全世界近视眼的发病率非常高,我国近视眼发病率逐年增加趋势,越来越普及化发展,这可能与大量阅读、电子产品、长时间近距离工作有关,表现为远视力下降,近视力正常,视物模糊,飞蚊症增加,双眼辐辏减弱,可以伴有外斜视或者外隐斜视,视疲劳。

"酒瓶底厚"高度近*眼镜视**
我们大家可能普遍印象认为,近视眼只是看远处模糊了,高度近视眼需要戴着瓶底厚的眼镜,影响外观形象,容易出现视网膜脱离,至于高度近视的其他危害,可能不是十分了解。
其实高度近视的危害很大,可以引起视网膜变性、出血、近视牵拉性黄斑变性,还可以引起斜视、青光眼和白内障等致盲性眼病。高度近视眼随着眼轴不断变长,视网膜和脉络膜厚度越来越薄,很容易导致视网膜脱离。近视眼的眼底病理性改变很多,而且这些改变都是不可逆性的,例如近视弧、豹纹状眼底,漆裂纹,局限性视网膜下出血,Fuchs斑,后巩膜葡萄肿,视网膜色素和脉络膜萎缩及脉络膜新生血管等病理改变。
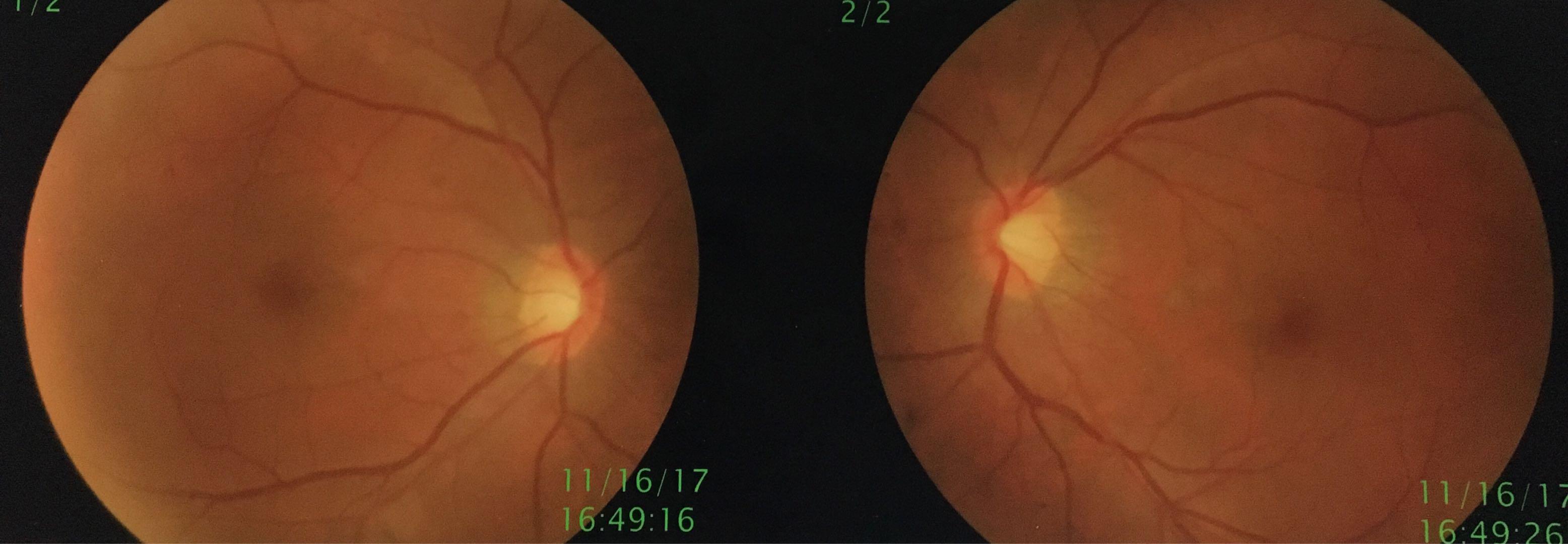
没有对比就没有伤害,我们看看正常眼底视网膜和高度近视性视网膜病变有哪些不同,见下图。

A.正常眼底照片

B.高度近视性视网膜病变1

C.高度近视性视网膜病变
近视眼一旦形成视网膜病变,例如漆裂纹及萎缩,预示视力预后不良,因为这样容易视网膜下新生血管膜形成,一旦形成视网膜下新生血管膜,累及黄斑区,导致近视患者中心视力急剧下降,这种病变是不可逆的。
高度近视患者应该注意如下几点:尽量减少电子产品持续使用时间,多参加户外活动,但是也要避免眼球的外伤及剧烈爆发性剧烈运动,平时多补充适量的维生素A、C、E。至少每半年到眼科作眼底散瞳检查,若发现早期视网膜病变,应该尽快行视网膜激光光凝治疗,防止视网膜脱离。高度近视眼的视力一般低下,难以矫正,戴完全矫正的眼镜往往无法耐受,所以配镜时应尽量低度数矫正,争取保持舒适下提高视力,不要一味追求最好的矫正视力。高度近视眼配戴角膜接触镜矫正视力比普通眼镜好,而且可以减少普通眼镜的三棱镜效应、放大效应、视野受限等不适。