金华的陈某,今年72岁,前段时间因为进食梗噎感到金华市人民医院消化内科就诊,医生收住入院后予以胃镜,发现为贲门部占位性病变,胃镜报告:食管下段距门齿38厘米处贲门右侧后壁可见3.0厘米粘膜隆起,表面高低不平,溃疡形成,覆盖白苔,质脆,活检易出血。诊断贲门MT。予以活检后病理证实为贲门癌,是低分化腺癌伴部分神经内分泌癌。
接下来该如何治疗?是不是能手术? 手术该怎么做?
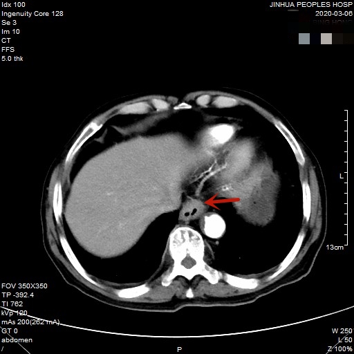
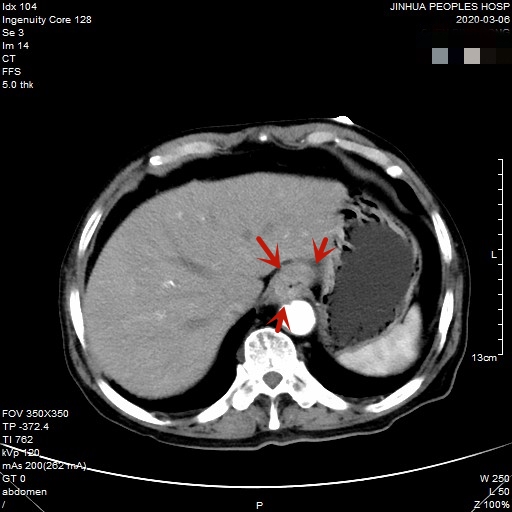
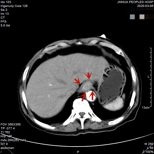
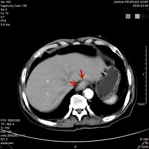
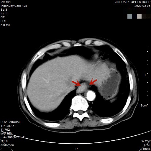
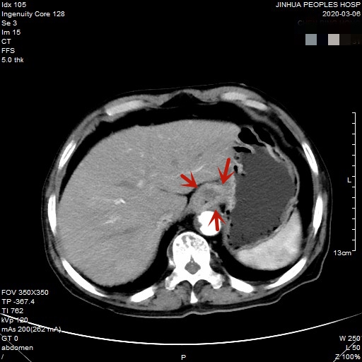
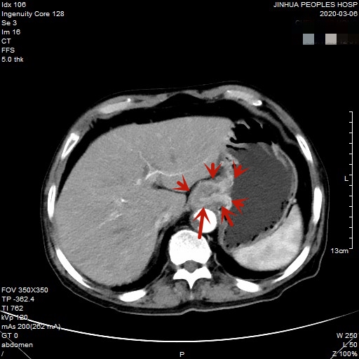
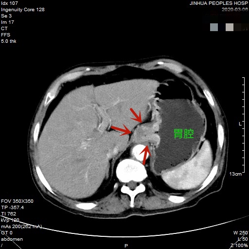
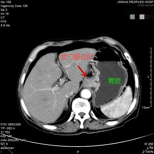
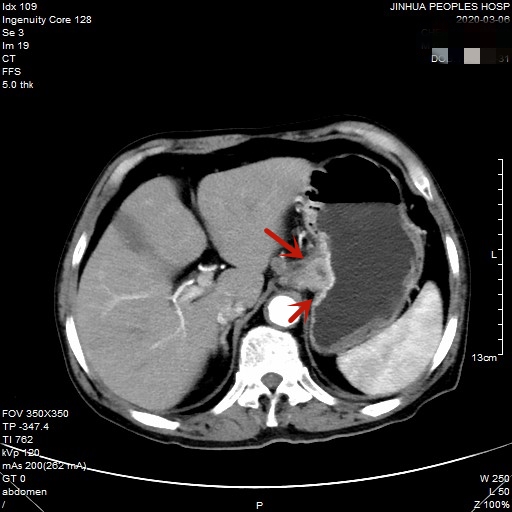
医生予以进一步检查CT增强发现肿瘤倒是没有明显侵犯周围脏器或结构,请我去会诊后,仔细阅片,发现从影像上看还是能够根治性切除的。所以转来胸外科拟进一步行手术治疗。下面是其CT增强的图像:











