先来分享一个我接诊的病例:
出生后第三天的豆豆,就被抱到了我的诊室。豆豆嘴里吐着泡泡,脸色稍微偏紫色,听他的父母讲述,“豆豆出生后的两天内,几乎没有吃东西。尽力喂进去一点母乳,也会出现呛咳、呼吸加快的症状而把母乳全部吐出来。”

结合患儿父母的描述和患儿的表现,我怀疑孩子可能是食管出现了问题,就开了影像学的检查,等结果出来也证实了我的怀疑,豆豆是先天性食道闭锁患者。
听完这个病例,我想大家也对这个连刚出生两三天的小孩都不放过的疾病充满了疑惑。下面我来先讲述一下先天性食道闭锁的基本知识。

一、先天性食道闭锁是什么?如何发现?
我们先来说一下小孩的食管,食管全长就相当于从咽喉部一直到剑突(是位于胸骨最下端,也就是胸腹交界处的一块骨)下的距离。在新生儿时期食管大概有8-10厘米长,一岁时生长到12厘米,5岁可以达到16厘米,学龄儿童差不多有20-25厘米。
新生儿和婴儿的食管呈漏斗的形状,而且食管表面的黏膜又薄又嫩、缺乏腺体结构、弹力组织和肌层都发育不完全。值得先提一下的就是食管内是偏酸性的,PH值通常是5.0-6.8左右。

当胚胎期的食管,由于外界因素的影响,使其在发育过程中出现发育停顿或异常,造成食管畸形,称为先天性食管闭锁。食管闭锁按照Gross分型法可分为五种类型。
当食管上下两端都发生闭锁,且上下两个盲端之间的距离较远的时候称为先天性食管闭锁Ⅰ型。如果在Ⅰ型的基础上食管上端和气管之间因窦道(相当于一个桥梁性管道)的存在而相连接,则称之为先天性食管闭锁Ⅱ型。
倘若在先天性食管闭锁Ⅰ型的基础上食管下端和气管之间因窦道的存在而相连接,则称之为先天性食管闭锁Ⅲ型。第三型又细分为两个小类型,若食管上下两个盲端的距离超过两厘米是Ⅲa型,反之为Ⅲ b型。

当食管上下两个盲端分别都通过窦道和气管相连接时称为先天性食管闭锁Ⅳ型。第五型就比较特殊,新生儿的食管并没有因影响而形成盲端,但是却导致食管和气管之间有窦道相通。
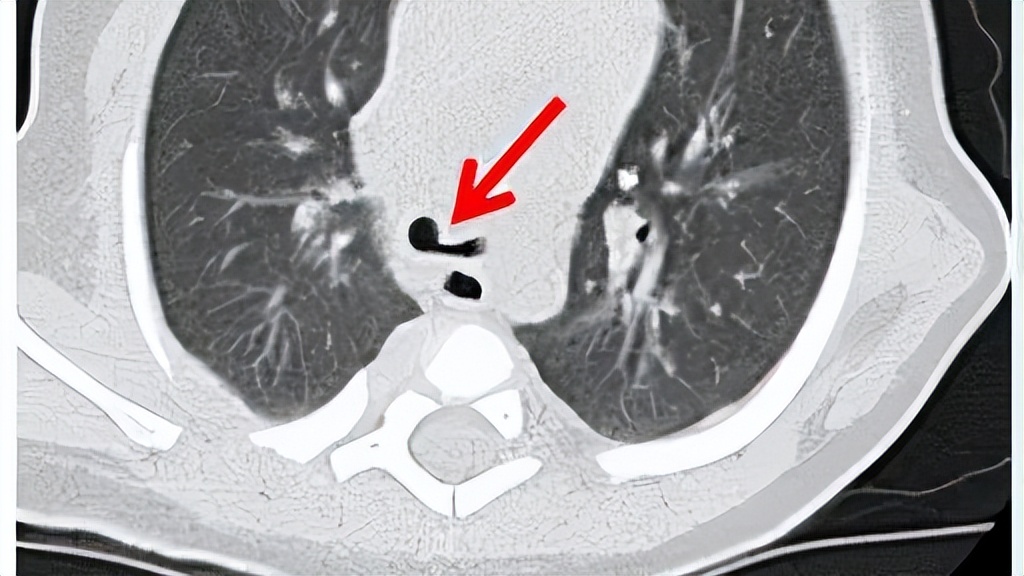
我们通过什么方法可以确定儿童患有先天性食管闭锁呢?答案是通过影像学科的辅助。大多数人会想到X线成像,但是通过该检查方式结果可能会令人失望。究其原因,一方面成像并不清晰,另一方面无法准确去测量食管两个盲端之间的距离。
相较于X 线成像而言,多层螺旋CT应用于食管闭锁和食管气管瘘的诊断中具有一定价值,不仅能清晰显示上、下段食管及食管气管瘘,还能得到食管闭锁的两个盲端之间的距离,尤其是对于比较常见的先天性食管闭锁Ⅲa型和Ⅲb型来说很方便。
通过上面的讲述,大家都知道了先天性食道闭锁是什么以及它的分类。那么食道闭锁对患儿有哪些危害呢?

