
和 妈 来 了
2020/8/23 Sun
焦点 | 育儿 | 片刻 | WeLive | 好物
酸奶不能盲目选择,为了宝宝的健康,有些事项一定要注意。
最近这段时间,负面新闻有点多,所以我就想着周末给大家写点有趣的事,但是一则新闻却让我收回了这个念头。
北京市场监督管理局在网上公布了一组不合格食品的抽检信息,其中,北京人耳熟能详的圣祥乳制品厂生产的一批“圣祥”无糖酸牛奶酵母和霉菌检验都不合格。

如果仅如此倒也不会改变我的想法,最关键的是,它的酵母检出值是国标的1.6倍,霉菌检出值更是超国标5665倍!

这哪是酸奶,这不就是个行走的细菌罐子吗!
虽然霉菌有些高的离谱,工作人员说可能和经销商的存放有关,但酵母菌的超标可是不争的事实。
酵母虽然并非有害菌,但超标会引起食物变质,食用酵母超标的食物可能会引起腹泻。

退一步说,大人抵抗力强,可能没什么问题,但现在父母都喜欢给孩子买酸奶喝,万一孩子喝了这种酸奶,后果可就无法预料了!
我不知道后续工作的进展怎样,但昨晚在查阅资料时发现,我们平时经常接触的酸奶,好像并没有我们想象的那么简单!

尤其是一想到宝儿还经常喜欢喝一些草莓味、芝士味的小酸奶,我就更坐不住了!赶忙打开电脑,开始深入了解酸奶的有关知识。
不查不知道,一查真是把我惊呆,原来酸奶还有这么多讲究!
知道朋友们也会经常给孩子和自己买酸奶喝,我就借着今天这篇文章,和大家好好唠唠酸奶里的那些小九九,给自己,也给朋友们提个醒!
宝宝多大可以喝酸奶
不怕朋友们笑话,我原本以为孩子刚出生就可以喝酸奶。
《美国儿科学会》中建议,一般6个月以上的宝宝可以在辅食中适当添加酸奶。

而我国居民膳食指南(2016)中建议,一岁以上的孩子可以食用酸奶。
不过据了解我国执行的酸奶标准还是几年前的,所以还是建议大家等宝宝一岁以后再给他们食用酸奶。
喝酸奶有啥好处
作为过来人,家长朋友们应该深有体会,宝宝在婴幼儿时期极容易拉肚子,而酸奶因为含有充足的乳酸菌,并且还有适宜的酸度,所以常喝可以抑制有害菌的侵害,提高宝宝抵抗力。

因此能够预防宝宝腹泻,减少宝宝急性腹泻的发病率。
而且酸奶中含有的半乳糖,是构成神经系统中脑磷脂类的成分,所以,常喝还有益于促进宝宝大脑发育。
不仅如此,酸奶在发酵的过程中还产生了大量营养物质,尤其是钙质和蛋白质以及各种维生素,这对于孩子来说是很好的营养补充。

并且,酸奶和人奶很相似,容易消化,特别适合于消化系统不成熟的幼儿。
既然酸奶这么好,那平时随便给孩子买他喜欢喝的酸奶不就好了?可千万别这么想,市面上成百上千的酸奶中,其实大约有80%都不建议给孩子选!
酸奶应该怎么选?
先给朋友们打个预防针,接下来的内容,一定要仔细看、收藏好,因为它和宝宝的健康直接挂钩!
以前我只知道照顾着宝儿的感受,根据她的喜好来给她买酸奶,现在了解了酸奶的“内幕”之后,我才发现竟然给她买了好几年的“假酸奶”!

下面这几种“假酸奶”以后千万不能给孩子买了!
1.乳酸菌饮料/饮品:
平时比较养生的朋友应该知道,食品配料表是按照成分多少顺序排列的,排名越靠前,证明含量越高。
而平时孩子们超爱喝的各种乳饮料,大多数的主要成分都是「水」和「糖」。

说难听点,孩子们就是喝了个“糖水”。
要知道,食品中额外添加的糖一般被称为“空白能量”,孩子喝多了,不仅没有好处,还会增加肥胖和龋齿的风险。
并且乳酸菌饮料的蛋白质含量一般只有1g/100g左右,远低于国家规定的酸奶中蛋白质含量要≥2.3g/100g的标准。

所以,这种乳酸菌饮料真的只能当“饮料”,以后为了孩子的健康,还是尽量远离的好。
2.风味发酵乳/酸乳:
在聊这个问题之前,我先给朋友们科普一下酸奶的分类。
根据我们国家的标准,酸奶一般分为四类:发酵乳、酸乳、风味发酵乳、风味酸乳。
如果某个产品上写的是“酸乳”和“发酵乳”,那么在生产过程中,他们只能用益生菌和乳原料或者乳粉,连水和糖都不能添加。