以上图片红色箭头所指处为贲门部肿瘤
对于手术方式如何选择?应该有以下可能的选项:
1. 经上腹正中切口行全胃切除,空肠与食管下段行消化道重建:优势是只需腹部切口,术后切口疼痛相对较轻,根据以往经验,全胃切除后反流性食管炎症状不明显,也不需要术后服用制酸剂;缺点是术后短时间内因为没有胃的潴留食物功能,不大会有饥饿感,初期进食较少,需要少量多餐,每次吃不了多少东西。
2. 胸腹联合切口贲门癌切除,残胃与食管胸内吻合:这也是以前教科书上的经典术式。优点是术中显露非常好,肿瘤就在视野正下方,切除可靠,吻合满意;缺点是需要切断肋弓并切开膈肌,同时进腹与进左胸,对呼吸影响较大,术后切口疼痛较非进胸的更明显。而且肋弓处愈合能力差,以前曾碰到过肋软骨愈合不良的,感染并形成窦道,经久不愈。再者术后反流性食管炎症状经常非常厉害,需要长期服用强有力的制酸剂,而且效果仍有限。
3. 上腹正中与右胸二切口,贲门癌切除,胃食管右胸吻合术:这样的术式与胸腹联合切口切除范围类似,甚或更能往胸段食管切一些,手术方式就如食管下段癌的手术方案。优点是不切断肋弓,也不需要切开膈肌;其他方面的缺点与胸腹联合切口类似。
4.经左胸切口近半胃切除,食管残胃胸内吻合:此术式与第2种比少了腹部切口,但仍要切开膈肌,而且显露远不如胸腹联合切口,远端胃的淋巴结清扫也很难做,不是优选方案。
具体以哪种方式为好,按我们医疗组的经验,考虑第1种更不错,拟选择此方案:1.从CT与胃镜上看,经腹手术基本上是能做到上切缘阴性的,假如术中发现切缘阳性而经腹无法完成根治性切除,随时可以转为第2种或第3种术式;2.以前我们全胃切除也都置胃管,但后来发现全胃切除术的病人,术后胃管基本就没什么东西引流出来,后来的病例多数术后即时就拔除胃管,免除胃管留置的不适;3.术后不需要制酸治疗、切口疼痛轻如前述;4.没有进胸,更方便术后呼吸道的管理,不容易出现呼吸道并发症,利于术后快速康复;5.小肠血管也比较好,愈合能力不错,术后相对可以更早时间进食。
手术安排在3.19进行,由叶建明主任医师、谭海栋副主任医师及郑盛弘医师共同合作进行,从约上午9点半开始皮肤消毒后切皮开始,在11点钟左右已经完成所有腹内操作,包括切除全胃、空肠与食管下段R-Y吻合、空肠造瘘及腹腔引流等,仅约1个半小时。以致隔壁手术间的同事过来看时,还以为我们是打开腹腔探查了下,肿瘤切不掉在关腹呢!想不到我们已经手术做好了。
之所以能如此顺畅的完成高难度的全胃切除(4类手术),有几点经验值得与大家分享:1.固定搭档,熟练配合非常重要:我与谭海栋主任毕业进到医院相差一年,除了外出进修,基本上一直是固定搭配,配合非常默契,而且年资相近,各自都比较有经验,手术时不大需要反复提醒讨论;2.为了更好暴露术野,我们采用两幅悬吊拉钩,将两侧肋弓部位都拉起来,比人工拉钩稳定性好,而且持久不会费力;3.器械的进步也是手术做的越来越顺利、时间越来越短的重要因素:目前我们全胃切除或食管癌游离胃都是用能量平台完成解剖游离;4.特别提醒同道的还有一点:行空肠食管R-Y吻合时,切断空肠后,远侧端空肠上提与食管下段行吻合时,用吻合器(钉座置入食管下段,操作杆从空肠断端置入肠腔后从侧壁穿出,激发完成吻合后,空肠断端切割缝合器关闭)完成,盲端(下图中绿色箭头所指的这部分)不能留太长!如果留的比较长,虽然吻合操作时比较方便,但术后进食后食管进入盲端,会造成腹部胀痛不适,严重影响生活质量。以下时贲门癌所在位置示意图和全胃切除后空肠食管R-Y吻合后的示意图:

图示贲门癌的位置

图示全胃切除,消化道重建后的样子。其中绿色箭头所指范围建议不能过长
做为医生,自己专业内的手术大家都在做,到一定的年资都能做的下来,但怎样能做的更快更好,怎样做术后恢复更顺利,生活质量更好,就是体现在细节上!也体现在个体化制定治疗方案,用心用情对待病人上!我们抱怨医院平台不好,不如经过自己的努力将医院平台提升到更高水平!