点上方蓝字“国际循环”关注我们,
然后点右上角“…”菜单,选择“”
首版制定者:张文昶 北京大学航天中心医院心脏医学部
首版核准者:丁春华 北京大学航天中心医院心脏医学部
前言
“国际循环-航天心规程专栏”是由北京大学航天中心医院心脏医学部丁春华教授独家授权《国际循环》,转载航天心脏诊疗标准操作规程部分内容的学术专栏,每两周分享一篇操作规程,与更多同道分享交流。
导管操作,一头雾水?
射频消融,望而生畏?
上级演示,眼睛已学会,上手却学废?
查阅指南,理论难背,实操更崩溃。
不要悲伤,不要迷茫,
航天心脏SOP来帮忙!
航天心脏诊疗标准操作规程(Standard Operation Procedure,简称“航天心脏SOP”),是自2019年9月在航天中心医院心脏医学部丁春华主任倡导和主持下,由科室电生理、冠脉、心衰重症、高血压、护理等亚专业医护人员,根据最新指南制定并不断更新修订的可操作性的标准规程。目的是规范及优化临床诊疗操作及流程,提高医疗质量和效率、保障病人安全。目前在北京大学航天中心医院取得良好效果,在此将部分SOP与同道定期分享交流。

E009-SOP-左侧旁道穿间隔法射频消融手术操作规程
简介
射频消融是左侧旁道合并室上性心动过速治疗的I类适应证,手术成功率98%,复发率1%,属于根治性治疗。
适应证
1.左侧隐匿性旁道
2.左侧显性旁道
禁忌证
1.心脏血栓
2.全身性感染
3.凝血功能障碍
4.出血性疾病
操作步骤
1. 手术相关设备的准备参见(SOP E001电生理手术物品相关准备)。
2. 患者口服肺立咳20 ml。
3. 病人平卧血管造影导管床(DSA床),腹股沟区消毒、铺巾,透明三件套中带白色说明纸的头罩套DSA操作台,塑料单铺DSA床尾处,头套罩DSA机头,铅屏套无菌头套。
4. 1%利多卡因局麻双侧股静脉穿刺处。
5. 准备2个7F穿刺鞘管。
6. 穿刺双侧股静脉,左侧股静脉置入2个7F鞘管,右侧股静脉置入导丝。
7. 左侧经鞘管送可调弯10极标测电极至冠状窦,左前斜45°下,电极远端在心影3点钟,S1S1 600 ms 10 mA 2 ms 起搏冠状窦近端7-8电极。
8. 左侧经鞘管送4极标测电极至希氏束,电极近端可见AV等大,AV间可见清晰高频His电位。
9. 常规电生理检查(参照电生理检查SOP),鉴别房室结折返性心动过速、,房室折返性心动过速、房性心动过速(AVNRT、AVRT、AT)。
10. 准备8.5F SL1长鞘及房间隔穿刺针,常规方法穿刺房间隔(参照 SOP EO11房间隔穿刺)。
11. 房间隔穿刺成功后,撤出穿刺针,送长导丝至左上肺静脉,送长鞘至左房,撤出内芯及导丝,观察患者意识、心率、血压、心影,按100 IU/kg给予肝素静脉推注,之后按ACT时间给予每20分钟监测1次ACT并酌情追加1次肝素,维持ACT在300~350 s。
12. 消融大头连接尾线,送至左房,透视下观察导管头部在左房中部。
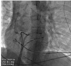
13.送大头至二尖瓣环目标区域,腔内电图示AV等大,以小于窦性心律周长10%的周长心室起搏,测量ABL导联SA间期,分别向二尖瓣环远端及近端移动大头2-3 mm,心室起搏标测寻找最小SA间期。(见图1)

图1. 测量ABL导联SA间期110 ms
14.确定靶点后,逆钟向旋转大头,腔内电图示小A大V,AV比例1:4,温控30W、55℃放电60 s,心室起搏验证旁道阻断,若阻断,巩固放电120s。(见图2)

图2. 左前斜位观消融大头位于二尖瓣环游离壁
15.若未阻断,重复步骤14。
16. 放电结東,大头打弯,悬空放置在左房中部。
17. 重复常规电生理检査,确认旁道阻断,大头及长鞘撤出左房。
18. 观察15分钟,再次重复电生理检查,确认旁道阻断,撤出导管,拔除鞘管,双侧腹股沟区绷带加压包扎,送返病房。
注意事项
房间隔穿刺后静脉推注肝素,避免入壶。
并发症及处理
1. 一旦发现心包填塞,立即心包穿刺,同时请超声及心外科急会诊。
2. 患者出现意识改变,透视除外心包填塞,检查四肢活动,复查ACT,排查脑梗死,请神经科急会诊。
3. 误穿股动脉时,及时局部按压止血,完全止血后再穿刺股静脉。
4. 透视下递送导丝、鞘管或导管时,发现器械形态异常,及时停止递送动作,观察心影、心率、血压、意识,多个透视角度观察,必要时造影观察确定器械所在位置,避免盲目回撤器械造成二次损伤。
航天中心医院心脏医学部 版权所有
注:以策安全,如需*载下**请点击“ 阅读原文 ”获取SOP高清图片版

参考文献
1. M D Lesh, G F Van Hare, M M Scheinman, T A Ports, L A Epstein. Comparison of the retrograde and transseptal methods for ablation of left free wall accessory pathways. J Am Coll Cardiol.1993 Aug: 22(2): 542-9
2. Josep Brugada, Demosthenes G. Katritsis, Elena Arbelo, Fernando Arribas, JeroenJ. Bax, Carina BIomstro m-Lundqvist, Hugh Calkins, Domenico Corrado, Spyridon G Deftereos, Gerhard-Paul Diller, Juan J. Gomez-Doblas, Bulent Gorenek, Andrew Grace Siew Yen Ho, Juan-Carlos Kaski, Karl-Heinz Kuck, Pier David Lambiase, Frederic Sacher, Georgia Sarquella-Brugada, Piotr Suwalski, Antonio Zaza. 2019 ESC Guidelines for the management of patients with supraventricular tachycardia: The Task Force for the management of patients with supraventricular tachycardia of the European Society of Cardiology (ESC).European Heart Journal.(2019)00: 1-66.

航天心脏诊疗标准操作规程核准者
丁春华,主任医师、心血管内科研究员。北京大学航天中心医院心脏医学部主任,美国旧金山加州大学心脏中心客座教授。中国临床心电学学会常委、中国医师协会心律学专业委员会、北京医学会委员、北京心脏学会理事等十余项学术任职。心律失常专业国际权威期刊美国《心律》杂志编委,美国心律协会会员、美国《循环》等杂志审稿人。擅长:危重疑难心脏病、射频消融、起搏器手术及心律失常研究。

航天心脏诊疗标准操作规程制定者
张文昶, 副主任医师,就职于北京大学航天中心医院心脏医学部。担任广东省医师协会起搏与电生理专科医师分会委员、广东省中西医结合学会心律失常专业委员会委员兼秘书、广东省中西医结合学会心力衰竭专业委员会委员。擅长房颤、早搏、室上速、心房扑动、室性心动过速、房性心动过速等心律失常,心力衰竭,头晕或晕厥等疾病的诊疗。擅长心律失常射频消融术及起搏器植入术。
(来源:《国际循环》编辑部)
版
权
声
明
凡原创文章版权属《国际循环》所有。欢迎个人转发分享。其他任何媒体、网站如需转载或引用本网版权所有之内容须在醒目位置处注明“转自《国际循环》”

点分享

点收藏
