豪大夫前几天参与会诊了一个病人,老年男性,抽烟30年,戒烟10年,查出右肺肿块,今天病理结果出来,确诊是肺鳞癌,下面分享一下。
很多人说抽烟跟肺癌无关,抽烟的人不要轻易戒烟,否则更容易出问题。
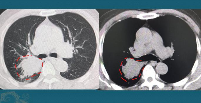
我们先不争论这些,看看这个病人的CT片:

右侧肺门区一个不规则肿块,最大径线4.6cm,远侧肺组织里有一些小点片状炎症,这是由于肿瘤堵塞气道,引起的阻塞性肺炎。
这个肿瘤经胸外科主任会诊,已经失去手术机会。经支气管镜病理确诊为非角化型肺鳞癌。
肺鳞癌从早期到长到4.6cm的晚期,需要多久呢?
肺鳞癌起源于气道黏膜上皮,大约占所有肺癌的30%,分中央型和周围型,中央型大约占2/3,患者发病年龄多>50岁,男性远远多于女性,与吸烟关系密切。
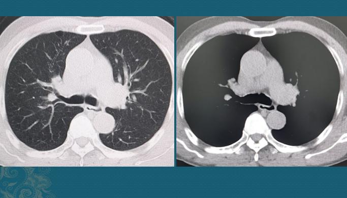
从生长速度上看,肺鳞癌通常比腺癌更快,破坏力更大(某些低分化腺癌也很快)。我们搜索这位病人既往的检查资料,发现他2年前因为感冒、咳嗽、发热做过一次胸部CT,当时的支气管和肺脏是完全正常的:

就是说,这个4.6cm的肿块是在不到两年的时间里长出来的,速度相当快!
所以有肺癌高危因素的人群,最好每年体检一次,增大安全系数。
肺癌的高危人群范围
年龄≥40岁,且具有以下任一危险因素者,应视为肺癌高危人群(来自《肺结节诊治中国专家共识2018版》):
1.吸烟≥20包/年(或者400支/年),或者曾经吸烟≥20包/年(或者400支/年),戒烟时间<15年;
2.环境或高危职业暴露史(如石棉、铍、铀、氡等接触者);
3.慢阻肺患者、弥漫性肺纤维化或者既往有肺结核病史者;
4.既往曾经患过恶性肿瘤或者有肺癌家族史者。
第一条的20包/年解释一下,不是每年抽烟>20包,而是每天抽烟的包数×烟龄,比如每天2包,烟龄10年,就是20包/年。

不能手术的肺鳞癌,要怎样治疗?
肿瘤医学发展到现在,对晚期肺癌的治疗手段是很多的,比如靶向治疗、免疫治疗、微创治疗(消融治疗和放射性粒子植入等),还有传统的放化疗等。要诊断不同的病理类型、分期、发生部位、基因检测结果等选取敏感治疗方式。有些方式并不贵,可以酌情选择量力而行,能延长寿命也是好的。
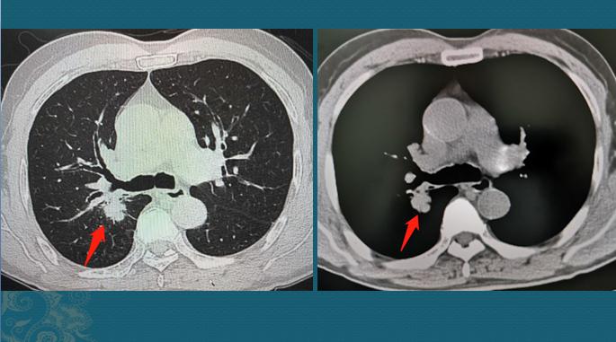
这位病人后来做了4个周期化疗(吉西他滨+奈他铂),效果非常好,在第三周期化疗后做了一次CT复查,肿瘤显著缩小:

事实上,晚期肺癌经过综合治疗,生存5年以上的病人越来越多了,并且能保证很好的生活质量。无论选择哪种治疗方式,都可以向主治医生咨询大致的费用,预期可能达到的效果等,量力而行。在能力允许的前提下,既避免人财两空,也不轻易放手,毕竟家人的生命只有一次。
豪大夫在科普过程中也发现,很多肿瘤病人建立了各种肿瘤微信群,大家互帮互助,交流各种治疗经验,很多人都变得非常专业!这对医生也是很好的激励,大家的战略目标是一致的,一点一点进步,终究会有彻底攻克癌症的那一天!到那时,全球同庆!

我是影像科豪大夫,分享小病例,传递正能量。
#湖南医聊超能团# #健康科普排位赛#