生活中,几乎每个人都有过这样的经历,就是吃饭时,嚼着嚼着,突然 !“啊!!!”,咬到了舌头或者腮帮子……

比如昨天晚上,小编买了丰盛的晚饭,汉堡、披萨、薯条、鸡腿,拿起心爱的鸡腿就啃,结果还没嚼几下,“咯叽”一个寸劲,就咬到腮帮子了,那个酸爽感~
大家都有过这样的痛苦经历,都还以为咬到舌头或者腮帮子就是想吃肉了,我老妈也总是这样说,可是人家嘴里明明正嚼着肉呢,难道还想吃自己的肉不成?
吃饭时为什么会咬到舌头或者腮帮子呢?
边吃饭边说话,这是咱们中国人吃饭的一个普遍习惯,一心二用,既要吃东西,又要说话,结果就是舌头忙不过来,就会咬到“舌头”。
所以呢,吃饭时,尽量不要说话的好,因为不仅容易咬舌头,还会被食物呛到气管。
像这样边吃饭边说话,偶尔咬到是正常现象,但如果好好的吃着饭还经常咬到,动不动就咬了,你可要小心了!就得注意以下几点!
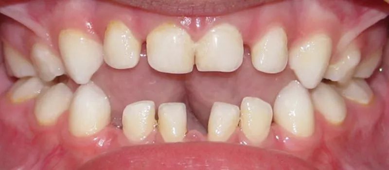
01、牙齿咬合关系不好
很多时候都可能是因为牙齿的咬合关系不太好造成的。
一般我们把牙齿咬紧了,都是上牙包在下牙的外面,这是由于我们的上牙是个大一点的马蹄形,下牙是个小一点的马蹄形,咬合时,上下牙之间会有2mm左右的间隙(医学上叫做覆盖) ,我们的腮帮子就是被上牙弓那个“小马蹄”保护着,所以说,一般上牙咬在下牙的外面,腮帮子就比较安全。

但如果你的牙齿是 “地包天”,上牙弓偏小,那咬下来的时候离舌头更近,就比较容易咬到。还有的人后面的大牙们长得太靠里了,咬到舌根的几率也很大。 对于咬合不好这样的问题,最好是及时进行牙齿矫正,只需要花费两年左右时间,就能变回一口整齐漂亮的大白牙。
02、有个别牙在“捣鬼”
坏掉的牙,如果你有蛀牙留下的烂牙、残冠,吃饭或说话不注意,也比较容易咬着腮帮子。
更危险的是,烂牙、残冠一般边缘都不整齐,有的还很锐利,经常会摩擦腮帮,慢慢就会形成创伤性的溃疡,时间长了,甚至会增加舌癌的风险。
有这样的坏牙,就需要及时到口腔医院处理、治疗,如果是没有治疗保留价值的,立刻拔除后镶牙或种上一颗牙。

03、智齿
如果是突然有段时间总是咬到自己的腮帮子,很多人可能会先怀疑是不是自己胖了、脸上肉多了的缘故,其实不然,这种情况很有可能是智齿的原因。
尤其是一侧长了智齿,上下咬合时没有对应的阻力,导致智齿一直生长,甚至长歪了,这个过程中,就容易咬到腮帮子。

04、缺牙
有些人爱咬腮帮子,还跟缺牙有关系。
缺牙时间长了,腮帮子里的肉就会趁机往里长,时间长了,缺牙部位的腮帮子肉就会多出来一小点儿。咀嚼过程中,上下牙之间咬合时,结果半路“杀出来个腮帮子”,就咬到了。

05、假牙
初戴假牙时,假牙需要和其它牙齿不断的磨合,所以避免不了一些小“摩擦”。

当咬到舌头或腮帮子时,
我们该怎么办呢?
1、如果没有被咬破,或伤口不大,几天就能自动愈合。 不过在愈合期间, 尽量避免吃辛辣刺激的食物;吃完东西后及时漱口、刷牙,保持好口腔卫生。另外,为了防止感染,漱口时可以用生理盐水或漱口水。
2、如果口腔黏膜被咬破,出现溃疡。
除了上述注意事项外,还可去药店选购一些口腔黏膜保护剂,起到止痛和加快伤口愈合的作用。如果溃疡面长时间不痊愈,就需要到医院就诊了。
3、伤口较大,或血流不止,当即停止进食,尽快前往医院就诊。
如果是龋齿经常咬伤舌头,就要及时做治疗,如果是牙齿咬合不好,那么就及时戴牙套,来调整咬合。

大家是不是感觉又涨知识了,原来经常咬到舌头或者腮帮子都是有原因的,真的是我们的牙齿有问题,现在还不赶紧检查一下自己的牙齿到底是存在以上哪种问题。