不想错过界哥的推送?
戳上方蓝字“医学界消化肝病频道”关注我们
并点击右上角“···”菜单,选择“设为星标”

炎性胰腺液体积聚是急慢性胰腺炎、胰腺创伤和胰腺外科手术引起的不良事件,那么如何处理才能取得更好的治疗效果呢?
文|Eason
来源|医学界消化肝病频道
内镜在胰腺液体积聚(PFCs)的处理中承担着越来越重要的角色,通过内镜对PFCs进行引流可以明显改善患者的临床症状,使患者受益。近期Clinical Gastroenterology and Hepatology(CGH)发表了一篇相关综述,我们一起学习一下。
将近一半的急性胰腺炎患者会出现PFCs
临床上,大约40%的急性胰腺炎患者会出现液体积聚,其中大部分是可以自行吸收的。但是在重度和/或坏死性胰腺炎的患者中,如果出现了大于5-6cm的急性液体积聚,那么就强烈提示这个液体积聚会持续存在,且需要进行干预。
根据修正的亚特兰大标准,PFCs可以根据内容物和囊壁的成熟程度进行分类,如果内容物为液体,那么在发病4周以内为胰周液体积聚,4周后囊壁成熟即为假性囊肿(PC);如果内容物为坏死物,那么发病4周内为急性坏死物积聚(ANC),4周后囊壁成熟即为包裹性坏死(WON)。
如何处理炎性胰腺液体积聚

图1 PFC内镜引流的一般流程(注:APFC:急性胰周液体积聚;ERCP:经内镜逆行胰胆管造影术;EUS:超声内镜;VARD: 视频辅助腹膜后入路清创术)
1. 处理时需要考虑三个方面的内容:是否有治疗的适应证,囊壁是否成熟,包裹内是否含有坏死物质。一般来讲,如果PFCs导致患者出现了不适或压迫了重要的组织结构(胆管、胃肠道或血管),那么就需要进行干预了。
2. 如果可能的话,起病4周内不应该给予处理,早期保守治疗失败的原因多数是因为反复的感染。
3. 在3-4周以后,由于液体积聚或坏死物积聚的已经形成完整的包裹,这层包裹已经成熟,而且一般会靠近胃或十二指肠壁。可以较为安全的进行穿刺、扩张以及内镜探查,这个时候内镜干预成功就可以避免进行经皮或者手术的引流。
影像学检查有何意义
内镜干预前进行影像学检查的目的在于确认:
-
1.积聚物是否已经完全包裹;
-
2.囊腔与胃肠道、周围血管的毗邻关系;
-
3.囊腔的大小以及内容物;
-
4.胰腺(管)是否仍然是连续的结构。
CT并不能很好的区分PC和WON,而MRI、EUS以及上腹部超声检查(在囊腔较大的情况下)对于WON诊断的准确性是较高的。
内镜引流的方式:经乳头引流
部分患者的囊腔与胰管是相通的,这部分患者可以经乳头放置一根胰管支架对囊液进行引流。一般来讲,<5cm的PC是适合经乳头引流的。不过应注意的是,一些囊腔在囊壁成熟后便不再与胰管相通。
内镜引流的方式:跨壁引流
观察性研究结果表明PC患者经内镜跨壁引流可以在85%-100%的患者中达到持续缓解的目的,与手术相比,临床效果更好、更安全,也可以更合理的利用医疗资源。指南中推荐,解剖结构允许的情况下(理想情况下为囊壁与消化道距离<1cm),经内镜引流是有症状PC患者的一线治疗方案。另外,结合EUS可以避免损伤重要的血管和组织结构,使操作更加安全。
现有的研究结果表明,WON的内镜治疗是安全、有效的。 但是与PC的内镜治疗相比,WON的治疗更为复杂,需要更长的时间,成功率更低,并发症更多。因此内镜下坏死物清除术(EN)常被作为不适合手术患者的备选方案。另外,如果患者在EN后临床症状仍持续不改善或出现了危及生命的并发症时,应考虑进行手术治疗。
跨壁引流操作中的技术
操作一般为细针穿刺抽吸、置入导丝、扩张、放置支架,操作过程中保持镜身的稳定是十分重要的。引流操作过程中一般需要对造瘘口进行扩张(图2),以允许放置支架或通过镜身。扩张至4-8mm可以进行塑料支架和金属支架的置入,扩张至15mm可以允许通过9mm的胃镜,如果计划进行治疗性操作(如EN),那么需要扩张至18-20mm。

