软组织钙化和骨化越来越常见,这些疾病的影像诊断你真的掌握了吗?
作者|阿猫 灰灰猫影像工作室
来源|医学界影像诊断与介入频道
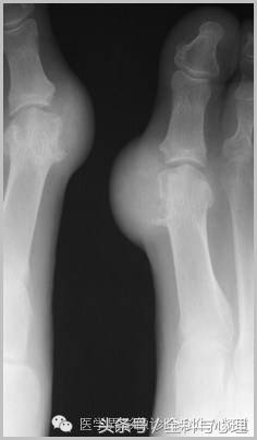
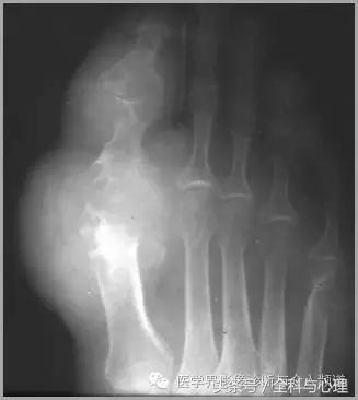
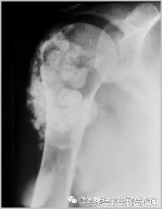
一、肿瘤样钙质沉着症
累及多个关节,范围较大,表现为多房囊状的高密度影。
原发性:罕见,多为家族性,多见于非洲裔美国人,钙磷正常。
继发性:多见于慢性肾功能不全患者。钙磷均有升高。

肿瘤样钙质沉着症

肿瘤样钙质沉着症
肿瘤样钙质沉着症
二 、与代谢有关的钙化
1、营养不良性钙化:由组织损伤或退变造成的钙化,没有相关的代谢障碍。

血肿机化
2、维生素D过量相关性钙化:正常组织中的钙化,常见于代谢紊乱。

维生素D过量相关性钙化
3、CPPD(焦磷酸钙沉积症)相关性钙化

CPPD(焦磷酸钙沉积症)
4、痛风石
为尿酸盐沉积形成,发生在关节周围软组织、包括韧带、肌腱、滑囊,眼、耳、鼻、喉、皮肤, 50%的钙化为X线平片可见。

痛风石,可见软组织肿胀及钙化灶。

痛风石,可见软组织肿胀及钙化灶。
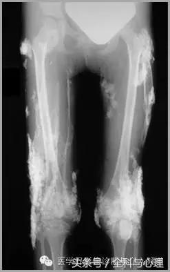
三、与胶原血管病相关的钙化
1、全身性钙质沉着症:皮肤、皮下或深部结缔组织钙化,与多种代谢紊乱及胶原血管病变有关,如皮肌炎,看起来像异位骨化,但没有真正的骨形成。开始为浅表的结节状或斑块状钙化,逐渐向更深的组织发展,表现为关节周围大片状钙化灶。
皮肌炎
皮肌炎
皮肌炎
皮肌炎
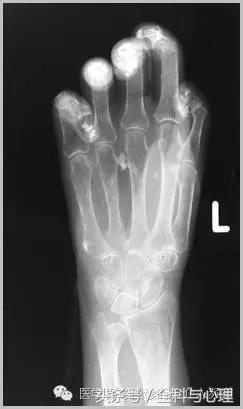
2、 与硬皮病相关的手部局限性钙质沉积
手部皮肤或皮下组织,多发的,边界清晰的,点状、片状的钙化灶,与硬皮病相关。
硬皮病
硬皮病

硬皮病
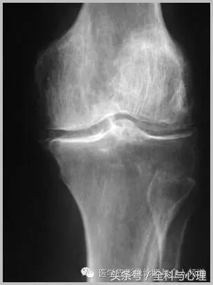
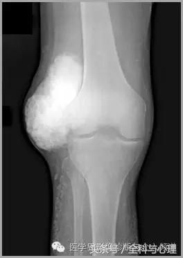
四、软骨来源的钙化:
常见于膝盖、耻骨联合、臀部、尺骨三角纤维软骨复合体、肩关节。
半月板钙化
半月板钙化
尺骨三角纤维软骨复合体钙化
耻骨联合软骨钙化
五、滑膜软骨瘤病
1°少见,病灶数量多,大小均匀,相邻关节正常。
2°多见,病灶数量少,大小不一,多伴有退行性骨关节病。
滑膜骨软骨瘤病 1°
滑膜骨软骨瘤病 2°
滑膜骨软骨瘤病
六、肌腱钙化/滑囊炎并钙化
肩关节最常见:肱二头肌长头、肩峰下滑囊钙化,可伴有急性疼痛、肿胀,局部压痛。
肱二头肌肌腱钙化(肩周炎)
肩周炎
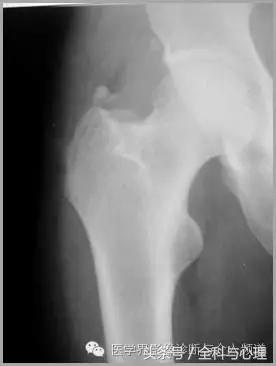
大粗隆滑囊炎