二、先天性食管闭锁对新生儿的危害
未进行治疗的新生儿,会反复发生吸入性肺炎和肺部感染的情况。这是为什么呢?答案就是正常的小孩口腔内的唾液会直接顺着食管进入胃内,而先天性食管闭锁患儿并不会到达胃内,反而会进入肺内,可能会造成吸入性肺炎的发生。
另一个答案就是胃内的东西也容易返流进入肺部,胃内的物质尤其是胃酸的存在,可能会使肺部形成化学性肺炎。反复的肺部炎症,会使患儿出现咳嗽、呼吸不顺等,咳嗽剧烈的患儿会因喘憋而出现口周青紫的表现。

先天性食管闭锁患儿尤其是伴有气管食管之间有窦道相连的情况,再加上反复的肺部炎症的影响,常常需要辅助通气的治疗。
但是要注意辅助通气时,因为窦道的存在,一部分空气可以进入胃内。当进入胃内的空气过多时会造成胃部膨胀或者胃部破裂穿孔的发生。少部分的患儿即使没有辅助通气的操作,通过自主呼吸也会使一部分空气进入胃大概率会导致胃破裂。
由此可知,食管闭锁对患儿造成的危害是巨大的,针对是食管闭锁这个问题,我们该怎么去治疗?

三、危害如此之大,我们应该如何治疗它?
先天性食管闭锁属于消化道畸形的一种,尽管经过了多年治疗技术的改进与经验的总结,先天性食管闭锁目前仍然是新生儿期治疗难度很大的一种先天性畸形。目前为止进行手术治疗可能是唯一有效的治疗方法。
既往治疗食管闭锁的手术通常采取经右胸或胸膜外进行,但自从1999 年有学者首次报道经胸腔镜手术获得成功的案例,各地都逐渐开展,胸腔镜手术。胸腔镜手术和开胸手术相比较来说,因为它的刀口更小,进行手术后更美观,所以比较容易使家长朋友们所接受。

患儿具体应该选择哪种手术方式,要看患儿的Gross分型、患儿家长的意愿,结合各方面考虑,然后选择对患儿的预后最好的方式。比如:先天性食管闭锁Ⅰ型常采用分期手术,即一期手术先行胃造瘘术,二期手术再行胸腔镜下食管端吻合术。
先天性食管闭锁患儿进行手术治疗,我们也不能掉以轻心,要防范各种术中以及术后的并发症的发生。以胸腔镜手术为例,接下来我们再来详细了解一下,术中以及术后的并发症问题。

先来说常见的术中并发症:
1、胸腔镜手术相关高碳酸血症和酸中毒
这类并发症的发生与胸腔镜手术过程中,高 CO2 充气压力以及宽大的胸膜表面积有利于CO2 吸收,同时肺的塌陷减少了 CO2 消除有关。
为了防止此类并发症的发生,一般胸腔镜手术初始阶段建议适应性增加胸内压力,从 2 mmHg 开始,缓慢增加至最大5 mmHg,以最大限度减少对身体的损伤。

2、严重肺通气不足和进行性胃胀甚至胃破裂
患儿麻醉诱导、插管期,手术操作使气管移位都可以导致患儿出现通气困难的问题。若插管可能无意中深入瘘管还会导致严重肺通气不足和进行性胃胀甚至胃破裂等严重后果。
3、手术操作相关并发症
如果说手术之前对食管的检查有所欠缺,就会导致对食管闭锁的食管间距判断不够精准,手术策略准备不足,无法顺利在一期手术完成对食管的吻合,这会对二期手术造成严重困扰,使二期手术风险大大增加。

最后说明一下常见的术后并发症:
1、吻合口漏
先天性食管闭锁患儿由于手术吻合口张力过大,加上手术的原因使血液供应减少会导致手术过后吻合口漏情况的发生。绝大多数吻合口漏保守治疗即能自行愈合,像应用肌松剂数日和颈部屈曲都可减小吻合口张力。手术缝合时使黏膜对合准确,也有助于防止吻合口漏的发生。
2、声带功能障碍
声带功能障碍常继发于喉返神经功能异常,声带功能障碍在大多数患儿中出现都是暂时的,但也不排除持续存在的可能性。当发生声带功能障碍时,一定要确保患儿气道通畅。

3、气管软化
气管软化是先天性食管闭锁术后晚期并发症发生及引起死亡的重要病因。关于导致器官软化的病因,最常见原因是感染和长期呼吸机支持的高气道压力,而吞咽运动障碍、吻合口狭窄等是气管软化加剧的危险因素。为了防止气管软化的发生,建议常规行术前胸部 CT 气道重建和气管镜检查评估气道情况。

医生寄语
各位宝妈请注意,如果发现你的宝宝吃奶困难、常吐泡泡,一定要警惕先天性食管闭锁的可能。
尽早去医院确诊,尽早进行手术,注意各种术中以及术后并发症的情况,使患儿少受疾病的折磨。
参考文献
1、多层螺旋CT诊断新生儿食管闭锁和食管气管瘘的价值 崔若棣,杨光勇,刘兆天,赵建设
2、儿科学 第九版 王卫平、孙锟、常立文
3、先天性食管闭锁围手术期并发症的深度认识 王俊 临床小儿外科杂志 2021年12月第20卷第12期
4、先天性食管闭锁手术后并发症及处理 临床小儿外科杂志 2018年7月第17卷第7期
本文由李医生在线原创,欢迎关注,带你一起涨知识!