图2 扩张造瘘口
EN操作中的四个技术要点
1. 目前关于是否在第一次进行跨壁引流时即进行EN是有争议的,美国的指南推荐仅在跨壁引流治疗失败的情况下可采用EN。
2. EN中使用的辅助器械包括:异物钳、圈套器、回收网篮、碎石网篮等。尽管在异物钳在狭小的操作空间内操作有一定的优势,但是与异物钳相比,圈套器的优势在于操作中对WON囊壁造成的损伤将更小,另外在确定圈套器没有靠近囊壁、血管、胰腺的情况下,可以方便的对大块坏死组织进行通电切割。
3. EN中辅助坏死物清除的化学物质:过氧化氢。将3%过氧化氢按照1:5-1:20稀释,之后进行灌洗可能是有效的,不过由于缺乏对比数据,而且理论上有出血和栓塞的风险,所以没有广泛推行。另外,以摘要形式发表的文献指出:在这部分患者中可以考虑停用抑酸药,这样的话可以让胃酸溶解坏死物。
4. 持续灌洗可以将囊内的液体和坏死物质引流出来,或许有利于病情的改善,但这项操作的缺点是需要放置多根引流管,增加了患者的不适感,也增加了置管和造口的相关不良事件的发生。
选择支架要综合考虑各种因素
近期更倾向于使用金属全覆膜支架(fcSMES,图3)而并非多支塑料支架。fcSEMS的主要优势在于内径大,可以减少支架堵塞和继发感染的风险。但是应该同时权衡支架移位、患者出血的风险以及金属支架的费用问题。

图3 金属全覆膜支架
双蘑菇头支架(LAMS)是近年一项重要的发明,它的优势一方面在于操作步骤更为简单,LAMS头端具有电切装置,通电后刺进囊腔,之后直接进行支架的释放,这使得内镜操作更为有效,或许更加安全(更少的步骤意味着更少不良事件的发生)。另一方面的优势在于LAMS有足够宽的内径以允许镜身通过,有利于EN的进行。不过由于LAMS缺乏高质量的研究,而且费用较为昂贵,所以推广仍然是有难度的。
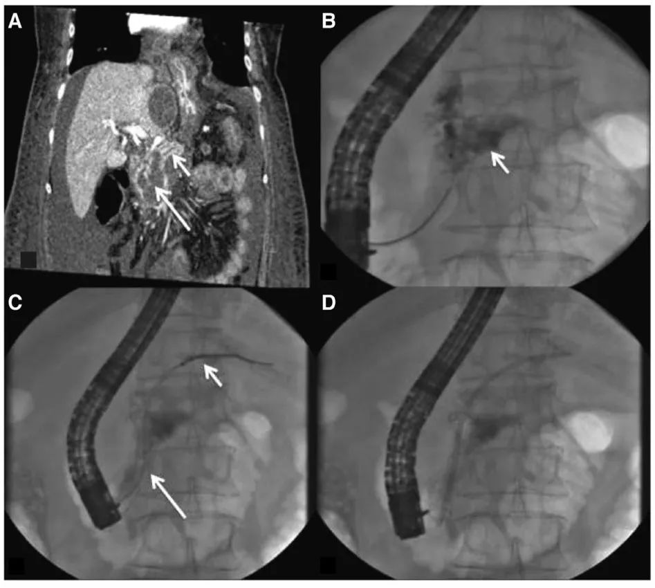
胰管断裂了怎么办
胰管断裂可见于30%-50%的WON患者,除非有一个长期的处理方式,否则断端的上游腺体不断的分泌胰液,从而导致PFC的复发及相关临床症状,比如腹痛或复发性胰腺炎,传统的治疗方式是通过手术将断端胰腺切除,但是手术的风险高,且胰腺部分切除可导致糖尿病。
除了传统的手术方式,现在值得尝试的一种方式为经乳头放置胰管支架,使用支架对两个断端进行“桥接”(图6),另一种方式为跨壁引流,具体的做法是放置双猪尾支架,将囊液引流至胃肠道,但是支持这些做法的相关研究质量并不高。

图6 经乳头放置胰管支架
内镜引流相关并发症
内镜引流相关并发症在PC患者中占5%-20%,在WON患者中占10%-40%。包括:感染、出血、穿孔以及胰腺炎。
囊内感染通常是由于引流不充分所致,继发感染或原有感染加重可以通过再次内镜干预进行处理,增加支架的数量或内径,或者在原有LAMS中放置猪尾支架都是预防感染复发的合理处理方式。
出血的发生率可达20%,尤其在使用LAMS的患者中更为常见,因为放置支架可以导致动脉的损伤。大出血的患者可以行CT动脉造影以明确诊断,若诊断为假性动脉瘤,则可考虑采用血管栓塞术进行治疗。出血也可以发生于跨壁腔道或囊腔内/附近的静脉,这种情况下的出血一般是自限性的,可考虑镜下处理,但是也应警惕来源于脾静脉、门静脉等重要静脉的出血,这些出血可以是致命性的。
目前并没有静脉出血的处理流程,持续静滴奥曲肽以及急诊手术封闭囊腔对于治疗是有帮助的。对于操作中出现的大出血,可以使用大球囊对造口进行封堵,之后迅速将患者转移至介入中心或手术室。
征 稿
欢迎投稿到小编邮箱:xh@yxj.org.cn
请注明:【投稿】医院+科室+姓名
来稿以word文档形式,其他不予考虑
小编微信:329365819
想快速读懂肝脏CT吗?
机会来了!
肝脏CT诊断系列课程
让你一秒读懂不再难!
还可加入老师交流学习群!
限时优惠,扫码观看
↓↓↓↓