什么样的肾囊肿需要动手术?

最近做了不少腹腔镜下肾囊肿去顶术,有很多人咨询我关于肾囊肿的问题,最常见的问题是:大夫,我这肾囊肿需要动手术吗?结合我的一些经验讨论如下:
首先,要对肾囊肿这个疾病有个大体的认识。肾囊肿属于肾脏囊性疾病的一种,根据病因分类,多数属于先天性的,少数后天性和为定性的。先天性的包括很严重的遗传肾囊肿性疾病:常染色体显性遗传多囊肾病(ADPKD)、常染色体隐形遗传多囊肾病(ARPKD),髓质海绵肾等;后天性的包括尿毒症人群常患的获得性囊性肾病,多房型肾囊肿;为定性的包括临床最常见的单纯性肾囊肿,肾盂旁囊肿,肾盂源囊肿等。
单纯肾囊肿(simply renal cysts, SRC)是人类肾脏疾病中最常见的病变,是单侧或双侧肾出现一个或数个大小不等的、与外界不相通的囊腔,其内充满囊液。
肾囊肿临床表现是什么呢?通常无症状,多在体检或其它疾病做影像学检查时偶然发现。部分患者会感到患侧“腰背酸痛”的症状,往往也不是由肾囊肿直接导致的。有的会有肉眼血尿,有的会有镜下血尿,还有的会有蛋白尿;一些非常大的肾囊肿,尤其是发生囊内出血或感染的肾囊肿会明显的产生腰腹疼痛不适症状。有的肾囊肿恰巧压迫了输尿管或肾盏颈部,会引起肾积水和继发感染,继而出现腰痛、发烧、尿路感染的症状。个别的单纯肾囊肿会发生囊壁癌变,癌变率约为1%,囊肿内有出血时应警惕癌变可能。
体检常规的腹部B超(或彩超)为首选,既可发现肾囊肿又可作为定期复查的手段。如B超结果不能准确判断囊肿性质,应查腹部增强CT。鉴别的重点就是把单纯肾囊肿和囊性肿瘤(如癌变的囊肿或内部坏死的肿瘤)区分开来。前者B超、CT下呈圆形均一液性暗区,无强化,壁薄,后壁回声增强,囊肿与肾实质分界清晰而光滑;后者囊壁不规则,囊内有瘤样内容物,囊内有强化。另亦需与肾盏憩室相鉴别,增强CT或静脉肾盂造影(IVP)较为有效。

那么最关键点来了,什么样的肾囊肿需要手术?首先,看囊肿的性质,这是最重要的,判断方法为一、影像学如CT,平扫,必要时加做强化,怀疑肾癌的都有囊壁厚,不规则结节、有强化等异常表现,如果医生告诉你有这些情况,怀疑癌变者,无论大小,积极手术;其次,看囊肿的症状,如果有疼痛或者有心理压力比较大的,比如,传说中的处女座,追求身体完美,不能忍受自己带着一个异常疾病在肾上的,天天想着囊肿的,甚至茶不思饭不想,总琢磨万一长大了恶变了咋办的,还是建议手术切了的好,因为影响你生活了;还有;看囊肿大小,以前在腹腔镜技术发展之前,主张5cm以上的需要做手术,因为随着囊肿的增大,挤占的都是正常肾单位的位置,这样,囊肿进,有效肾单位退,而且,囊肿去除后原先囊肿侵占的地盘也永远不能恢复正常的肾实质了,这样就会损失掉一些有效肾单位,如果不幸的患者同时罹患肾炎等疾病,就会发生肾功能不全;腹腔镜技术成熟后,指证掌握在4cm,甚至有人做3cm的,还有一种情况是囊肿造成梗阻压迫,比如肾积水等也需要手术。
当然了,还有一点是教科书或者科普读物上都没有提到的,我个人的意见,就是年龄,简单地说,手术是为了获得更好的生活质量,任何手术都有风险,都有并发症可能,那么,手术必须权衡手术的适应症和手术耐受性的平衡,简单说就是必须收益大于风险。如果是年轻人,囊肿大于4cm,建议手术,如果一个70多岁的老人,肾囊肿大于4cm,需要做吗?要看性质、大小、还要看基础疾病你能不能耐受,如果手术风险过高,就不建议做了,因为我见过一个78岁的老奶奶,肾囊肿,9cm,很大,有多大呢,大家知道,女性的肾脏长径是11-12cm,囊肿就9cm即使是外凸性生长,也会极大的挤压肾实质,老太太身体还不错,心理压力也大,囊肿带了20多年,下决心找我做手术,阅片后我认为就是单纯性肾囊肿,不考虑恶性的,我给她是这么解释的,手术本身风险很小,腹腔镜大囊肿小囊肿一样做,越大越好找,但老年患者重要脏器功能储备差,就好比你天天走平路没事,让你爬10层楼你的心肺功能就受不了,手术麻醉的风险手术的风险,术后卧床坠藉性肺炎的风险,每年生长不足0.5cm的肾囊肿,即使做手术,术后对你这侧的肾脏也没有恢复完美肾脏的可能,为什么要做呢?当然,如果你坚持手术,我会充分完善术前检查,麻醉会诊,多学科会诊后再手术。但最后老奶奶放弃了手术。我检索过文献有肾囊肿手术术后肺栓塞的,术后脑出血的,当然这些和手术操作本身无关,但说明如果有合并内科基础性疾病存在下,特别时术前隐匿性疾病未查出来的情况下出事,家属和手术医生本人都很难接受。

