
原文标题:Direct Repair of Chronic Achilles Tendon Ruptures Using Scar Tissue Located Between the Tendon Stumps
原文作者:Toshito Yasuda
原文出处:THE JOURNAL OF BONE & JOINT SURGERY;JULY 20, 2016
摘 要
日本学者研究发现可以 直接使用愈合疤痕组织修复陈旧跟腱断裂的手术技术,以避免使用自体组织修复。
引 言
目前已经报道了许多用于重建陈旧跟腱断裂的外科手术技术。包括切除断端间的瘢痕组织和使用自体组织重建。虽然这些手术技术显示具有良好的临床结果,但与初次修复相比,它们耗时且手术难度较大。
因此,日本大阪医学院整形外科的Toshito Yasuda教授进行了一项研究,结果发表在J Bone Joint Surg Am2016年7月的期刊上。研究结论为:对治疗延迟或误诊的陈旧性跟腱断裂,可以使用肌腱断端之间的愈合组织甚至瘢痕进行直接修复,不使用同种异体移植物或自体移植物。
研究方法
从2001年2月至2012年12月,本院治疗了31例陈旧跟腱断裂的患者。所有患者均由其中一位作者进行手术。手术指征:有症状的陈旧跟腱断裂,即日常生活活动(步行和爬楼梯)困难和跛行。所有患者均为损伤4周以上,Thompson试验阳性,无法单足跟提踵,跛行和术前MRI表现,明确诊断为陈旧跟腱断裂。排除标准是跟腱再断裂,先前接受过影响跟腱的外科手术,以及因其他疾病进行过皮质类固醇治疗。1名患者因无法联系失访。剩余30例患者为16男,14女,平均年龄52.7岁,至少随访2年。平均BMI为23.8。
患者俯卧位进行手术。取跟腱后内侧纵向切口。将肌腱旁组织及增生瘢痕纵向切开约2至3mm。在近端通过钝性分离粘连以松解小腿三头肌,切除肌腱断端中间部分的瘢痕组织。确认肌腱的近端和远端在踝20到30°跖屈时可以靠近。使用2号不可吸收缝线,以Krackow方法在每个腱断端中缝合。然后将两肌腱断端在20到30°踝跖曲位缝合。完成修复后,缝合腱旁组织,缝合皮下组织和皮肤。

图1:显示充满疤痕组织的肌腱断端之间的间隙(双箭头)。

图2:显示了使用肌腱断端之间的瘢痕组织的直接修复。
术后,用膝下石膏护具维持踝关节20°跖屈,并且非承重行走2周。术后3周,去除石膏,使用踝足支具,仍将踝关节保持在20°跖屈。开始部分负重行走和踝关节活动练习。鼓励患者感到舒适就逐渐增加负重并且逐渐进展到完全负重。术后6周,去除支具。在7周时开始背屈活动。鼓励在术后4至5个月进行体育活动。
临床结果
在末次随访时,没有一个患者有行走或上楼梯困难。28名患者无疼痛,2名患者报告偶尔轻度小腿疼痛。术后平均踝关节屈曲角度显着增加。在最近的随访中,除2名患者外,所有患者都可行单足提踵。平均AOFAS评分最近随访时为98.1分。平均ARTS为92.0分。
• 术前及术后MRI
在术前T2加权图像中,在22例患者中观察到肌腱状肌腱增厚和腱内弥漫性高信号改变,但这些患者术后6个月MRI在MRI腱上有均匀的低信号改变(图3)。在其余8名患者中观察到肌腱变薄。在这8例患者中的6例中,术前观察到弥漫性腱内高信号变化。但术后6个月在MRI中可见肌腱形腱增厚和均质的低信号改变(图4)。

图3:一个34岁女性肌腱的T2加权磁共振成像显示梭形肌腱增厚。左:术前图像显示损伤后4个月的弥漫性腱内高信号改变。右:术后6个月图像显示均匀的低信号改变。

图4:一个63岁男性肌腱的T2加权MR图像。左:术前图像显示损伤后3个月的腱变薄和弥漫性腱内高信号改变。右:术后6个月时显示梭形肌腱增厚和均匀的低信号改变。
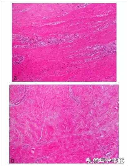
• 组织学发现

总 结
创口的愈合分为一期愈合及二期愈合。在跟腱断裂后,用非手术治疗固定后发生的跟腱愈合是二期愈合。然而,延迟或遗漏的跟腱断裂不会自然进展到二期愈合。在伤口愈合期间,通过手术帮助其从二期愈合变为三期愈合。在本研究中,我们对这些陈旧跟腱断裂进行延迟缝合,产生三期愈合。
很少有文章报告跟腱断端之间瘢痕组织的组织学结果。我们的研究发现瘢痕组织具有形成腱样组织的能力。因此,可以使用增生的瘢痕组织修复陈旧跟腱断裂。
术后MRI结果显示所有患者的重建的跟腱良好的肌腱愈合。我们认为切除疤痕组织的中间部分导致成纤维细胞重新迁移并增殖。早期功能康复施加在缝合部位上的张力使得胶原纤维束沿受力方向重新排列,从而增加其机械强度。
总之,跟腱断端之间的增生瘢痕可以用于直接修复陈旧跟腱断裂。
译者:顾东强 主治医师 中国人民解放军304医院
校审:易诚青 主任医师 上海市第一人民医院
*载下**唯医app
手术视频免费*载下** 会议直播从不间断
细分骨科所有专业 让您光速获取资源
随时随地,唯医为医!