这类酸奶,通常保质期较短,价格较高。
孩子会根据自己喜欢的口味来选择酸奶,这种什么都不添加的酸奶,孩子一般不会喜欢。
而“风味酸奶”中加的“风味”二字,其实就是能让商家在酸奶的基础上增加酸奶颜值和口感的“许可证”。
生产商一般都会通过添加甜味剂、增稠剂等各种添加剂,来使酸奶的味道和口感更好,达到孩子喜欢的目的。

但我想说,连我们都不知道喝下去的究竟有什么,更不用说年幼的孩子了,所以带有各种防腐剂和添加剂的“风味酸奶”,尽量不要给孩子喝!
尤其注意下面这些添加剂:
甜味剂:带有“糖”“蜜”“甜”字的,比如阿斯巴甜、安赛蜜、糖精钠、糖精、甜蜜素等。
防腐剂:带有“苯甲酸、山梨酸、亚硫酸”字眼等。
增稠剂:带“胶”字眼的,比如阿拉伯胶、卡拉胶、果胶、琼胶、明胶等。
那什么酸奶才能放心的给孩子喝呢?其实说到底,其实还是要看成分表!
我们在选好酸奶的时候,直接跳过花哨的宣传,看成分表就好了,其中,只要满足下面这几点要求,一般酸奶就差不离了。
1.生牛乳/牛奶发酵:
首先一定要选择生牛乳或者鲜牛奶在成分表中排名第一的,这点没得商量。

最好选带「发酵乳」的,发酵乳是添加了更多类型菌种的酸奶,如植物乳杆菌、双歧杆菌等。这些菌种能更有效的调节胃肠道。
2.蛋白质要达标:
根据国标,酸奶的蛋白质含量要在2.3g/100g以上,所以看营养成分表里不达标的酸奶,朋友们可以直接pass掉。

3.选无/少糖的:
这里可以看营养成分表里“碳水化合物”一栏,虽然不完全等同于糖含量,但却有一定的参考价值。
前面也说了,宝宝摄入过多的糖,会增加龋齿和肥胖的风险,所以含糖量也是重中之重。
一般含糖较高的多数都会超过10g/100g,这样的尽量不要选。

除了碳水,我们还要看配料表中的糖,蔗糖、白砂糖、麦芽糖、半乳糖、乳糖、果葡糖浆、浓缩果汁、葡萄糖、蜂蜜等也算糖。
尽量给宝宝选无添加的,如果孩子实在不喜欢,加糖的也要选碳水在10g/100g以下的。
4.无添加剂:
这点不是硬性要求,但如果给低幼宝宝做辅食,还是选配料越简单的越好,最好什么添加剂都没有。

这样筛选下来的酸奶一般就没啥问题了,但朋友们先别着急松气,宝宝喝酸奶的时候有些事也要注意!
宝宝喝酸奶要注意什么:
1. 不要空腹/饭后立即喝
空腹时候喝酸奶,胃中ph较低,不适合乳酸菌等有益菌的生存,所以会让酸奶失去原有的营养价值和好处。

饭后2小时左右喝,效果最佳。
2. 最好别加热
加热不仅会破坏酸奶中大量的活性乳酸菌,还会使酸奶原有的风味消失,所以不建议朋友们给宝宝加热酸奶。

3. 不适合与抗生素一起同服
宝宝在使用一些抗生素药物的时候,最好不要给他们喝酸奶。并且有肠胃炎、先天性糖尿病、对酸奶过敏的宝宝,也不能喝酸奶。
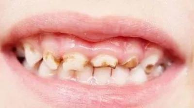
4.喝完要漱口
酸奶中有很多酸性物质,在口腔里长时间存在可能会腐蚀宝宝牙齿,造成龋齿,所以宝宝喝完酸奶,一定要让他们漱口。

有些比较喜欢动手的妈妈会在家自己给孩子做酸奶,这是很不错的尝试,但一定要做好密封保护,防止有害菌的侵染。
还有,刚开始给宝宝喝酸奶的时候,一定要循序渐进,注意观察宝宝的不良反应,慢慢增加食用量。
酸奶是宝宝辅食中很好的一种营养补充食物,还是建议大家多给孩子买酸奶喝,但也要注意控制宝宝的每日摄入量,酸奶虽好,可别让孩子“贪杯”,希望咱们你家的宝宝,都能健康快乐的长大~
今天的分享就先到这,朋友们觉得对自己有帮助别忘记点赞转发。
#今日话题讨论#
你平时都给孩子买酸奶喝吗?都买什么样的酸奶呢?
参考文献&内容来源:
[1]伟波.幼儿几岁喝酸奶比较适宜[J].家庭护士,2006(11):48.
[2].科学喝酸奶营养又健康[J].中国职工教育,2013(13):88.
[3].酸奶中的添加剂安全吗?[J].林业与生态,2017(09):30.
[4].中国市场监管报相关报道.
[5].《中国居民膳食指南》.
[6].嘉兰.选购酸奶的注意事项[J].中国质量技术监督,2010(01):69.
\ /