还有一个问题是手术后囊肿就不会复发了吗?错!肾囊肿尤其是囊肿顶部暴露较少,底盘超过三分之二,或者多发囊肿的,去除大的压迫后有时原先受挤压无法长大的囊肿会迅速长大,所以尤其多发囊肿或者肾实质里窝的部分体积较大的肾囊肿,术后比较容易复发。
总之,手术有风险,囊肿需谨慎!
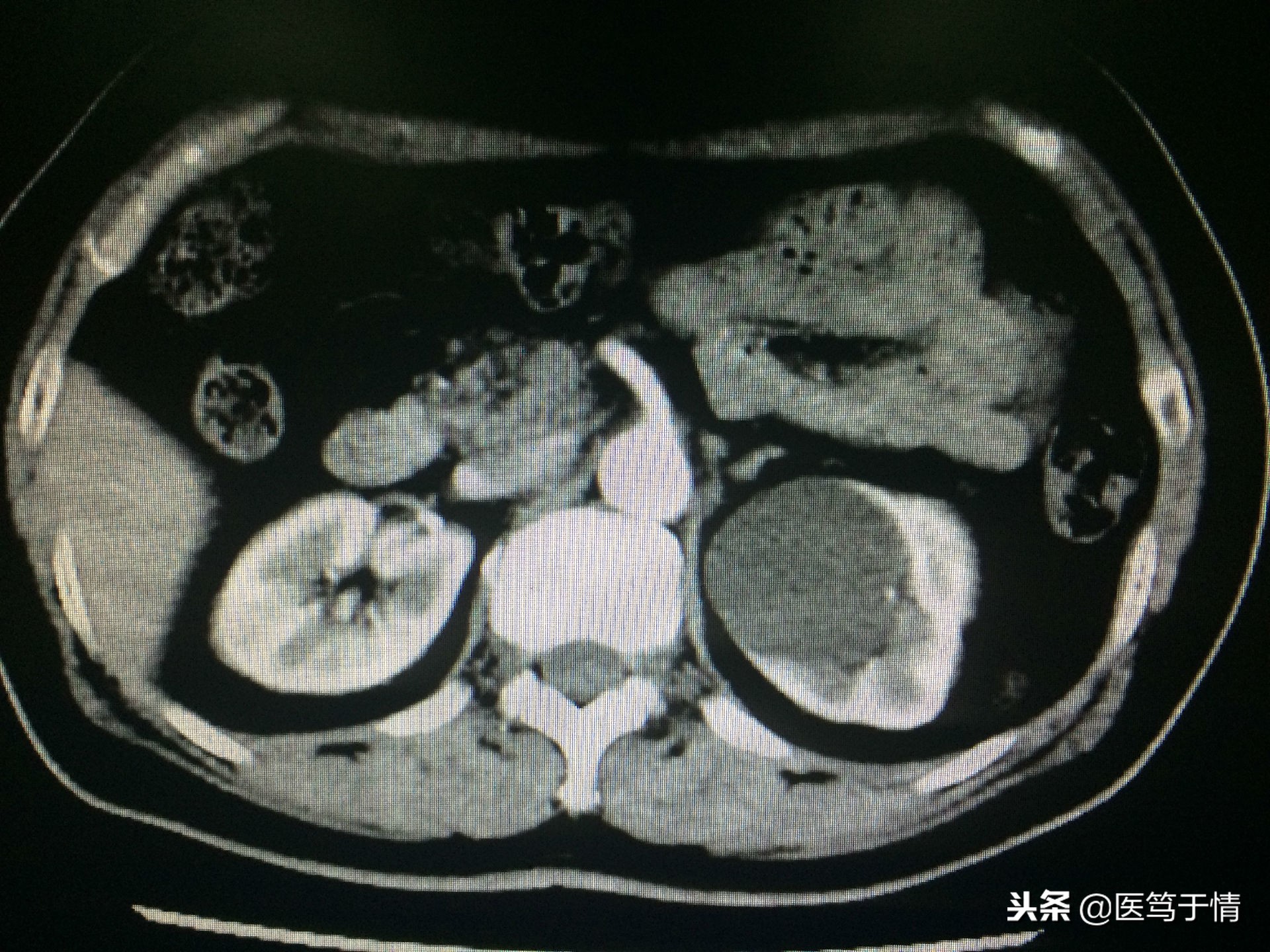
图一:男,57,查体发现右肾囊肿,影像学提示囊壁略增厚强化,腹腔镜肾囊肿去顶后病理报恶性,2016年3月行肾切除;

图二:女,60,左肾囊肿;2016年4月腹腔镜肾囊肿去顶;

图三:女,67岁,右肾肾盂旁囊肿;
