前言: 原位腺癌一直是肺结节中如何治疗、是否需要干预,以及何时干预、如何把握手术指征,要不要肺叶切除、要不要清扫淋巴结等诸多争议的焦点内容。自今年上半年WHO把原位腺癌剔除出肺癌范畴以后,理论上这种争议应该告一个段落了,因为都不是癌了,还有必要手术吗?更谈何肺叶切除、肺段切除,抑或楔形切除呢?当然也更不可能需要淋巴结清扫了!可是,真的能这么简单明了的一是一、二是二来决定吗?如果认真,你就天真了!今天的分享从一个病例说起:
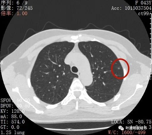
金华的某A,女性,今年43岁,检查发现左肺上叶结节2月余。其于当时说是在外院检查发现,到我门诊找我看过的(我是记不清楚了),大概是告诉她:考虑早期肺癌可能性大,但密度还低,边缘显模糊。让她再随访观察下再决定手术与否。这次送孩子上大学后,她马上来医院全面检查并若需要手术就决定手术了的。我们先来看她的平扫片子:








可见左肺上叶磨玻璃结节,边缘略显模糊,瘤肺边界不是很清,但总体上看,病灶轮廓仍是较为清楚的,而且有所层面有微小血管进入,病灶密度也不均匀,感觉有点杂乱。这种病灶如果随访了2个多月仍持续存在,也没多少变化的话,基本上要考虑肿瘤范畴的结节。为了看细节,我们建议其再查了靶扫描,图像如下:

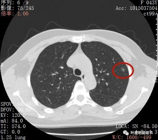
病灶密度较低,膨胀性略,瘤肺边界在靶扫描上还是显得有些清晰的

病灶瘤肺边界清,密度偏低,有点散,但有微小血管进入(桔色箭头)

病灶整体密度较低,但轮廓较清,内部密度不大均匀,显得杂乱

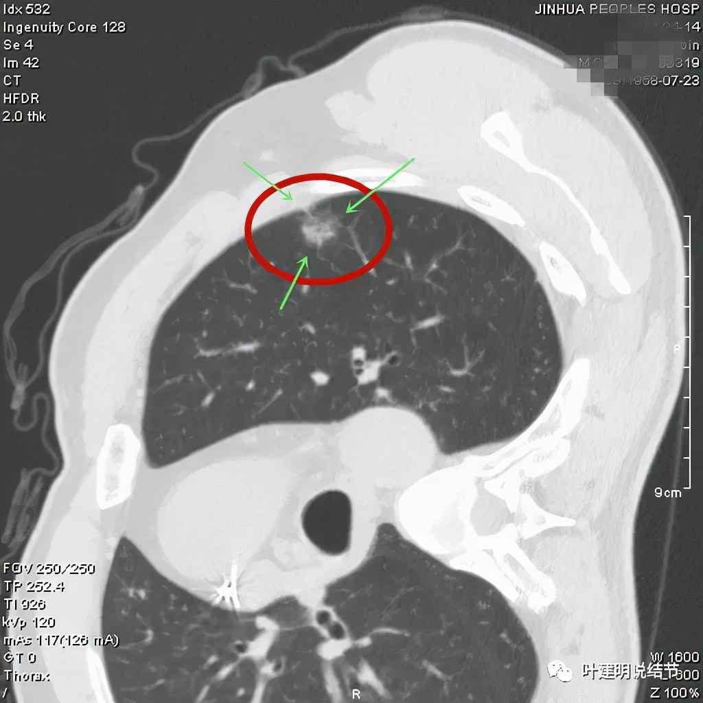
不均质的偏低密度磨玻璃结节,轮廓清

上图示病灶内部有高密度点状成分(粉色箭头所指)

同样示内部点状高密度,瘤肺边界清,密度显乱

上图显示混合磨玻璃结节,中间点状高密度区域,边上有微小血管征

上图示病灶边缘磨玻璃成分有的区域密度过低(绿色箭头),事后回头来看,磨玻璃部分的密度过低,不容易是浸润性腺癌,而更符合原位腺癌

上图示瘤肺边界处显模糊(砖色箭头),病灶内部仍是有偏高密度的点状成分

上图层面也显示病灶边缘欠清,有些模糊,虽总体轮廓还是比较清晰
从以上靶扫描图像上看,给人的印象是肿瘤范畴的结节,是混合磨玻璃结节,但磨玻璃部分的密度偏低,有的边缘显模糊,中间有点状高密度,也有微小血管进入,应该至少微浸润性腺癌可能性大。持续存在已经2月余,位置又还靠边上的,可考虑手术切除。下面再来瞧瞧后处理重建的图像:

