髌骨位置表浅,在膝关节损伤中最容易发生骨折。据统计,髌骨骨折约占全身骨折的 1%[1]。

传统手术方法常常采用克氏针张力带、钢丝环扎、聚髌器等内固定治疗。空心钉钛缆是近年来应用于临床的内固定材料,许多学者报道了其优良的临床效果。

下面是我前两天做的一台髌骨骨折手术,患者男性,34岁,因送外卖骑电动车摔倒致左膝着地,急诊拍片示左髌骨骨折。

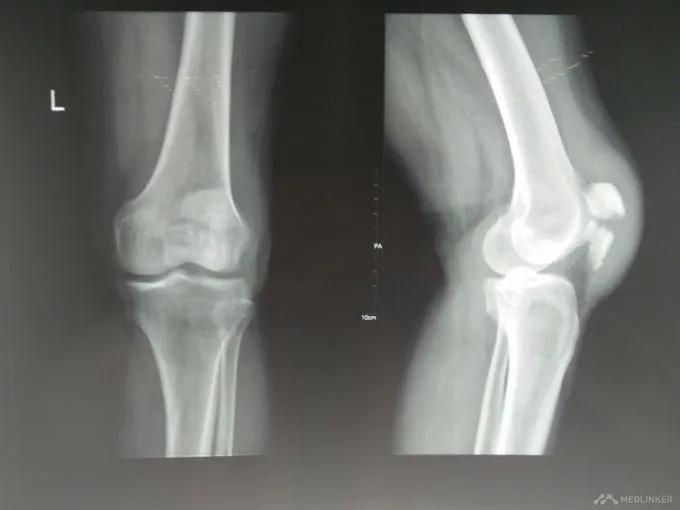
术前左膝关节X线正侧位片
患者腰麻成功后,取平卧位,常规消毒铺巾,取膝关节纵行切口,约 10.0cm,逐层分离皮下组织及筋膜,完整暴露髌骨。复位后,应用大巾钳临时固定骨折块。C 型臂 X 光机透视下观察髌骨关节面是否平整,然后屈膝 90°,紧贴髌骨关节面由髌骨下极向上,垂直于髌骨骨折线平行打入 2 枚导针后,再次应用 C 型臂 X 光机检查导针位置。随后沿导针拧入 2 枚长度约等于髌骨纵行长度的空心拉力螺钉,拔出导针后,从空心钉内穿入钛缆,于髌前“8”字交叉,收紧钛缆并锁紧,剪除多余钛缆后,活动膝关节,检查固定的牢固性。术中需修补撕裂的髌韧带扩张部及筋膜。生理盐水冲洗手术切口后,放置引流管,逐层缝合手术切口,加压包扎。


手术中注意事项:(1)空心钉置钉位置应位于髌骨中份,最好两枚螺钉平行置钉,若螺钉偏髌骨前部,易导致关节面部分骨质失去加压作用;(2)钻入导针时最好一次成功,多次钻孔可能因钉道扩大,降低螺钉把持力;(3)空心钉应平行关节面,螺纹应完全跨越骨折线,否则不能起到初始加压作用;(4)空心钉头尾两端最好埋入髌骨内,使钛缆对髌骨起到张力带作用,避免应力传到螺钉上和钉头端切割钛缆,导致内固定失败;(5)在锁紧锁扣前,充分活动膝关节,检查骨折的稳定性和钛缆的松紧程度。
@头条辟谣@头条健康@生命召集令#骨科##健康明星计划##临床医学#
