
有的人定期洗牙 有的人定期洗牙,有的人听说洗牙很痛苦,有的人洗过一次感觉不舒服就不再洗了。后两种人对洗牙都没有足够的正确认识。
第一次洗牙可能会感到痛苦,因为把牙结石去除后,牙根会暴露出来,会有冷热不适感,但所有这些不是洗牙的错,只是洗牙把本来存在的问题暴露出来。如果牙龈健康,定期维护,洗牙就不会有痛苦。

洗牙是维持牙周组织健康、预防牙周疾病发生或者复发的重要措施。简单的理解就是让专业牙医使用专业的器械帮助你刷牙。洗牙可以清除牙齿表面着色,帮助牙齿恢复正常光泽及颜色,去除刷牙等其他家庭口腔保健措施不能去除的牙菌斑、牙结石、预防牙病。
事业有成的张先生去一家颇有权威的口腔医院洗了牙,发现洗完牙以后除了牙石没有了以外,并没有想象得那样让牙齿变白多少。像张先生这种情况属于长期抽烟导致的色素沉积,要想美白牙齿单单靠洗牙是不行的。 一般半年到一年时间去洗牙一次,是保证牙齿干净的好习惯。
注意!洗牙和牙齿美白不是一回事
洗牙的目的主要是清洁,可以清除牙齿表面的咖啡渍、茶渍和烟渍以及日积月累的牙结石,所以看起来会更洁白。 但是有很多人以为,只要去专业的口腔医院洗完牙,牙齿就一定能美白。
实际上,对于生于上世纪七八十年代的美牙主体人群来说,洗牙无法改善牙齿内部的色素沉着,比如四环素牙、氟斑牙等。如果想要美白牙齿,应该进行牙齿美白,一般来讲,漂白和冷光美白能让牙齿维持1-2年时间的美白效果。漂白剂美白方法通过双氧水与牙齿的作用达到漂白牙齿的效果,这种方法收效快,费用适中。

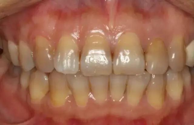
疾病解析:四环素牙
所以,如果你的黄褐色牙齿只是因为浓厚的牙石覆盖在牙齿表面造成的,那么定期采用洗牙的方法清洁牙齿并养成良好的生活习惯就是美白牙齿的--途径。比如少喝茶、咖啡、红酒等深色饮料,饭后勤漱口,特别是要戒烟。 尽量少喝苏打水和运动饮料,因为其对牙齿珐琅质的损害程度大大超过可乐,危害分别是后者的3倍和11倍。如果一定要喝,为了减少饮料与牙齿接触的时间,要尽量快喝,而不要小口抿,或者用吸管也行。
再说一点,不正规洗牙的危害:不彻底,只清除看得见的牙结石,但留下致病作用最强的深层牙结石,达不到防治牙周病的目的;造成牙面损伤,不仅使你疼痛难忍,还会加重牙周病的病情;造成交叉感染,带来不应有的伤害。