【基本信息】女,58岁
【疾病类型】子宫内膜癌;单纯内膜样癌;ⅠA期
【治疗医院】青岛大学附属医院(三甲)
【治疗方案】腹腔镜下全子宫切除术+双附件切除术
【治疗周期】半月
【治疗效果】手术创口小,手术时间短,出血少,恢复良好,患者对手术效果非常满意。
一、初识患者
这一天,有一位女儿带着妈妈来到我的诊室,女儿说,她妈妈已经绝经2年了,这一个月又出现了阴道的不规则流血,母亲满不在乎,说没事,以为是重返青春,还戏称“倒开花”,是更年期的原因,现在月经不规律了,然而女儿不放心,非拉着母亲来到了门诊。
在女儿的眼神里我看到了紧张,我对这种比较孝顺的孩子是充满赞赏的。我和阿姨说,绝经回去之后,再出现阴道流血是不正常,还是要小心的,女儿又这么孝顺,查了没事才放心不是。阿姨终于顺从的去做了超声和宫颈筛查。妇科超声的结果提示:内膜厚约1.0cm,内回声不均匀,宫颈筛查未见明显异常。阿姨的内膜很厚,而且回声不均匀,我建议做一下宫腔镜检查看看宫腔及内膜的情况,这次阿姨没有拒绝,就入院了。
二、治疗过程
入院后行宫腔镜检查,发现阿姨子宫内膜增厚、增生,底部内膜稍突起,表面有血运,能看见异型的血管,一看到宫腔镜下面的样子,我就想,坏了,又一个子宫内膜癌,就给阿姨做了个刮宫,刮宫病理:子宫内膜复杂性增生伴不典型性,部分区域伴鳞化,局灶区域伴可疑癌变。
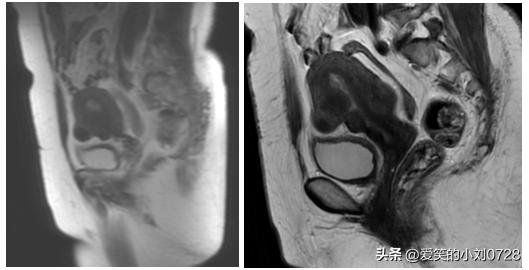
考虑阿姨不能除外子宫内膜癌,我们给阿姨完善了子宫内膜癌相关的辅助检查,比如盆腔核磁(见图1)、CT等,查了肿瘤标志物在正常的范围。

盆腔核磁结果: 肿瘤标志物在正常的范围
阿姨为子宫内膜不典型增生,局灶可疑癌变,现已绝经,治疗上应当考虑手术治疗,手术可采用开腹、经阴道、腹腔镜或机器人手术系统等方式,但无论采取何种手术方式,均要坚持无瘤原则,子宫切除后应完整取出,禁止采用子宫粉碎术取标本。
在跟阿姨和女儿沟通病情和可以选择的治疗方案后,给阿姨进行了腹腔镜微创手术治疗。腹腔镜微创手术,手术很成熟,创伤比较小,手术恢复的比较快,能够尽早的出院、康复。所以先行腹腔镜下全子宫切除术+双附件切除术,术中根据病理结果决定是否扩大手术范围。给阿姨顺利的切除子宫之后,迅速送术中的冰冻病理,冰冻病理提示:子宫内膜不典型增生,局灶癌变,高分化,子宫内膜样癌。
因为阿姨在术前已经行全腹的增强MR(核磁共振)评估无盆腔淋巴结肿大,术中冰冻病理提示为局灶癌变,且为高分化。和家属沟通,可以不行盆腔淋巴结清扫,或者行前哨淋巴结活检,阿姨家属要求不行淋巴结清扫术,所以结束手术。手术非常顺利,术后病理出来后也提示是早期的子宫内膜癌,预后较好,不需要进行任何辅助治疗。
三、治疗效果
宫腔镜检查明确为子宫内膜病变后,进行腹腔镜微创手术,手术非常顺利,手术时间短,出血少,术后恢复良好,无发热,阴道无血性分泌物,大小二便正常。术后病理提示无需辅助治疗。
阿姨感叹道自己应该早点来看医生!幸好她有一个孝顺的好女儿。患者对手术效果表示非常满意,我耐心叮嘱阿姨和家属,日后仍需要定期随访。
四、注意事项
1.手术后加强营养,促进恢复,预防感染。
2.近3个月不要行夫妻生活,不要进行盆浴。
3.要定期门诊复复查,术后2到3年内,每三个月复查一次。三年后每六个月复查一次,五年后每年复查一次。
4.平常一定要锻炼身体,放松心情,增强机体的免疫力。
5.如有任何不适,立即医院就诊。
五、医生感悟
在绝经后,卵巢功能衰退,雌激素分泌显著降低,子宫内膜就会失去激素的作用,呈现出萎缩的状态,内膜变薄,上皮细胞也会有减少,临床上认为绝经后子宫内膜超过5mm,就要警惕,而这位阿姨内膜已经厚约1.0cm,及时就医可排除内膜病变。这位阿姨体型肥胖,而肥胖、糖尿病、高血压,还有需要服用他莫昔芬等抗肿瘤药物的乳腺癌患者,这些人群是子宫内膜癌的高发人群。
绝经期是许多疾病的高发期,坚持每年健康体检非常必要。如果出现像这位阿姨这样绝经后阴道流血,一定要提高警惕,尽早到医院进行检查,不论良性还是恶性,早期诊断和治疗才能收到良好的疗效。
绝经后如果出现了异常的子宫出血,异常的阴道流液、下腹痛等症状,不一定就是癌,也不要过度焦虑,只是提醒大家及时就医、规范诊治。由医生为您提供专业的诊治。妇科医生在详细了解病史并妇科检查后,有针对性的采取妇科B超、细胞学检查、分段诊刮等辅助检查可以帮助尽快明确诊断,以便对因治疗。
#了不起的中国医师#
#关爱女性#