我是某三甲公立口腔医院正畸科张军主任,从业有31年了,完成美学病例5000+
很多小伙伴看了我之前发的病例,联系我想出一期关于正畸案例的详细讲解,满足大家的要求,整理了一下我的病例,涉及到很多专业的内容,由于篇幅的问题,我就挑一些重点来讲。
如果大家有什么疑问或者是牙齿方面的问题可以评论或者私信咨询
【隐适美解决牙齿前突,重度拥挤正畸案例】
这位姑娘是我在省医院接诊的患者,最后是在我的私人门诊拆除牙套的。
姑娘主诉: 嘴突,牙齿非常不整齐,笑起来*牙虎**不美观,有开唇露齿现象。
经过口腔检查: 属于安氏一类的牙列拥挤,磨牙中性关系,但尖牙呈远中关系,牙弓形态也不太好,是个尖牙弓,二类的骨性错颌,下颌平面角是均角,髁突形态略微不对称。
我从事正畸行业三十多年, 在临床中经常发现重度拥挤的患者,或者是错颌畸形的患者,他们的髁状突形态都会有不对称的现象。
但是好在这位姑娘没有明显的关节症状,她的侧貌是一个很突的面型,鼻唇角也比较小,髁肌也比较紧张,下颌略微的后缩,但是她的面下1/3高度基本上是可以的。
我们测量了一下她上颌拥挤度:8mm 下颌拥挤度:达到9mm,属于重度拥挤。
另外她的覆盖也到达了7mm,是三类的深覆合,她的咬合关系两颌尖牙都是偏远中,Bolton比重分析基本是协调的。我们还检查了她的下颌升支和双侧髁突形态都略不对称,但是CT检测没有明显的活动性吸收改变,没有缺失牙,没有明显牙根异常,气道也是正常的。
我们来看她的一个面相照,闭嘴时能看出有点费力,放松状态下她是开唇露齿,可以看到一侧两颗小*牙虎**都是很明显,中线也偏斜。

她口里情况,她的前牙因为牙量和骨量不调,扇形的展开,就是已经突到牙根牙槽的外头了,尖牙扭转,拥挤非常严重,上下都属于尖牙弓,牙弓的宽度不协调,牙弓的这种尖窄呢,也会导致她微笑非常不美观。

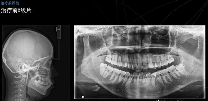
下图是他的头颅定位测位片和全颌曲面断层片,可以看到髁突的一个大概形态以及头颅,侧帽,软组织,牙齿的一个关系。

这是我们进行一个头影测量的描记,几个简单数据的记录,她的ANB角是4.8度,轻度的骨性二类的患者,她的下颌平面角是33度,是均角型的,她的下颌形态也比较好,基本接近偏平长方形。

头影测量的数据,比较异常的就是这个ANB角,我们诊断她是属于一个安氏一类,骨性二类,深覆合深覆盖牙列拥挤,上下颌骨存在一个失状向不调。我们觉得她失状向不调,可能上颌前突的程度要占据更多的一个因素。
治疗方案:
为了能达到患者理想的效果,我们综合分析了患者的口内及面部之后从三个方向去考虑设计:
1、横向目标: 我们以扩弓为主,扩弓既可以提供间隙,也能改善牙弓的形态,还能使姑娘微笑时的颊廊变小,变窄。
2、失状向目标: 内收前牙,调整中线,让尖牙关系达到一类。
3、垂直向目标: 因为考虑她面高,面下1/3的高度还是合适,所以我们解决她的深覆合,主要以压低前牙为主,适当的可以升高一些双尖牙,维持她的一个垂直向高度。
她的bolton比轻度不协调,可以通过前牙领面去釉,来协调她的Bolton比,让她的尖牙达到更好的中线关系。
综合以上的考虑之后,我给姑娘设计了三种方案供选择:
方案一: 采用隐适美矫治器,拔除四颗第一双尖牙,打支抗钉,利用强支抗,充分内收前牙,改善侧貌凸度。在横向上我们以扩弓为主,扩弓既可以提供间隙,也能改善牙弓的形态,还能使姑娘微笑时的颊廊变小,变窄。
方案二: 不拔牙矫正方案,拔除智齿,打支抗钉做磨牙远移,扩弓,同时配合大量的领面去釉,这也的方案并不如拔除四颗牙来的效果要好。
方案三: 因为姑娘很抗拒打支抗钉,所以在拔除四颗第一双尖牙前提下,不采用支抗,尽量选择无创或者是微创方式去解决她的前牙内收问题,也就是蛙跳式内收(下文会说明什么是蛙跳式内收)。
姑娘在仔细了解三种方案之后,综合考虑最后选择了方案三。
治疗过程:
上文提到的蛙跳式内收前牙,什么是蛙跳式呢? 所谓蛙跳式就是前牙的一个内收,把尖牙和四颗前牙分开放,三分之一,三分之一的内收,这样可以最大限度地保证磨牙不会前移。因此矫正的步骤稍微变多了。
考虑到姑娘牙周情况还可以,矫治的迫切性也比较大,所以我觉得他依从性做得也非常的棒。因此我们采取了一个周抛型的佩戴节奏,就是每一副牙套佩戴一周,总共需要佩戴83副,一年53周,只需要一年半的时间就可以佩戴完成。
这是她第一周佩戴结束时的一个情况,矫正中间姑娘出现了一些脱套现象。

什么是脱套?就是说在后牙拔牙关闭的时候,有倾斜,侧切牙过分舌侧,一些牙齿的转矩不足,导致前牙表现出脱套。
那么我们为了避免重启耽误治疗时间,因此给她加舌侧的粘扣,在牙套上进行开窗,用16英寸的小皮圈,让她夹舌向和胶布圈,最终把牙齿拉到牙套内。
让出轨的牙齿,成功落到了轨道里面,这也是我们的一个小秘诀,一个小技巧。让个别脱轨的牙齿重新进入到我们继续设计的方向。
可以看到她矫正后的头颅定位测位片和全额曲面断层片,侧貌可以看到她的突度已经明显的改善了许多,髁肌紧张也大大缓解了不少,可以看到治疗前ANB为4.5,治疗后变成3.8,下颌平面角也由33度变成32.5度,上颌前牙的角度也相应改变,虽然变化的度数不是特别大,但是能看到她的外貌上面是柔和了很多,突度也有了明显的改善。

这张是我们做的叠加蓝色是治疗前,红色是治疗后,改变还是挺大的。

最后给大家看下矫正前后的一个面相对比,姑娘感觉她的嘴唇容易闭合,笑线也很好看,和她的上唇牙很匹配,整个人的气质完全不一样,脸型上发生了巨大的变化,整牙前后“焕然一新。”

正面照对比

正面微笑照对比

侧貌微笑照对比
总结:
在这个病例中,我们没有用种植支抗,只是用了G6附件和Smart stage 方案,最主要我们设计了蛙跳式的内收,支抗控制非常良好,治疗中期,患者暂时出现一些中线不调,磨牙咬合不佳呀,对应的策略应该是及时改变牵引方式,后牙区牙套不够贴合,让患者用咬胶,甚至佩戴牙套吃饭,有时候还需要适当增加佩戴牙套的间隔时间,总的来说矫治还是非常顺利的,姑娘对于治疗的效果也非常满意。
以上是对于隐适美解决嘴突+重度拥挤正畸案例的详细讲解,如果大家看完有牙齿的一些疑问可以过来找我咨询了解,希望能帮助到你。