上图非常不舒服,病灶边缘有毛刺(蓝色箭头),中间有偏实性成分(粉色箭头所指),整体看密度不均杂乱

上图示明显的血管进入(桔色箭头),而且进入病灶后散大模糊,不是穿行;病灶内有高密度区域(粉色箭头)。但事后分析,绿色箭头所指的磨玻璃部分密度仍是过低,且边缘显模糊,与浸润性腺癌可能不是太符合。



以上三图均示典型的混合磨玻璃,实性成分杂乱,整体密度杂乱,并有血管征,是较为典型的浸润性腺癌影像表现。
看了后处理重建的图像,我们认为基本上应该就是浸润性腺癌了,从平扫到靶扫到靶扫描后处理,一步一步往更恶性的角度考虑。某A按我们的建议进行了单孔胸腔镜下手术,结果术中快速病理切片示:原位腺癌。我还觉得术后病理会不会升级,所以还在等石蜡切片,因为影像上,特别是后处理重建的图像太像浸润性腺癌了,结果仍是原位腺癌:

那么,我们再来看原位腺癌剔除出肺癌,到底原位腺癌还要不要手术呢?


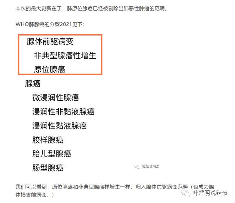
上面是旧版的与今年新版的肺腺癌分类。今年把非典型增生与原位腺癌剔除出了肺癌的范畴,将他们两者合称为腺体前驱病变,与腺癌并列。以前是在腺癌框架下的浸润前病变。
在我看来,就如今天这个病例,病理出来前谁能认为它是原位腺癌?谁能认为不需要手术?当然也可能会有医生认为仍可随访,而随访后呢?又像下面这几例,不同的病理类型:




这样的病灶需要手术吗?经过手术确诊,分别是不典型增生、原位腺癌、微浸润性腺癌与浸润性腺癌。术前我们怎么能够来区分谁是原位癌,谁是浸润性腺癌,谁该开而谁又不需要开?再如下面这几例:




它们都是需要手术的,因为都是混合磨玻璃结节,而且影像符合浸润性腺癌的影像表现,但术后病理却分别是:慢性炎伴非典型增生、原位腺癌、微浸润性腺癌以及浸润性腺癌。同样,我们单从影像无法来区别到底是什么病理类型。即使大部分时候能准确判断,但临床上不断会有判断不对的病例出现。而肺磨玻璃结节目前最主要的诊断手段仍是胸部CT检查,细针穿刺活检因组织标本量有限或病灶小、位置深同样无法百分之百能准确,还有并发症或种植转移之虞。而影像的判断即使我们不断总结分析、回顾研究,仍难确保病理类型的术前判断精准。那么,把原位腺癌剔除出肺癌的范畴,而仍无法在术前确诊的情况下,效果与意义大打折扣!因为我们无法排除它是浸润性腺癌的可能性!对于肺磨玻璃结节,影像上若更符合微浸润或浸润性腺癌,经过随访或适当的处理后仍存在而无吸收好转,手术肯定得做,切出来是慢性炎也好、是非典型增生或原位癌也好,都是合理的,也是值得的,尤其是楔形切除的话。我们如果按我之前一直呼吁的,不要执着于术前判断具体的病理类型,而是依风险高低来评判,就会更加符合临床,也更合理决定手术干预与否。比如纯磨玻璃结节,稳定、密度低,随访无进展或进展缓慢的,定义为低风险结节,可以随访,那么就可避免许多肺结节过早手术;而如今天分享的这例,虽然术后病理是原位腺癌,理论上可以观察随访的,但因影像上是混合磨玻璃结节,有微血管征,有毛刺征,有密度杂乱,且随访后无吸收好转,就是中高风险的,则仍宜手术切除。
(此处已添加医疗卡片,请到*今条头日**客户端查看)