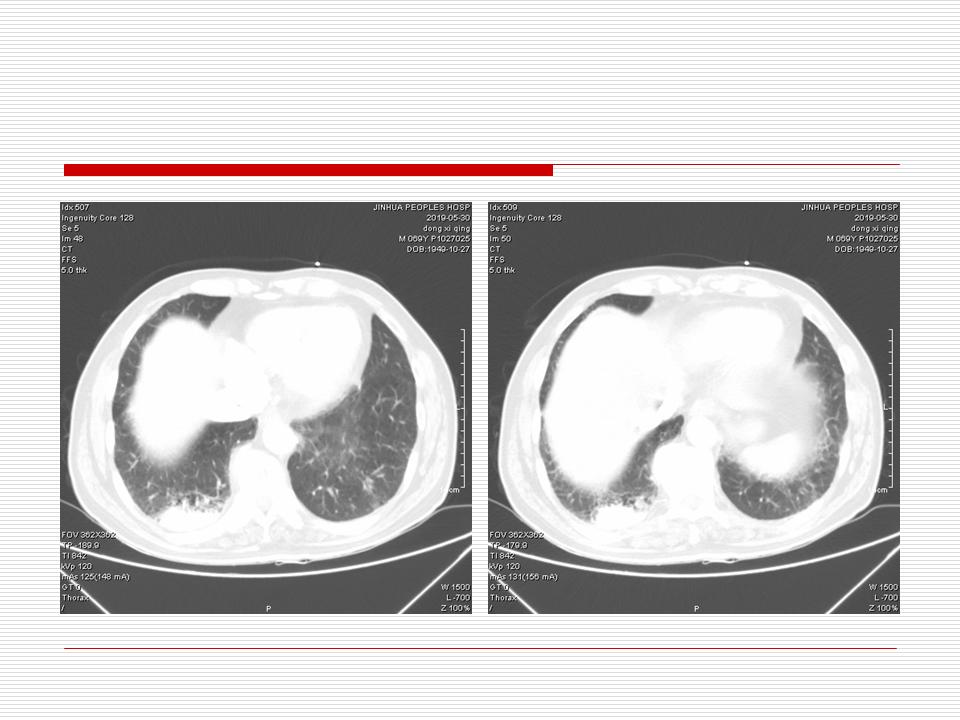
肺部阴影永恒且最重需要鉴别的是:到底是炎症还是肿瘤?但临床的病例中的影像表现难以界定或有些肿瘤特征,同时又有些炎症特点是非常常见的情况。作为临床医生我们怎么去总结分析,并找到之所以是炎症或之所以是肿瘤的细微差别或特点非常重要,也非常有用。2019.12.7浙江省2019年胸心外科学学术年会在宁波召开时,我的临床病例分析与经验总结<那些像肺癌的炎症与像炎症的肺癌>获得在大会交流的机会,以下为该PPT的内容,与你分享,希望对同道有益,有借鉴与启迪。若有探讨与进一不完善的建议,欢迎文末留言讨论:































































































肺部阴影永恒且最重需要鉴别的是:到底是炎症还是肿瘤?但临床的病例中的影像表现难以界定或有些肿瘤特征,同时又有些炎症特点是非常常见的情况。作为临床医生我们怎么去总结分析,并找到之所以是炎症或之所以是肿瘤的细微差别或特点非常重要,也非常有用。2019.12.7浙江省2019年胸心外科学学术年会在宁波召开时,我的临床病例分析与经验总结<那些像肺癌的炎症与像炎症的肺癌>获得在大会交流的机会,以下为该PPT的内容,与你分享,希望对同道有益,有借鉴与启迪。若有探讨与进一不完善的建议,欢迎文末留言讨论:






























































































