当孩子的乳前牙出现大面积龋坏时,由于固位力差以及外力的作用,用常规的树脂充填脱落率较高,往往需要反复就诊、反复修补,这让家长和齿科医生感到困扰。

直到1979年,Webber医生及其同事提出了一种新的修复方式,即使用透明冠与复合树脂进行修复,使上述难题得到了较好的解决。该技术逐步发展为今天的透明树脂冠。
所谓“透明冠”,是根据每颗乳牙的解剖形态,用一种叫做 “赛璐珞”的材料预先制作好的乳牙“模子”。

图1:透明冠图片
使用这个“模子”修复乳前牙,具有非常多的优势。
其一,透明冠的质地软硬适中,每一颗乳牙都设计有不同的大小,且边缘可修剪,从而适应不同的牙冠形态及牙冠高度。就好比试衣服,款式已经设计好,只需要考虑码数即可。
其二,透明冠本身不会与充填用的树脂材料发生粘接,待充填材料固化后,可完整地将透明冠剥离。
其三,透明冠内部非常光滑,充填后的牙齿表面光洁美观,不需要过多地修整。

图2:透明冠修复流程
其四,由于透明冠呈360度包绕牙冠,补牙材料和牙齿表面之间的粘接面积更大,固位更好,治疗的远期脱落率降低。
其五,从操作流程上来说,一方面,透明冠已经预成了乳前牙外形,临床操作时不需要医生进行堆塑造型;另一方面,充填材料固化后表面光滑,省去抛光操作。这些特点极大地缩短了孩子的就诊时间。

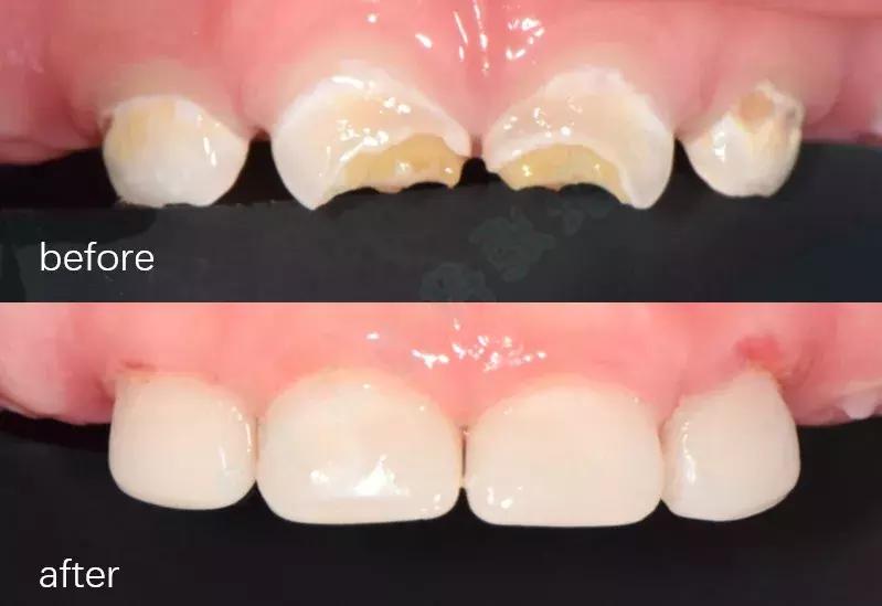
图3:透明冠修复前后对比图
透明冠修复完成后,让原本的“小黑牙”重新变成了“奶油牙”,但是每天坚持早晚刷牙、用牙线仍然是必须的。此外,为了让新的“奶油牙”更长久的为孩子们服务,记得不要用它们咬太硬的食物哦!