大家应该都听到过身边亲人或者朋友对现在看牙价格的吐槽吧,在临床上,我就经常听到病人说:“怎么现在看个牙这么贵?”,“看不起牙了,牙疼就买点药吃吃吧!”,“现在的医生只顾着赚钱,补个牙材料能值多少钱?”,但作为一个在临床十几年的口腔科医生,今天还是要和大家来说说,看个牙疼价格几百到几千,到底是医生“坑”钱还是另有隐情?

(以下均是知识点!)
其实说真心话,不能盲目地怪看牙收费高,很多牙齿问题,都是可以提前避免的。怪谁?只能怪自己不够重视,爱"拖"!(说的可能就是屏幕前的你!)
今天来给大家说说,牙齿的小毛病,怎么就拖成花费上万的大问题的。
一、洗牙到底有必要吗?
关于到底有没有必要洗牙,到现在,我身边也还会有些朋友问我同样的问题,我的回答是:“我们强调每天早晚刷牙,这是最简单,也是最有效保护牙齿的手段之一。但我们知道,仅靠刷牙漱口,是很难完全清除食物残渣和软垢的,因为牙菌斑(一种肉眼看不见的细菌)会牢牢附着在牙齿上。”

(牙菌斑附着)
堆积的牙菌斑聚在一起,日积月累,就会形成牙结石,从而导致更严重的口腔问题。一张图来了解下牙结石伤害牙齿的过程:

(牙结石影响严重影响牙周健康)
(敲黑板!!!)牙菌斑和牙结石必须得靠洗牙洗干净,一般牙医会建议每年洗牙一到两次,每次也就一二百块钱,却能给口腔做个"大扫除",减少很多口腔疾病隐患。举个栗子,你每天用洗面奶洗脸,但还是要定期去角质,是一样的道理。

(洗牙爽歪歪)
另外,一般在洗牙开始前,医生会给你做个全面的口腔健康检查,及时发现口腔内一些隐蔽的龋齿、牙齿深层问题等,让你对口腔内的情况有个全面的了解,多好!

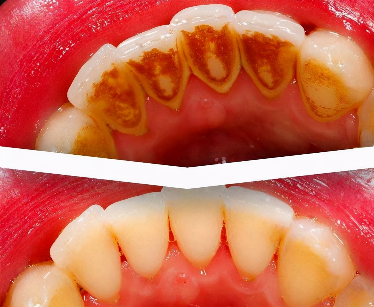
洗牙前后对比
但很多人听到医生说的口腔内情况,内心的OS其实是:“这个医生,肯定是想挣钱想疯了,我没来洗牙前,我牙不要太好,有问题,也是你给我洗坏了!”但我说句真心话,哪个牙医会靠洗牙赚钱?洗牙都是用的进口设备,前前后后成本也不低,收费又不贵,真心不是赚钱的项目。

这个锅医生不背
二、蛀牙,最省钱的办法就是早发现、早补牙
首先说明一点:蛀牙是一个漫长的过程,但由于牙齿没有修复能力,因此一旦有了蛀牙,蛀牙洞只会越来越大!(不要想着蛀牙会自愈!)

(浅龋、中龋、重龋)
蛀牙初期只是一个小洞,补一下几十到百来块钱,保护得好可以用几十年;但如果不补,细菌会将牙齿内部的牙神经蛀坏,到时候只能用治疗过程复杂的根管治疗,大概要花上千元,而且还得分几次来完成治疗,还受痛苦,最后怪牙医太黑心,这个锅医生不背!
蛀牙初期的小钱不花,等到牙齿千疮百孔才去看牙,这能怪谁?小洞不补,大洞吃苦,及时补牙,预防比治疗省钱。
所以说, 蛀牙最省钱治疗方式就是及时去看医生、补牙,没有任何其他办法!
三、什么情况下修复牙齿会花到几万元呢?
现在看牙真的不便宜,这一点我也这样认为。就目前而言,费用相对较贵的修复方式,就是种植牙 ,有些缺牙太多的,或者半口、全口缺牙的种植牙,真的需要半辆汽车的价格。

(种牙不便宜哟)
有些牙齿因为各种原因,比如蛀牙太深导致牙齿脱落,或是外伤导致牙齿保不住时,为了保护其他牙齿,医生会建议种牙。
因为一旦牙齿缺失,可能会造成牙槽骨萎缩、牙齿移位;更严重的,会导致牙周炎扩大造成连着几颗牙齿松动脱落,那个时候可就后悔莫及了。

各类牙齿缺失
种植牙相对比较美观、舒适,它最大的特点是可以媲美真牙,而且不会破坏邻牙。但缺点是价格相对贵一些,通常在万元以上。
讲到这里大家也明白了,看牙贵就是贵在"拖着不治"上。如果及早预防真的能帮你省掉很多*麻大**烦,也能省掉一笔不必要的开销。

最后总结一下:好好刷牙,每半年到一年洗牙、做个全面的口腔健康检查,花不了你多少时间,也花不了你多少钱,但是却能帮你省下,千元根管治疗、万元缺牙种植的费用,甚至是半辆车的钱,何乐而不为!大家争取把牙齿隐患扼杀在萌芽状态,就是最省钱的办法!
PS:如果你觉得我说得对,记得给我点个赞吧!