收到粉丝提问“#B超盆腔积液能查出来吗#”
可以的,而且能够测量出深度,大致反应积液的量的情况。

盆腔积液的原因有很多:
1、生理性的积液
如卵巢排卵后,会形成一些生理性积液,后期一般会自己吸收。

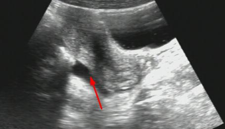
少量
2、宫外孕破裂、黄体破裂等引起的出血
这种情况一般比较凶险,需要到医院接受正规治疗,否则严重者将危及生命。
常见的症状有,有*生活性**后月经推迟,腹痛,有阴道流血或肛门坠胀感。如有以上症状,需立即到医院妇科就诊,这可能是宫外孕破裂出血。

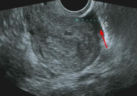
宫外孕破裂,大量积血
除了常见的宫外孕,还有黄体破裂,有的是剧烈运动后破裂,也有的是晚上同房太剧烈,导致黄体破裂,此时主要症状有剧烈腹痛,肛门坠胀感,阴道流血等。
如果发现你的另一半在*生活性**过程中剧烈腹痛,一定要千万重视,可能是黄体破裂,需要立即治疗,重则危及生命。

黄体破裂,盆腔大量积血
3、盆腔感染
盆腔感染也就是我们所定义的盆腔炎, 盆腔感染的具体表现分为急性盆腔炎与慢性盆腔炎两种, 在盆腔结业诊断的妇科疾病中较为常见。

除了以上原因外,还有许多,这里不一一介绍了,超声(B超)检查可以有效的检查出来盆腔积液。
如果有盆腔积液有不要慌,带上以前所有的检查资料,到妇科咨询。