
肿瘤内科急请会诊,原来是位高龄膀胱癌患者出现大量血尿,老陈经药物止血无改善,已经输注浓缩红细胞4单位,监测血红蛋白(56g/L)仍无明显改善,提示内科药物止血治疗已无效。老陈因严重贫血,已经出现活动后胸闷、心悸、头晕等贫血症状。查阅患者近期增强CT检查,显示膀胱壁明显增厚,可见多发肿瘤突向膀胱内,考虑患者大量血尿系膀胱肿瘤溃破出血所致。#头条健康# #非常病例#
膀胱癌继发血尿是最常见并发症,部分情况下药物保守治疗或者膀胱镜下止血治疗可以有效控制、缓解出血症状。但是考虑患者高龄、基础疾病较多,且局部膀胱肿瘤侵犯广泛,出血量较大,因此建议患者采用介入微创方法,紧急行膀胱动脉介入栓塞止血治疗。

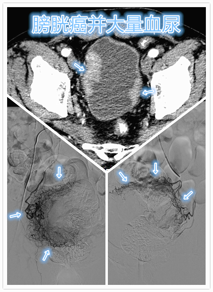
在详细解释告知介入微创手术相关风险性及疗效后,老陈患者家属签字同意介入治疗。随即介入科紧急安排急诊手术,术中DSA血管造影显示双侧膀胱动脉明显增粗、迂曲,肿瘤染色丰富,采用顺铂与明胶海绵细颗粒充分混悬制备而成的栓塞剂,行双侧膀胱动脉化疗栓塞,一方面可以有效快速止血,另一方面加载的化疗药物可以对肿瘤细胞*伤杀**作用,控制肿瘤、减少术后再次大出血可能。
CT显示膀胱壁明显增厚,膀胱壁肿瘤广泛侵袭;DSA造影显示双侧膀胱动脉明显增粗、迂曲,肿瘤染色丰富。

介入栓塞止血
老陈经介入栓塞止血治疗后,术后即刻血尿明显减少,导尿管内尿液已经明显变得清亮,即刻栓塞止血疗效非常理想!老陈术后卧床休息6小时后就可以在病床上简单活动,术后12小时即可下床活动,促进术后快速康复,减少术后并发症。术后监测血红蛋白稳步上升至84g/L,肾功能亦无影响,术后第3天各项指标稳定,出院休养。

栓塞止血术后血尿明显缓解

膀胱尿路上皮癌(简称膀胱癌)最为常见的尿路上皮癌,约占90%,发病率居全球恶性肿瘤的第九位,在男性排名第六位,女性排名则在第十位之后,男性发病率是女性的3~4倍。膀胱癌的发病随着年龄而急剧增加,以40岁后发病者居多,中位发病年龄65岁,2015年中国恶性肿瘤男性发病率排名位于第八位。吸烟和某些职业长期接触芳香胺是较为明确的两大危险致病因素。

膀胱癌最常见发病症状为全程无痛性肉眼血尿。随着肿瘤持续生长和浸润,则会表现为尿急、尿频和尿痛等膀胱刺激症,此时也提示原位癌或者继承浸润性癌。晚期可出现排尿不畅,甚至尿潴留、尿路梗阻、肾功能损害、腰痛等症状。
如果晚期无法耐受传统放化疗治疗,尤其合并大量血尿情况下,可以考虑介入微创治疗,如肿瘤区域的动脉化疗灌注、动脉化疗栓塞治疗,局部较大肿块或者外周侵犯明显肿块者,还可以局部消融或者放射性粒子植入治疗较快有效控制局部肿瘤进展,如有条件配合靶向药物(如厄达替尼、卡博替尼)或者免疫治疗,可进一步提升整理疗效,有效延长患者生命,提高生存质量。

欢迎关注与点赞,更多肿瘤介入微创治疗干货等你哦!