
一、后尿道瓣膜(PUV)
发病率为l:5 000~1:8 000,在产前检出的尿路畸形中,PUV约占10%,男性婴儿下尿路梗阻中最常见病因,占41.7%。可能为多基因遗传,其实质是后尿道一种薄膜样组织使膀胱尿液排出受阻从而导致尿道梗阻,造成膀胱积尿,继之输尿管、肾盂、肾盏均扩张,形成巨输尿管和严重肾积水,同时因肾实质长期受压,皮质变薄导致肾功能不全。后尿道瓣膜在胚胎早期就已形成,因此它不仅可引起泌尿系统发育异常或功能障碍,还会影响多个系统,因其阻断膀胱排出尿液,导致羊水过少,可引起胎儿一系列严重的改变。本病亦可合并其他畸形。
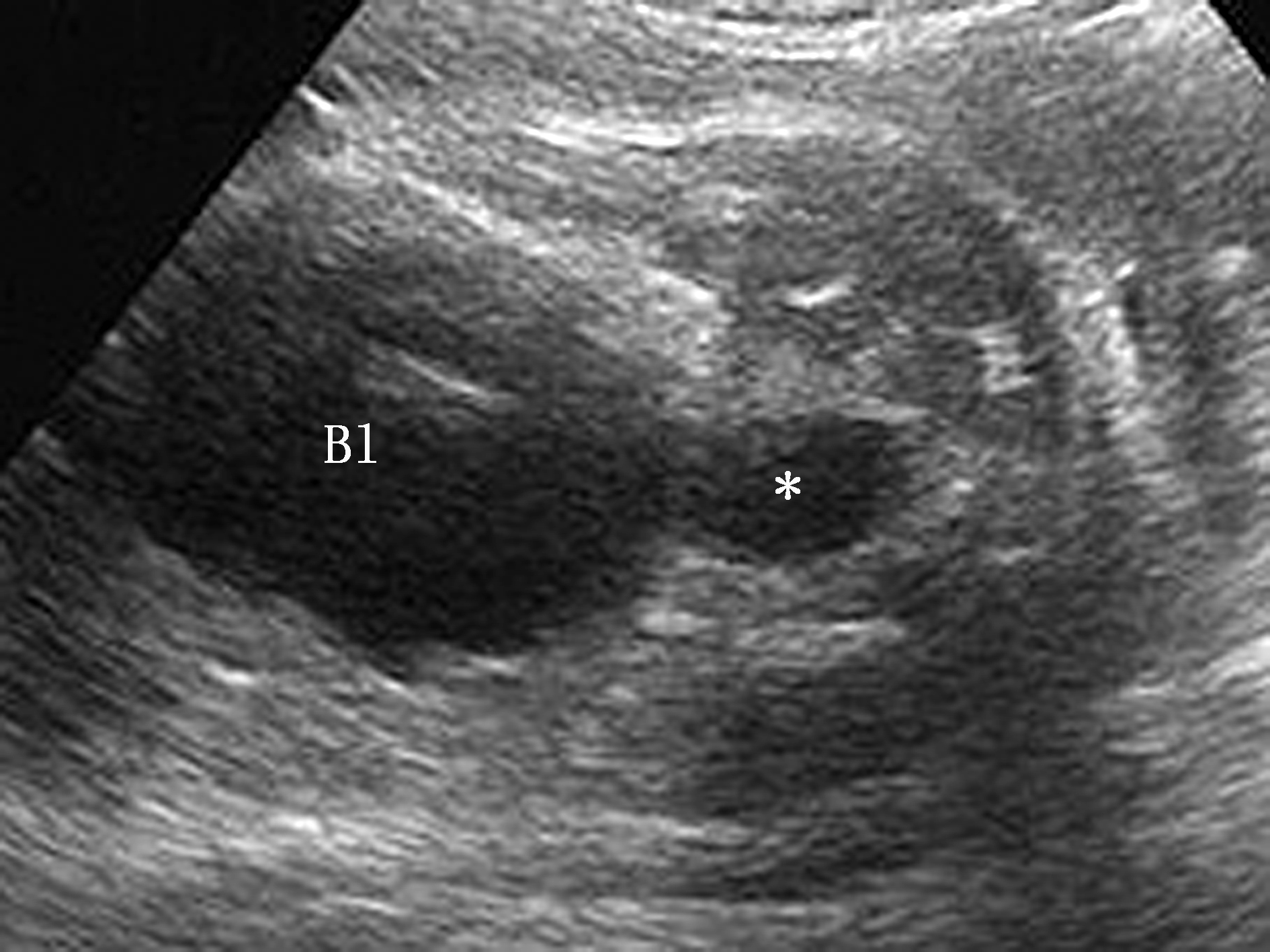
超声表现双肾及输尿管扩张,膀胱增大、扩张,膀胱壁增厚、其内缘不规则,50%以上病例发生羊水过少,肾实质回声增强且APD>10 mm或囊性改变表明肾发育不良,若超声检出肾内囊性病变,肾脏发育不良预告值为100%,双侧肾囊性疾病史结果也是致命的。膀胱明显扩张及膀胱壁明显增厚,这是最常见的超声征象,后尿道明显扩张似“钥匙孔”样与膀胱相通(图1),此征象常因平面显示不满意不能显示,肾积水偶可表现为非对称性,可能与尿液流入反流严重的一侧输尿管而进入该侧肾脏有关。当梗阻严重造成膀胱破裂和肾盏破裂时,可形成尿性腹水、腹腔内钙化灶和肾周尿性囊肿。本病只发生在男性,检出性别有助于诊断。

图1 30周胎儿后尿道瓣膜致后尿道扩张声像图,膀胱(Bl)增大,后尿道扩张(*)
有研究显示,孕24周前发现此病预后较差,死亡或发生慢性肾衰竭的概率达50%。男性胎儿28周前出现膀胱壁变厚、近端尿道扩张、肾积水伴膀胱矢状径>40mm,提示PUV可能性大。与预后有关的一个重要因素是诊断时孕周的大小,超声在24周前即能明确诊断者,预后差,24周后才能诊断者,预后较好。为了提高生存率及防止肾发育不良的发生,胎儿介入治疗是可以应用的,取胎儿膀胱内尿液进行电解质分析,同时进行胎儿染色体检查,如果胎儿尿液分析提示预后不良者,进行胎儿介入治疗将不会有显著效果,如果提示预后良好者,32周以下可进行胎儿膀胱-羊膜腔支架置入手术,以减轻泌尿系统压力,32周以上者可考虑提前分娩,产后立即解压。
二、先天性尿道闭锁
极少见,男性多于女性。病因不明,可能是胚胎时尿道的上皮组织未及时反折于尿道内、阴茎头部的尿道上皮发育受到障碍;也可能是尿生殖窦膜未能穿破,而形成膜样闭锁,其可以单独存在,亦可合并肛门闭锁、阴道闭锁等其他先天畸形和肢体畸形。
超声表现为孕12~17周出现膀胱极度扩张、羊水过少,肾皮质回声增强,不伴输尿管、肾积水。有研究显示膀胱矢状径<40mm不伴肾积水,提示尿道闭锁或尿道狭窄可能;在孕28周前出现巨膀胱不伴肾积水,提示尿道闭锁可能性。本病预后极差,常为致死性,幸存者常合并脐尿管瘘和膀胱直肠瘘。
三、先天性尿道狭窄
极少见,可发生于尿道任何部位,多见于尿道球与膜部交界处,也可发生于尿道舟状窝的近端处。病因可能是胎儿发育期泄殖腔成管障碍所致。其超声表现与尿道闭锁类似,二者难于在产前区分。